JavaScript is disabled in your browser. Please enable JavaScript to view this website.
AB317100

Anti-AF9 antibody [HL1644]

Anti-AF9 antibody [HL1644]

Be the first to review this product! Submit a review

|

(0 Publication)

Rabbit Monoclonal AF9 antibody. Suitable for WB, ICC/IF and reacts with Transfected cell lysate, Human samples. Immunogen corresponding to Recombinant Fragment Protein within Human MLLT3.

查看别名

AF9, YEATS3, MLLT3, Protein AF-9, ALL1-fused gene from chromosome 9 protein, Myeloid/lymphoid or mixed-lineage leukemia translocated to chromosome 3 protein, YEATS domain-containing protein 3

3 Images
Immunocytochemistry/ Immunofluorescence - Anti-AF9 antibody [HL1644] (AB317100)
  • ICC/IF

Supplier Data

Immunocytochemistry/ Immunofluorescence - Anti-AF9 antibody [HL1644] (AB317100)

ab317100 detects AF9 protein at nucleus and granule by immunofluorescent analysis.
Sample : HeLa cells were fixed in 4% paraformaldehyde at RT for 15 min.
Green : AF9 stained by ab317100 diluted at 1 : 500.
Red : alpha Tubulin a cytoskeleton marker stained by alpha Tubulin antibody diluted at 1 : 1000.

Western blot - Anti-AF9 antibody [HL1644] (AB317100)
  • WB

Supplier Data

Western blot - Anti-AF9 antibody [HL1644] (AB317100)

Non-transfected (–) and transfected (+) 293T whole cell extracts (30 ug) were separated by 7.5% SDS-PAGE and the membrane was blotted with ab317100 diluted at 1 : 15000. The HRP-conjugated anti-rabbit IgG antibody was used to detect the primary antibody.

All lanes:

Western blot - Anti-AF9 antibody [HL1644] (ab317100) at 1/15000 dilution

Lane 1:

Non-transfected (–) 293T whole cell extract at 30 µg

Lane 2:

MLLT3 shRNA transfected (+) 293T whole cell extract at 30 µg

Secondary

All lanes:

Western blot

false

Western blot - Anti-AF9 antibody [HL1644] (AB317100)
  • WB

Supplier Data

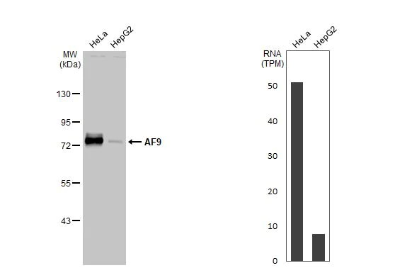
Western blot - Anti-AF9 antibody [HL1644] (AB317100)

Various whole cell extracts (30 ug) were separated by 7.5% SDS-PAGE and the membrane was blotted with ab317100 diluted at 1 : 1000. The HRP-conjugated anti-rabbit IgG antibody was used to detect the primary antibody. Corresponding RNA expression data for the same cell lines are based on Human Protein Atlas program.

All lanes:

Western blot - Anti-AF9 antibody [HL1644] (ab317100) at 1/1000 dilution

Lane 1:

HeLa whole cell extract at 30 µg

Lane 2:

HepG2 whole cell extract at 30 µg

Secondary

All lanes:

HRP-conjugated anti-rabbit IgG antibody

false

关键信息

宿主种属

Rabbit

克隆

Monoclonal

克隆号

HL1644

亚型

IgG

不含载体蛋白

No

反应种属

Human

应用

ICC/IF, WB

applications

免疫原

Recombinant Fragment Protein within Human MLLT3.

P42568

反应性数据

{ "title": "Reactivity Data", "filters": { "stats": ["", "Species", "Dilution Info", "Notes"], "tabs": { "all-applications": {"fullname" : "All Applications", "shortname": "All Applications"}, "WB" : {"fullname" : "Western blot", "shortname":"WB"}, "ICCIF" : {"fullname" : "Immunocytochemistry/ Immunofluorescence", "shortname":"ICC/IF"} }, "product-promise": { "all": "all", "testedAndGuaranteed": "tested", "guaranteed": "expected", "predicted": "predicted", "notRecommended": "not-recommended" } }, "values": { "Human": { "WB-species-checked": "testedAndGuaranteed", "WB-species-dilution-info": "1/500 - 1/3000", "WB-species-notes": "<p></p>", "ICCIF-species-checked": "testedAndGuaranteed", "ICCIF-species-dilution-info": "1/500", "ICCIF-species-notes": "<p></p>" }, "Transfected cell lysate": { "WB-species-checked": "testedAndGuaranteed", "WB-species-dilution-info": "1/15000", "WB-species-notes": "<p></p>", "ICCIF-species-checked": "notRecommended", "ICCIF-species-dilution-info": "", "ICCIF-species-notes": "" } } }

性能和储存信息

形式
Liquid
存储溶液
pH: 7.4 Constituents: PBS
运输条件
Blue Ice
推荐的短期储存时间
1-2 weeks
推荐的短期储存条件
+4°C
推荐的长期储存条件
-20°C
分装信息
Upon delivery aliquot
储存信息
Avoid freeze / thaw cycle

补充信息

This supplementary information is collated from multiple sources and compiled automatically.

The AF9 protein also known as AF-9 or AFNINE mechanically functions as a transcriptional coactivator involved in the regulation of gene expression. It has a molecular mass of approximately 62 kDa. AF9 expresses in various tissues including hematopoietic cells and plays an essential role in cellular transcription processes. The protein contains important domains that facilitate its interactions enabling it to modulate transcription by binding with other regulatory proteins.
Biological function summary

Functions related to AF9 involve its inclusion in the super elongation complex (SEC) which is important for transcriptional elongation. This complex controls the transition of RNA polymerase II into productive elongation stages during transcription. AF9 interacts with other proteins such as MLL ENL and P-TEFb within the SEC enhancing transcription of certain genes vital for cell proliferation and differentiation.

Pathways

AF9 plays significant roles in pathways like the MLL fusion pathway and the transcriptional regulation pathway. These pathways are integral to normal cellular processes as well as oncogenic transformations. In these pathways AF9 functionally relates to proteins such as Cyclin T1 and CDK9 through interactions within the super elongation complex modulating the transcription of genes involved in cell growth and division.

AF9 has strong links to leukemia particularly mixed lineage leukemia (MLL) due to its involvement in chromosomal translocations that create oncogenic MLL-AF9 fusion proteins. These fusions lead to altered transcription programs driving leukemogenesis. AF9 also connects to other oncoproteins like ENL that participate in similar pathways associated with MLL-related leukemias highlighting its critical role in disease pathogenesis.

产品实验方案

For this product, it's our understanding that no specific protocols are required. You can visit:

靶点信息

Chromatin reader component of the super elongation complex (SEC), a complex required to increase the catalytic rate of RNA polymerase II transcription by suppressing transient pausing by the polymerase at multiple sites along the DNA (PubMed : 20159561, PubMed : 20471948, PubMed : 25417107, PubMed : 27105114, PubMed : 27545619). Specifically recognizes and binds acylated histone H3, with a preference for histone H3 that is crotonylated (PubMed : 25417107, PubMed : 27105114, PubMed : 27545619, PubMed : 30374167, PubMed : 30385749). Crotonylation marks active promoters and enhancers and confers resistance to transcriptional repressors (PubMed : 25417107, PubMed : 27105114, PubMed : 27545619). Recognizes and binds histone H3 crotonylated at 'Lys-9' (H3K9cr), and with slightly lower affinity histone H3 crotonylated at 'Lys-18' (H3K18cr) (PubMed : 27105114). Also recognizes and binds histone H3 acetylated and butyrylated at 'Lys-9' (H3K9ac and H3K9bu, respectively), but with lower affinity than crotonylated histone H3 (PubMed : 25417107, PubMed : 27105114, PubMed : 30385749). In the SEC complex, MLLT3 is required to recruit the complex to crotonylated histones (PubMed : 27105114, PubMed : 27545619). Recruitment of the SEC complex to crotonylated histones promotes recruitment of DOT1L on active chromatin to deposit histone H3 'Lys-79' methylation (H3K79me) (PubMed : 25417107). Plays a key role in hematopoietic stem cell (HSC) maintenance by preserving, rather than conferring, HSC stemness (PubMed : 31776511). Acts by binding to the transcription start site of active genes in HSCs and sustaining level of H3K79me2, probably by recruiting DOT1L (PubMed : 31776511).
See full target information MLLT3

Abcam Product Promise

我们致力于为您的研究提供高质量的试剂,为您科研的每一步提供支持。若我们的产品未能达到预期性能,我们向您提供 Abcam Product Promise 保障。
详情请参阅我们的条款与条件。

Please note: All products are 'FOR RESEARCH USE ONLY. NOT FOR USE IN DIAGNOSTIC OR THERAPEUTIC PROCEDURES'.

For licensing inquiries, please contact partnerships@abcam.com