JavaScript is disabled in your browser. Please enable JavaScript to view this website.
AB307357

重组Anti-ADK抗体[EPR27497-67]

Anti-ADK antibody [EPR27497-67]

  • 20ul selling size
  • RabMAb
  • Recombinant
  • KO Validated
  • 了解详情

Be the first to review this product! Submit a review

|

(0 Publication)

Rabbit Recombinant Monoclonal ADK antibody. Suitable for IP, Flow Cyt (Intra), ICC/IF, WB and reacts with Rat, Mouse, Human samples.

查看别名

Adenosine kinase, AK, Adenosine 5'-phosphotransferase, ADK

8 Images
Immunocytochemistry/ Immunofluorescence - Anti-ADK antibody [EPR27497-67] (AB307357)
  • ICC/IF

Supplier Data

Immunocytochemistry/ Immunofluorescence - Anti-ADK antibody [EPR27497-67] (AB307357)

Immunofluorescent analysis of 4% Paraformaldehyde-fixed, 0.1% TritonX-100 permeabilized ADK KO HAP1 (ADK knockout human chronic myelogenous leukemia near-haploid cell) cells labeling ADK with ab307357 at 1/50 dilution (10.64 µg/ml), followed by ab150081 Goat Anti-Rabbit IgG H&L (Alexa Fluor® 488) preadsorbed antibody at 1/1000 dilution (2 µg/ml) (Green). Confocal image showing nuclear and weak cytoplasmic staining in wildtype HAP1 cells, and no staining in ADK knockout HAP1 cells. The image was taken with a confocal microscope (Leica-Microsystems, TCS SP8). ab195889 Anti-alpha Tubulin mouse monoclonal antibody - Microtubule Marker (Alexa Fluor® 594) was used to counterstain tubulin at 1/200 dilution (2.5 µg/ml) (Red). Nuclear counterstain was DAPI (Blue). Secondary antibody only control : Secondary antibody is ab150081 Goat Anti-Rabbit IgG H&L (Alexa Fluor® 488) preadsorbed at 1/1000 dilution (2 µg/ml).

Flow Cytometry (Intracellular) - Anti-ADK antibody [EPR27497-67] (AB307357)
  • Flow Cyt (Intra)

Supplier Data

Flow Cytometry (Intracellular) - Anti-ADK antibody [EPR27497-67] (AB307357)

Flow cytometric analysis of 4% paraformaldehyde fixed 90% methanol permeabilized wild-type HAP1 (human chronic myelogenous leukemia near-haploid cell) (Right) / ADK knockout HAP1 (Left) cells labeling ADK with ab307357 at 1/50 dilution (1µg) (Red) compared with a Rabbit monoclonal IgG (ab172730) (Black) isotype control and an unlabeled control (cells without incubation with primary antibody and secondary antibody) (Blue). A Goat anti-Rabbit IgG (Alexa Fluor® 647, ab150083) at 1/2000 dilution was used as the secondary antibody.

Flow Cytometry (Intracellular) - Anti-ADK antibody [EPR27497-67] (AB307357)
  • Flow Cyt (Intra)

Supplier Data

Flow Cytometry (Intracellular) - Anti-ADK antibody [EPR27497-67] (AB307357)

Flow cytometric analysis of 4% paraformaldehyde fixed 90% methanol permeabilized NIH/3T3 (mouse embryonic fibroblast) cells labeling ADK with ab307357 at 1/50 dilution (1µg) (Red) compared with a Rabbit monoclonal IgG (ab172730) (Black) isotype control and an unlabeled control (cells without incubation with primary antibody and secondary antibody) (Blue). A Goat anti-Rabbit IgG (Alexa Fluor® 647, ab150083) at 1/2000 dilution was used as the secondary antibody.

Immunocytochemistry/ Immunofluorescence - Anti-ADK antibody [EPR27497-67] (AB307357)
  • ICC/IF

Supplier Data

Immunocytochemistry/ Immunofluorescence - Anti-ADK antibody [EPR27497-67] (AB307357)

Immunofluorescent analysis of 4% Paraformaldehyde-fixed, 0.1% TritonX-100 permeabilized NIH/3T3 (mouse embryonic fibroblast) cells labeling ADK with ab307357 at 1/50 dilution (10.64 µg/ml), followed by ab150081 Goat Anti-Rabbit IgG H&L (Alexa Fluor® 488) preadsorbed antibody at 1/1000 dilution (2 µg/ml) (Green). Confocal image showing nuclear and weak cytoplasmic staining in NIH/3T3 cells. The image was taken with a confocal microscope (Leica-Microsystems, TCS SP8). ab195889 Anti-alpha Tubulin mouse monoclonal antibody - Microtubule Marker (Alexa Fluor® 594) was used to counterstain tubulin at 1/200 dilution (2.5 µg/ml) (Red). Nuclear counterstain was DAPI (Blue). Secondary antibody only control : Secondary antibody is ab150081 Goat Anti-Rabbit IgG H&L (Alexa Fluor® 488) preadsorbed at 1/1000 dilution (2 µg/ml).

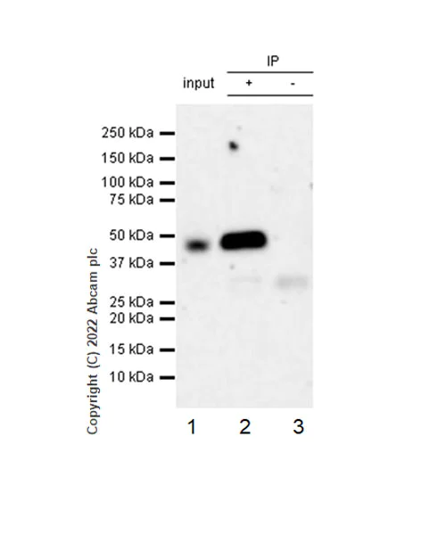
Immunoprecipitation - Anti-ADK antibody [EPR27497-67] (AB307357)
  • IP

Supplier Data

Immunoprecipitation - Anti-ADK antibody [EPR27497-67] (AB307357)

ADK was immunoprecipitated from 0.35 mg RAW264.7 (mouse Abelson murine leukemia virus-induced tumor macrophage) whole cell lysate 10 µg with ab307357 at 1/30 dilution (2µg in 0.35mg lysates). Western blot was performed on the immunoprecipitate using ab307357 at 1/1000 dilution. VeriBlot for IP secondary antibody(HRP)(ab131366) was used at 1/5000 dilution. Lane 1 : RAW264.7 whole cell lysate 10 µg Lane 2 : ab307357 IP in RAW264.7 whole cell lysate Lane 3 : Rabbit monoclonal IgG (ab172730) instead of ab307357 in RAW264.7 whole cell lysate Blocking and dilution buffer and concentration : 5% NFDM/TBST. Exposure time : 128 seconds

All lanes:

Immunoprecipitation - Anti-ADK antibody [EPR27497-67] (ab307357) at 1/1000 dilution

Lane 1:

RAW264.7 (mouse Abelson murine leukemia virus-induced tumor macrophage) whole cell lysate

Lane 2:

RAW264.7 whole cell lysate

Secondary

All lanes:

Immunoprecipitation - VeriBlot for IP Detection Reagent (HRP) (<a href='/products/reagents/veriblot-for-ip-detection-reagent-hrp-ab131366'>ab131366</a>) at 1/5000 dilution

Observed band size: 45 kDa

false

Exposure time: 128s

Immunoprecipitation - Anti-ADK antibody [EPR27497-67] (AB307357)
  • IP

Supplier Data

Immunoprecipitation - Anti-ADK antibody [EPR27497-67] (AB307357)

ADK was immunoprecipitated from 0.35 mg C6 (rat glial tumor glial cell) whole cell lysate 10 µg with ab307357 at 1/30 dilution (2µg in 0.35mg lysates). Western blot was performed on the immunoprecipitate using ab307357 at 1/1000 dilution. VeriBlot for IP secondary antibody(HRP)(ab131366) was used at 1/5000 dilution. Lane 1 : C6 whole cell lysate 10 µg Lane 2 : ab307357 IP in C6 whole cell lysate Lane 3 : Rabbit monoclonal IgG (ab172730) instead of ab307357 in C6 whole cell lysate Blocking and dilution buffer and concentration : 5% NFDM/TBST. Exposure time : 128 seconds.

All lanes:

Immunoprecipitation - Anti-ADK antibody [EPR27497-67] (ab307357) at 1/1000 dilution

Lane 1:

C6 (rat glial tumor glial cell) whole cell lysate

Lane 2:

C6 whole cell lysate

Secondary

All lanes:

Immunoprecipitation - VeriBlot for IP Detection Reagent (HRP) (<a href='/products/reagents/veriblot-for-ip-detection-reagent-hrp-ab131366'>ab131366</a>) at 1/5000 dilution

Observed band size: 45 kDa

false

Exposure time: 128s

Western blot - Anti-ADK antibody [EPR27497-67] (AB307357)
  • WB

Supplier Data

Western blot - Anti-ADK antibody [EPR27497-67] (AB307357)

Blocking and diluting buffer and concentration : 5% NFDM/TBST Low expression : A549 In Western blot, ab307357 was shown to bind specifically to ADK. A band was observed at 45 kDa in wild-type HAP1 cell lysates whereas no signal observed at this size in ADK knockout cell line.  This blot (lanes 1-4) was developed using a high sensitivity ECL substrate. Exposure time : 125 seconds

All lanes:

Western blot - Anti-ADK antibody [EPR27497-67] (ab307357) at 1/1000 dilution

Lane 1:

Wild-type HAP1 whole cell lysate

Lane 2:

ADK knockout HAP1 whole cell lysate

Lane 3:

HeLa whole cell lysate

Lane 4:

A549 whole cell lysate

Lane 5:

RAW264.7 whole cell lysate

Lane 6:

C6 whole cell lysate

Secondary

All lanes:

Western blot - Goat Anti-Rabbit IgG H&L (HRP) (<a href='/products/secondary-antibodies/goat-rabbit-igg-h-l-hrp-ab97051'>ab97051</a>) at 1/100000 dilution

Observed band size: 45 kDa

true

Exposure time: 125s

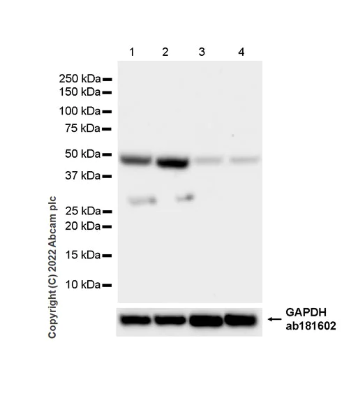
Western blot - Anti-ADK antibody [EPR27497-67] (AB307357)
  • WB

Supplier Data

Western blot - Anti-ADK antibody [EPR27497-67] (AB307357)

Blocking and diluting buffer and concentration : 5% NFDM/TBST Low expression : mouse heart (PMID : 15930047;14736855), rat heart (PMID : 15930047;14736855). Exposure time : 15 seconds

All lanes:

Western blot - Anti-ADK antibody [EPR27497-67] (ab307357) at 1/1000 dilution

Lane 1:

Mouse liver tissue lysate

Lane 2:

Rat liver tissue lysate

Lane 3:

Mouse heart tissue lysate

Lane 4:

Rat heart tissue lysate

Secondary

All lanes:

Western blot - Goat Anti-Rabbit IgG H&L (HRP) (<a href='/products/secondary-antibodies/goat-rabbit-igg-h-l-hrp-ab97051'>ab97051</a>) at 1/100000 dilution

Observed band size: 45 kDa

false

Exposure time: 15s

关键信息

宿主种属

Rabbit

克隆

Monoclonal

克隆号

EPR27497-67

亚型

IgG

不含载体蛋白

No

反应种属

Human, Mouse, Rat

应用

Flow Cyt (Intra), IP, ICC/IF, WB

applications

免疫原

The exact immunogen used to generate this antibody is proprietary information.

特异性

This antibody is unsuitable for human IP and rat ICC.

反应性数据

{ "title": "Reactivity Data", "filters": { "stats": ["", "Species", "Dilution Info", "Notes"], "tabs": { "all-applications": {"fullname" : "All Applications", "shortname": "All Applications"}, "IP" : {"fullname" : "Immunoprecipitation", "shortname":"IP"}, "FlowCytIntra" : {"fullname" : "Flow Cytometry (Intracellular)", "shortname":"Flow Cyt (Intra)"}, "ICCIF" : {"fullname" : "Immunocytochemistry/ Immunofluorescence", "shortname":"ICC/IF"}, "IHCFr" : {"fullname" : "Immunohistochemistry (Frozen sections)", "shortname":"IHC-Fr"}, "IHCP" : {"fullname" : "Immunohistochemistry (Formalin/PFA-fixed paraffin-embedded sections)", "shortname":"IHC-P"}, "WB" : {"fullname" : "Western blot", "shortname":"WB"} }, "product-promise": { "all": "all", "testedAndGuaranteed": "tested", "guaranteed": "expected", "predicted": "predicted", "notRecommended": "not-recommended" } }, "values": { "Human": { "IP-species-checked": "notRecommended", "IP-species-dilution-info": "1/30", "IP-species-notes": "<p></p>", "FlowCytIntra-species-checked": "testedAndGuaranteed", "FlowCytIntra-species-dilution-info": "1/50", "FlowCytIntra-species-notes": "<p></p>", "ICCIF-species-checked": "testedAndGuaranteed", "ICCIF-species-dilution-info": "1/50 - 1/1000", "ICCIF-species-notes": "<p></p>", "IHCFr-species-checked": "notRecommended", "IHCFr-species-dilution-info": "", "IHCFr-species-notes": "<p></p>", "IHCP-species-checked": "notRecommended", "IHCP-species-dilution-info": "", "IHCP-species-notes": "<p></p>", "WB-species-checked": "testedAndGuaranteed", "WB-species-dilution-info": "1/1000", "WB-species-notes": "<p></p>" }, "Mouse": { "IP-species-checked": "testedAndGuaranteed", "IP-species-dilution-info": "1/30", "IP-species-notes": "<p></p>", "FlowCytIntra-species-checked": "testedAndGuaranteed", "FlowCytIntra-species-dilution-info": "1/50", "FlowCytIntra-species-notes": "<p></p>", "ICCIF-species-checked": "testedAndGuaranteed", "ICCIF-species-dilution-info": "1/50 - 1/1000", "ICCIF-species-notes": "<p></p>", "IHCFr-species-checked": "notRecommended", "IHCFr-species-dilution-info": "", "IHCFr-species-notes": "<p></p>", "IHCP-species-checked": "notRecommended", "IHCP-species-dilution-info": "", "IHCP-species-notes": "<p></p>", "WB-species-checked": "testedAndGuaranteed", "WB-species-dilution-info": "1/1000", "WB-species-notes": "<p></p>" }, "Rat": { "IP-species-checked": "testedAndGuaranteed", "IP-species-dilution-info": "1/30", "IP-species-notes": "<p></p>", "FlowCytIntra-species-checked": "guaranteed", "FlowCytIntra-species-dilution-info": "", "FlowCytIntra-species-notes": "", "ICCIF-species-checked": "notRecommended", "ICCIF-species-dilution-info": "1/50 - 1/1000", "ICCIF-species-notes": "<p></p>", "IHCFr-species-checked": "notRecommended", "IHCFr-species-dilution-info": "", "IHCFr-species-notes": "<p></p>", "IHCP-species-checked": "notRecommended", "IHCP-species-dilution-info": "", "IHCP-species-notes": "<p></p>", "WB-species-checked": "testedAndGuaranteed", "WB-species-dilution-info": "1/1000", "WB-species-notes": "<p></p>" } } }

产品详情

Patented technology
Our RabMAb® technology is a patented hybridoma-based technology for making rabbit monoclonal antibodies. For details on our patents, please refer to RabMAb® patents.

What are the advantages of a recombinant monoclonal antibody?
This product is a recombinant monoclonal antibody, which offers several advantages including:

  • - High batch-to-batch consistency and reproducibility
  • - Improved sensitivity and specificity
  • - Long-term security of supply
  • - Animal-free batch production

For more information, read more on recombinant antibodies.

性能和储存信息

形式
Liquid
纯化工艺
Affinity purification Protein A
存储溶液
pH: 7.2 - 7.4 Preservative: 0.01% Sodium azide Constituents: PBS, 40% Glycerol (glycerin, glycerine), 0.05% BSA
运输条件
Blue Ice
推荐的短期储存时间
1-2 weeks
推荐的短期储存条件
+4°C
推荐的长期储存条件
-20°C
分装信息
Upon delivery aliquot
储存信息
Avoid freeze / thaw cycle

补充信息

This supplementary information is collated from multiple sources and compiled automatically.

Adenosine kinase (ADK) also known by its alternative name ATP:adenosine 5'-phosphotransferase is an enzyme with a molecular mass of approximately 40 kDa. This enzyme catalyzes the transfer of a phosphate group from ATP to adenosine forming AMP. ADK is expressed in several tissues with significant presence in the liver brain and lungs. This distribution suggests its versatile role in organ-specific metabolism and regulatory processes.
Biological function summary

The enzyme modulates cellular adenosine levels which influences various physiological functions such as sleep regulation and immune responses. ADK does not operate as part of a larger protein complex but acts independently to maintain intracellular energy balance by regulating the pools of adenosine and AMP. The enzyme activity affects purine metabolism important in diverse cellular activities.

Pathways

The activity of adenosine kinase fits prominently into the purine metabolism and energy homeostasis pathways. Its function maintains the cellular concentrations of adenosine a nucleotide affecting cellular signaling pathways including the AMP-activated protein kinase (AMPK) pathway. ADK interacts with enzymes like adenosine deaminase which collectively orchestrate the purine salvage pathway—pivotal in nucleotide recycling.

Irregularities in ADK function have implications in neurological disorders and liver diseases. Abnormal ADK activity links to epilepsy due to its role in controlling adenosine concentrations affecting neurotransmitter release. Liver diseases such as hepatic steatosis have shown associations with altered ADK function impacting energy balance. The interplay with proteins such as AMP-activated protein kinase indicates potential therapeutic targets in disorders where metabolic regulation is compromised.

产品实验方案

For this product, it's our understanding that no specific protocols are required. You can visit:

靶点信息

Catalyzes the phosphorylation of the purine nucleoside adenosine at the 5' position in an ATP-dependent manner. Serves as a potential regulator of concentrations of extracellular adenosine and intracellular adenine nucleotides.
See full target information ADK

Abcam Product Promise

我们致力于为您的研究提供高质量的试剂,为您科研的每一步提供支持。若我们的产品未能达到预期性能,我们向您提供 Abcam Product Promise 保障。
详情请参阅我们的条款与条件。

Please note: All products are 'FOR RESEARCH USE ONLY. NOT FOR USE IN DIAGNOSTIC OR THERAPEUTIC PROCEDURES'.

For licensing inquiries, please contact partnerships@abcam.com