JavaScript is disabled in your browser. Please enable JavaScript to view this website.
AB3455

Anti-Adiponectin抗体

Anti-Adiponectin antibody

Be the first to review this product! Submit a review

|

(19 Publications)

Rabbit Polyclonal Adiponectin antibody. Suitable for ICC, WB and reacts with Mouse samples. Cited in 19 publications. Immunogen corresponding to Synthetic Peptide within Mouse Adipoq aa 1-50.

查看别名

Acdc, Acrp30, Apm1, Adipoq, Adiponectin, 30 kDa adipocyte complement-related protein, Adipocyte complement-related 30 kDa protein, Adipocyte-specific protein AdipoQ, ACRP30

3 Images
Immunocytochemistry - Anti-Adiponectin antibody (AB3455)
  • ICC

Supplier Data

Immunocytochemistry - Anti-Adiponectin antibody (AB3455)

Immunofluorescence analysis of Adiponectin was performed using 70% confluent 3T3-L1 cells differentiated with Adipogenesis Assay Kit (Cell-Based)(ab133102) for 5 days. The cells were fixed with 4% paraformaldehyde for 10 minutes, permeabilized with 0.1% Triton TM X-100 for 10 min, blocked with 1% BSA for 1 hour at room temperature.

The cells were labeled with Adiponectin Polyclonal Antibody (ab3455) at 2 μg/ml in 0.1% BSA and incubated for 3 hours at room temperature and then lebeled with Goat Anti-Rabbit IgG H&L (Alexa Fluor® 488) preadsorbed (ab150081) at a dilution of 1/2000 for 45 minutes at room temperature, panel A (green). Panel B (blue) : nuclei were stained with DAPI. Panel C (red), F-actin was stained with Alexa Fluor®555 rhodamine phalloidin (ab235138) at 1/3000 dilution. Panel D represents the merged image showing cytoplasmic localization. Panel f represents control cells with no primary antibody to assess background. The images were captured at 60X magnification.

Western blot - Anti-Adiponectin antibody (AB3455)
  • WB

Unknown

Western blot - Anti-Adiponectin antibody (AB3455)

Western blot detection of Adiponectin on mouse serum using ab3455.

All lanes:

Western blot - Anti-Adiponectin antibody (ab3455)

Predicted band size: 26 kDa

false

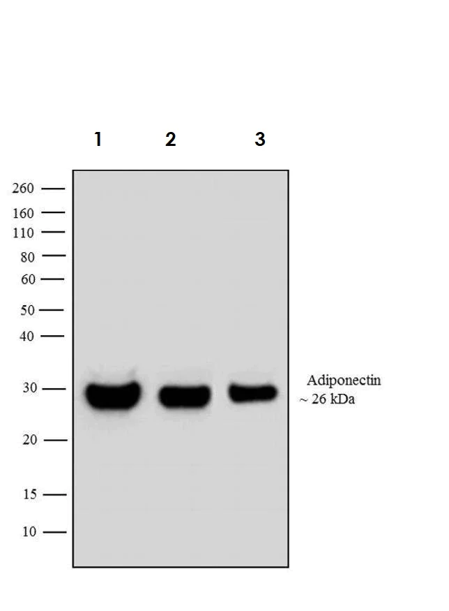
Western blot - Anti-Adiponectin antibody (AB3455)
  • WB

Supplier Data

Western blot - Anti-Adiponectin antibody (AB3455)

All lanes:

Western blot - Anti-Adiponectin antibody (ab3455) at 2 µg/mL

Lane 1:

Mouse adipose tissue extract in 3T3-L1 conditioned media at 30 µg

Lane 2:

Mouse adipose tissue extract in NIH/3T3 conditioned media at 30 µg

Lane 3:

Mouse adipose tissue extract in BM-MSC differentiated conditioned media at 30 µg

Secondary

All lanes:

Goat anti-Rabbit IgG (H+L) Superclonal™ Secondary Antibody, HRP conjugate at 1/4000 dilution

Predicted band size: 26 kDa

true

关键信息

宿主种属

Rabbit

克隆

Polyclonal

亚型

IgG

不含载体蛋白

No

反应种属

Mouse

应用

WB, ICC

applications

免疫原

The exact immunogen used to generate this antibody is proprietary information.

Synthetic Peptide within Mouse Adipoq aa 150-200. Database link Q60994

特异性

Detects Acrp30 from mouse serum. We have data to indicate that this antibody may not cross react with Human. However, this has not been conclusively tested and expression levels may vary in certain cell lines/tissues.

反应性数据

{ "title": "Reactivity Data", "filters": { "stats": ["", "Species", "Dilution Info", "Notes"], "tabs": { "all-applications": {"fullname" : "All Applications", "shortname": "All Applications"}, "ICC" : {"fullname" : "Immunocytochemistry", "shortname":"ICC"}, "WB" : {"fullname" : "Western blot", "shortname":"WB"} }, "product-promise": { "all": "all", "testedAndGuaranteed": "tested", "guaranteed": "expected", "predicted": "predicted", "notRecommended": "not-recommended" } }, "values": { "Mouse": { "ICC-species-checked": "guaranteed", "ICC-species-dilution-info": "", "ICC-species-notes": "<p></p>", "WB-species-checked": "testedAndGuaranteed", "WB-species-dilution-info": "4-8 µg/mL", "WB-species-notes": "<p></p>" } } }

性能和储存信息

形式
Liquid
纯化工艺
Affinity purification Protein A
存储溶液
Preservative: 0.05% Sodium azide Constituents: PBS, 0.1% BSA
运输条件
Blue Ice
推荐的短期储存时间
1-2 weeks
推荐的短期储存条件
+4°C
推荐的长期储存条件
-20°C
分装信息
Upon delivery aliquot
储存信息
Avoid freeze / thaw cycle

补充信息

This supplementary information is collated from multiple sources and compiled automatically.

Adiponectin also known as ADIPOQ or adipocyte complement-related protein of 30 kDa (Acrp30) is a 30 kDa protein that plays a significant mechanical role in energy homeostasis. Adiponectin is secreted predominantly by adipose tissue and circulates in the blood. This protein forms various multimeric structures including low-molecular-weight medium-molecular-weight and high-molecular-weight forms each with distinct biological functions. Its expression in adipose tissue links it closely to metabolic processes and functions related to fat storage and energy balance.
Biological function summary

Adiponectin influences glucose regulation and fatty acid oxidation. It acts as a hormone with several metabolic roles including anti-diabetic anti-atherogenic and anti-inflammatory properties. Adiponectin participates in forming a complex with other proteins such as AdipoR1 and AdipoR2 which are receptors facilitating signal transduction. The interaction of adiponectin with its receptors leads to the induction of several lipid and glucose metabolism pathways important for maintaining cellular energy balance.

Pathways

Many regulatory cascades are influenced by adiponectin. This protein is integral to the AMPK signaling pathway and the PPAR signaling pathway. In the AMPK pathway adiponectin enhances insulin sensitivity and stimulates oxidation of fatty acids in muscle tissue. Through the PPAR pathway it influences lipid metabolism and storage. Adiponectin interacts with key proteins such as leptin and resistin coordinating various metabolic pathways to balance energy and glucose levels making it a critical factor in metabolic regulation.

Reduced levels of adiponectin associate with conditions like type 2 diabetes and cardiovascular disease. Lower circulating adiponectin concentrations correlate with obesity leading to increased insulin resistance and higher risk of type 2 diabetes. In cardiovascular disease this protein's role links to its anti-inflammatory properties and ability to decrease the proliferation of vascular smooth muscle cells. Adiponectin also interacts with proteins like cytokines that play a role in these conditions affecting the body’s inflammatory responses and metabolic processes highlighting its importance in health and disease management.

产品实验方案

For this product, it's our understanding that no specific protocols are required. You can visit:

靶点信息

Important adipokine involved in the control of fat metabolism and insulin sensitivity, with direct anti-diabetic, anti-atherogenic and anti-inflammatory activities. Stimulates AMPK phosphorylation and activation in the liver and the skeletal muscle, enhancing glucose utilization and fatty-acid combustion. Antagonizes TNF-alpha by negatively regulating its expression in various tissues such as liver and macrophages, and also by counteracting its effects. Inhibits endothelial NF-kappa-B signaling through a cAMP-dependent pathway. May play a role in cell growth, angiogenesis and tissue remodeling by binding and sequestering various growth factors with distinct binding affinities, depending on the type of complex, LMW, MMW or HMW.
See full target information Adipoq

文献 (19)

Recent publications for all applications. Explore the full list and refine your search

Nature communications 12:1822 PubMed33758172

2021

Adipocyte PHLPP2 inhibition prevents obesity-induced fatty liver.

Applications

Unspecified application

Species

Unspecified reactive species

KyeongJin Kim,Jin Ku Kang,Young Hoon Jung,Sang Bae Lee,Raffaela Rametta,Paola Dongiovanni,Luca Valenti,Utpal B Pajvani

Nutrients 12: PubMed33322300

2020

The Effects of Brown Algae-Derived Monosaccharide L-Fucose on Lipid Metabolism in C57BL/6J Obese Mice.

Applications

Unspecified application

Species

Unspecified reactive species

Xiao Yuan,Tomohiko Nakao,Hina Satone,Kazuyuki Ohara,Yuri Kominami,Miho Ito,Teruki Aizawa,Tomoya Ueno,Hideki Ushio

Cell transplantation 29:963689720968090 PubMed33086891

2020

LncRNA HCG11 Inhibits Adipocyte Differentiation in Human Adipose-Derived Mesenchymal Stem Cells by Sponging miR-204-5p to Upregulate SIRT1.

Applications

Unspecified application

Species

Unspecified reactive species

Dandan Li,Yang Liu,Wei Gao,Jiakai Han,Rongrong Yuan,Mengdi Zhang,Zhenying Ge

Journal of cellular and molecular medicine 24:7751-7766 PubMed32441464

2020

Metformin regulates adiponectin signalling in epicardial adipose tissue and reduces atrial fibrillation vulnerability.

Applications

Unspecified application

Species

Unspecified reactive species

Biao Li,Sunny S Po,Baojian Zhang,Fan Bai,Jiayi Li,Fen Qin,Na Liu,Chao Sun,Yichao Xiao,Tao Tu,Shenghua Zhou,Qiming Liu

Journal of bone and mineral research : the official journal of the American Society for Bone and Mineral Research 35:942-955 PubMed31886918

2020

Myeloma Cells Down-Regulate Adiponectin in Bone Marrow Adipocytes Via TNF-Alpha.

Applications

Unspecified application

Species

Unspecified reactive species

Emma V Morris,Karla J Suchacki,Joseph Hocking,Rachel Cartwright,Aneka Sowman,Beatriz Gamez,Ryan Lea,Matthew T Drake,William P Cawthorn,Claire M Edwards

British journal of pharmacology 175:3379-3393 PubMed29859019

2018

A long-acting FGF21 alleviates hepatic steatosis and inflammation in a mouse model of non-alcoholic steatohepatitis partly through an FGF21-adiponectin-IL17A pathway.

Applications

Unspecified application

Species

Unspecified reactive species

Lichen Bao,Jun Yin,Wen Gao,Qun Wang,Wenbing Yao,Xiangdong Gao

Cardiovascular research 114:1335-1349 PubMed29668847

2018

Adiponectin determines farnesoid X receptor agonism-mediated cardioprotection against post-infarction remodelling and dysfunction.

Applications

Unspecified application

Species

Unspecified reactive species

Yunlong Xia,Fuyang Zhang,Shihao Zhao,Yueyang Li,Xiyao Chen,Erhe Gao,Xinyue Xu,Zhenyu Xiong,Xiaomeng Zhang,Jinglong Zhang,Huishou Zhao,Wei Wang,Helin Wang,Yanjie Guo,Yi Liu,Congye Li,Shan Wang,Ling Zhang,Wenjun Yan,Ling Tao

Molecular metabolism 8:106-116 PubMed29331506

2018

Hepatocyte estrogen receptor alpha mediates estrogen action to promote reverse cholesterol transport during Western-type diet feeding.

Applications

Unspecified application

Species

Unspecified reactive species

Lin Zhu,Jeanne Shi,Thao N Luu,Joshua C Neuman,Elijah Trefts,Sophia Yu,Brian T Palmisano,David H Wasserman,MacRae F Linton,John M Stafford

Molecular metabolism 8:167-179 PubMed29203237

2017

Adiponectin release and insulin receptor targeting share trans-Golgi-dependent endosomal trafficking routes.

Applications

WB, ICC/IF

Species

Human, Human

Maria Rödiger,Martin W Werno,Ilka Wilhelmi,Christian Baumeier,Deike Hesse,Nina Wettschureck,Stefan Offermanns,Kyungyeun Song,Michael Krauß,Annette Schürmann

Journal of the American Heart Association 6: PubMed28963101

2017

Chronic Psychological Stress Accelerates Vascular Senescence and Impairs Ischemia-Induced Neovascularization: The Role of Dipeptidyl Peptidase-4/Glucagon-Like Peptide-1-Adiponectin Axis.

Applications

Unspecified application

Species

Unspecified reactive species

Limei Piao,Guangxian Zhao,Enbo Zhu,Aiko Inoue,Rei Shibata,Yanna Lei,Lina Hu,Chenglin Yu,Guang Yang,Hongxian Wu,Wenhu Xu,Kenji Okumura,Noriyuki Ouchi,Toyoaki Murohara,Masafumi Kuzuya,Xian Wu Cheng
View all publications

Abcam Product Promise

我们致力于为您的研究提供高质量的试剂,为您科研的每一步提供支持。若我们的产品未能达到预期性能,我们向您提供 Abcam Product Promise 保障。
详情请参阅我们的条款与条件。

Please note: All products are 'FOR RESEARCH USE ONLY. NOT FOR USE IN DIAGNOSTIC OR THERAPEUTIC PROCEDURES'.

For licensing inquiries, please contact partnerships@abcam.com