JavaScript is disabled in your browser. Please enable JavaScript to view this website.
AB79714

Anti-Adenosine Receptor A2a 抗体 [7F6-G5-A2]

Anti-Adenosine Receptor A2a antibody [7F6-G5-A2]

4

(3 Reviews)

|

(15 Publications)

Mouse Monoclonal Adenosine Receptor A2a antibody. Suitable for IHC-P, WB and reacts with Mouse, Rat, Human samples. Cited in 15 publications.

查看别名

ADORA2, ADORA2A, Adenosine receptor A2a

4 Images
Immunohistochemistry (Formalin/PFA-fixed paraffin-embedded sections) - Anti-Adenosine Receptor A2a antibody [7F6-G5-A2] (AB79714)
  • IHC-P

Unknown

Immunohistochemistry (Formalin/PFA-fixed paraffin-embedded sections) - Anti-Adenosine Receptor A2a antibody [7F6-G5-A2] (AB79714)

IHC image of Adenosine Receptor A2a staining in Human normal brain Caudate Nucleus formalin fixed paraffin embedded tissue section*, performed on a Leica Bond™ system using the standard protocol F. The section was pre-treated using heat mediated antigen retrieval with sodium citrate buffer (pH6, epitope retrieval solution 1) for 20 mins. The section was then incubated with ab79714, 5μg/ml, for 15 mins at room temperature and detected using an HRP conjugated compact polymer system. DAB was used as the chromogen. The section was then counterstained with haematoxylin and mounted with DPX.

For other IHC staining systems (automated and non-automated) customers should optimize variable parameters such as antigen retrieval conditions, primary antibody concentration and antibody incubation times.

*Tissue obtained from the Human Research Tissue Bank, supported by the NIHR Cambridge Biomedical Research Centre

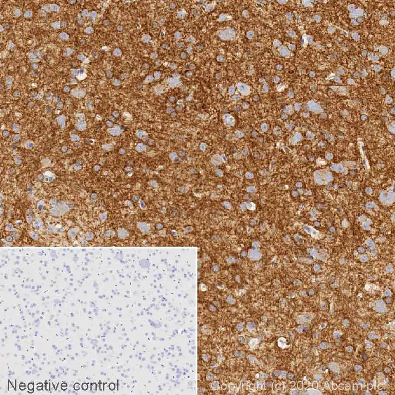
Immunohistochemistry (Formalin/PFA-fixed paraffin-embedded sections) - Anti-Adenosine Receptor A2a antibody [7F6-G5-A2] (AB79714)
  • IHC-P

Unknown

Immunohistochemistry (Formalin/PFA-fixed paraffin-embedded sections) - Anti-Adenosine Receptor A2a antibody [7F6-G5-A2] (AB79714)

IHC image of Adenosine Receptor A2a staining in Rat normal brain Caudate Nucleus formalin fixed paraffin embedded tissue section*, performed on a Leica Bond™ system using the standard protocol F. The section was pre-treated using heat mediated antigen retrieval with sodium citrate buffer (pH6, epitope retrieval solution 1) for 20 mins. The section was then incubated with ab79714, 5μg/ml, for 15 mins at room temperature and detected using an HRP conjugated compact polymer system. DAB was used as the chromogen. The section was then counterstained with haematoxylin and mounted with DPX.

For other IHC staining systems (automated and non-automated) customers should optimize variable parameters such as antigen retrieval conditions, primary antibody concentration and antibody incubation times.

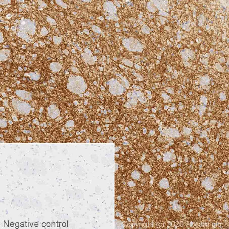
Immunohistochemistry (Formalin/PFA-fixed paraffin-embedded sections) - Anti-Adenosine Receptor A2a antibody [7F6-G5-A2] (AB79714)
  • IHC-P

Unknown

Immunohistochemistry (Formalin/PFA-fixed paraffin-embedded sections) - Anti-Adenosine Receptor A2a antibody [7F6-G5-A2] (AB79714)

IHC image of Adenosine Receptor A2a staining in Mouse normal brain Caudate Nucleus formalin fixed paraffin embedded tissue section*, performed on a Leica Bond™ system using the standard protocol F. The section was pre-treated using heat mediated antigen retrieval with sodium citrate buffer (pH6, epitope retrieval solution 1) for 20 mins. The section was then incubated with ab79714, 5μg/ml, for 15 mins at room temperature and detected using an HRP conjugated compact polymer system. DAB was used as the chromogen. The section was then counterstained with haematoxylin and mounted with DPX.

For other IHC staining systems (automated and non-automated) customers should optimize variable parameters such as antigen retrieval conditions, primary antibody concentration and antibody incubation times.

Western blot - Anti-Adenosine Receptor A2a antibody [7F6-G5-A2] (AB79714)
  • WB

Lab

Western blot - Anti-Adenosine Receptor A2a antibody [7F6-G5-A2] (AB79714)

Blocking buffer : 1% BSA

Gel type : MOPS

Lanes 1 - 3:

Western blot - Anti-Adenosine Receptor A2a antibody [7F6-G5-A2] (ab79714) at 5 µg/mL

Lanes 4 - 6:

Competitor product at 5 µg/mL

Lanes 1 and 4:

Human brain tissue lysate at 20 µg

Lanes 2 and 5:

Mouse brain tissue lysate at 20 µg

Lanes 3 and 6:

Rat brain tissue lysate at 20 µg

Secondary

All lanes:

Goat polyclonal to Mouse IgG - H&L - Pre-Adsorbed (HRP) at 1/5000 dilution

Predicted band size: 44 kDa

Observed band size: 25 kDa,39 kDa,45 kDa,55 kDa

false

Exposure time: 20min

关键信息

宿主种属

Mouse

克隆

Monoclonal

克隆号

7F6-G5-A2

亚型

IgG2a

不含载体蛋白

No

反应种属

Mouse, Rat, Human

应用

IHC-P, WB

applications

免疫原

The exact immunogen used to generate this antibody is proprietary information.

表位

Recognises amino acids 213-220 (SQPLPGER) within the third intracellular loop.

特异性

This antibody is recommended for tissue lysates only. In house testing has shown no signal in Western Blot for SH-SY5Y, SK-N-SH, PC-12 or HeLa cell lines.

反应性数据

{ "title": "Reactivity Data", "filters": { "stats": ["", "Species", "Dilution Info", "Notes"], "tabs": { "all-applications": {"fullname" : "All Applications", "shortname": "All Applications"}, "IHCP" : {"fullname" : "Immunohistochemistry (Formalin/PFA-fixed paraffin-embedded sections)", "shortname":"IHC-P"}, "WB" : {"fullname" : "Western blot", "shortname":"WB"}, "ICCIF" : {"fullname" : "Immunocytochemistry/ Immunofluorescence", "shortname":"ICC/IF"} }, "product-promise": { "all": "all", "testedAndGuaranteed": "tested", "guaranteed": "expected", "predicted": "predicted", "notRecommended": "not-recommended" } }, "values": { "Human": { "IHCP-species-checked": "testedAndGuaranteed", "IHCP-species-dilution-info": "5 µg/mL", "IHCP-species-notes": "<p></p> Perform heat-mediated antigen retrieval with citrate buffer pH 6 before commencing with IHC staining protocol.", "WB-species-checked": "testedAndGuaranteed", "WB-species-dilution-info": "1-5 µg/mL", "WB-species-notes": "<p>We recommend using 1% BSA as a blocking agent for western blot.</p>", "ICCIF-species-checked": "notRecommended", "ICCIF-species-dilution-info": "5 µg/mL", "ICCIF-species-notes": "<p></p>" }, "Mouse": { "IHCP-species-checked": "testedAndGuaranteed", "IHCP-species-dilution-info": "5 µg/mL", "IHCP-species-notes": "<p></p> Perform heat-mediated antigen retrieval with citrate buffer pH 6 before commencing with IHC staining protocol.", "WB-species-checked": "testedAndGuaranteed", "WB-species-dilution-info": "1-5 µg/mL", "WB-species-notes": "<p>We recommend using 1% BSA as a blocking agent for western blot.</p>", "ICCIF-species-checked": "notRecommended", "ICCIF-species-dilution-info": "5 µg/mL", "ICCIF-species-notes": "<p></p>" }, "Rat": { "IHCP-species-checked": "testedAndGuaranteed", "IHCP-species-dilution-info": "5 µg/mL", "IHCP-species-notes": "<p></p> Perform heat-mediated antigen retrieval with citrate buffer pH 6 before commencing with IHC staining protocol.", "WB-species-checked": "testedAndGuaranteed", "WB-species-dilution-info": "1-5 µg/mL", "WB-species-notes": "<p>We recommend using 1% BSA as a blocking agent for western blot.</p>", "ICCIF-species-checked": "notRecommended", "ICCIF-species-dilution-info": "5 µg/mL", "ICCIF-species-notes": "<p></p>" }, "Dog": { "IHCP-species-checked": "predicted", "IHCP-species-dilution-info": "", "IHCP-species-notes": "", "WB-species-checked": "predicted", "WB-species-dilution-info": "", "WB-species-notes": "", "ICCIF-species-checked": "notRecommended", "ICCIF-species-dilution-info": "", "ICCIF-species-notes": "" }, "Guinea pig": { "IHCP-species-checked": "predicted", "IHCP-species-dilution-info": "", "IHCP-species-notes": "", "WB-species-checked": "predicted", "WB-species-dilution-info": "", "WB-species-notes": "", "ICCIF-species-checked": "notRecommended", "ICCIF-species-dilution-info": "", "ICCIF-species-notes": "" }, "Hamster": { "IHCP-species-checked": "predicted", "IHCP-species-dilution-info": "", "IHCP-species-notes": "", "WB-species-checked": "predicted", "WB-species-dilution-info": "", "WB-species-notes": "", "ICCIF-species-checked": "notRecommended", "ICCIF-species-dilution-info": "", "ICCIF-species-notes": "" }, "Primates": { "IHCP-species-checked": "predicted", "IHCP-species-dilution-info": "", "IHCP-species-notes": "", "WB-species-checked": "predicted", "WB-species-dilution-info": "", "WB-species-notes": "", "ICCIF-species-checked": "notRecommended", "ICCIF-species-dilution-info": "", "ICCIF-species-notes": "" } } }

产品详情

Want a custom formulation?
This antibody clone is manufactured by Abcam. If you require a custom buffer formulation or conjugation for your experiments, please contact orders@abcam.com

性能和储存信息

形式
Liquid
纯化工艺
Affinity purification
纯化说明
Purified by running the antiserum from the injected animal through an affinity column with the antigen bound to a beaded agarose gel.
存储溶液
pH: 7.4 Preservative: 0.02% Sodium azide Constituents: PBS, 6.97% L-Arginine
运输条件
Blue Ice
推荐的短期储存条件
+4°C
推荐的长期储存条件
-20°C
储存信息
Stable for 12 months at -20°C

补充信息

This supplementary information is collated from multiple sources and compiled automatically.

Adenosine Receptor A2A also known as A2AR is a G protein-coupled receptor with a molecular mass of approximately 45 kDa. This receptor is widely expressed in various body tissues including the brain heart spleen and immune cells. A2A receptors play a mechanical role in mediating physiological responses to adenosine a purine nucleoside that acts as a signaling molecule in the body. Through binding to adenosine A2A receptors activate intracellular pathways that modulate cellular responses.
Biological function summary

The A2A adenosine receptor functions as an important regulator of neurotransmission and immune response. It does not form part of a larger protein complex but rather independently influences processes such as vasodilation heart rate regulation and cytokine release. The A2A receptor contributes to the modulation of dopamine and glutamate signaling in the central nervous system playing a significant role in maintaining neural balance. Its activity in immune cells helps in controlling inflammation and immune cell proliferation.

Pathways

The A2A adenosine receptor engages in critical signaling cascades particularly the cAMP-PKA pathway and the MAPK pathway. Through the cAMP-PKA pathway A2A R influences various cellular processes by increasing cyclic AMP levels which activate protein kinase A. The receptor is also involved in the MAPK pathway impacting cellular growth and differentiation. It interacts with proteins such as Gs alpha subunit which couples to the receptor to promote downstream signaling events.

The A2A receptor has connections to conditions like Parkinson's disease and ischemia-reperfusion injury. In Parkinson's disease the activity of A2A receptors affects dopaminergic signaling where it interacts with proteins such as dopamine D2 receptors suggesting potential for therapeutic targeting. During ischemia-reperfusion injury the receptor's modulation of immune responses and vasodilation can influence tissue damage and repair mechanisms linking it with proteins involved in inflammatory pathways.

产品实验方案

For this product, it's our understanding that no specific protocols are required. You can visit:

靶点信息

Receptor for adenosine (By similarity). The activity of this receptor is mediated by G proteins which activate adenylyl cyclase (By similarity).
See full target information ADORA2A

文献 (15)

Recent publications for all applications. Explore the full list and refine your search

The Journal of biological chemistry 301:108206 PubMed39828097

2025

Metabolic dysfunction in mice with adipocyte-specific ablation of the adenosine A2A receptor.

Applications

Unspecified application

Species

Unspecified reactive species

Narendra Verma,Luce Perie,Michele Silvestro,Anupama Verma,Bruce N Cronstein,Bhama Ramkhelawon,Elisabetta Mueller

Nutrients 16: PubMed38892725

2024

Effect of Xanthohumol, a Bioactive Natural Compound from Hops, on Adenosine Pathway in Rat C6 Glioma and Human SH-SY5Y Neuroblastoma Cell Lines.

Applications

Unspecified application

Species

Unspecified reactive species

Adrián Tejero,David Agustín León-Navarro,Mairena Martín

Pharmaceutical biology 62:456-471 PubMed38773737

2024

Network pharmacology integrated with experimental validation to elucidate the mechanisms of action of the Guizhi-Gancao Decoction in the treatment of phenylephrine-induced cardiac hypertrophy.

Applications

Unspecified application

Species

Unspecified reactive species

Kaijing Yang,Xiaoli Shan,Yang Songru,Mengwei Fu,Pei Zhao,Wei Guo,Ming Xu,Huihua Chen,Rong Lu,Chen Zhang

Scientific reports 13:19477 PubMed37945707

2023

ADORA2A promotes proliferation and inhibits apoptosis through PI3K/AKT pathway activation in colorectal carcinoma.

Applications

Unspecified application

Species

Unspecified reactive species

Longyan Ran,Xiao Mou,Zhenglin Peng,Xiaochen Li,Meirong Li,Duo Xu,Zixi Yang,Xingwang Sun,Tao Yin

Molecular neurobiology 60:4396-4417 PubMed37103687

2023

Aberrant adenosine signaling in patients with focal cortical dysplasia.

Applications

Unspecified application

Species

Unspecified reactive species

Mengyi Guo,Jing Zhang,Jing Wang,Xiongfei Wang,Qing Gao,Chongyang Tang,Jiahui Deng,Zhonghua Xiong,Xiangru Kong,Yuguang Guan,Jian Zhou,Detlev Boison,Guoming Luan,Tianfu Li

Redox report : communications in free radical research 27:270-278 PubMed36357965

2022

Caffeine reduces oxidative stress to protect against hyperoxia-induced lung injury via the adenosine A2A receptor/cAMP/PKA/Src/ERK1/2/p38MAPK pathway.

Applications

Unspecified application

Species

Unspecified reactive species

Xijuan Wang,Shuai Lv,Jianwei Sun,Meihui Zhang,Lei Zhang,Yan Sun,Ziyan Zhao,Dandan Wang,Xinjing Zhao,Jiajie Zhang

Frontiers in endocrinology 13:1007801 PubMed36407311

2022

Resveratrol enhances A and hinders A adenosine receptors signaling in both HeLa and SH-SY5Y cells: Potential mechanism of its antitumoral action.

Applications

Unspecified application

Species

Unspecified reactive species

Sonia Muñoz-López,Alejandro Sánchez-Melgar,Mairena Martín,José Luis Albasanz

Frontiers in pharmacology 13:897436 PubMed35814204

2022

Xiaoyaosan Ameliorates Chronic Restraint Stress-Induced Depression-Like Phenotype by Suppressing A2AR Signaling in the Rat Striatum.

Applications

Unspecified application

Species

Unspecified reactive species

Xiaoxu Zhu,Qingyu Ma,Furong Yang,Xiaojuan Li,Yueyun Liu,Jianbei Chen,Lan Li,Man Chen,Xiaojuan Zou,Li Yan,Jiaxu Chen

Frontiers in physiology 12:645723 PubMed33935801

2021

Experimental Evidence of A-D Receptor-Receptor Interactions in the Rat and Human Carotid Body.

Applications

Unspecified application

Species

Unspecified reactive species

Elena Stocco,Maria Martina Sfriso,Giulia Borile,Martina Contran,Silvia Barbon,Filippo Romanato,Veronica Macchi,Diego Guidolin,Raffaele De Caro,Andrea Porzionato

Cells 9: PubMed32645849

2020

Adenosine and Metabotropic Glutamate Receptors Are Present in Blood Serum and Exosomes from SAMP8 Mice: Modulation by Aging and Resveratrol.

Applications

Unspecified application

Species

Unspecified reactive species

Alejandro Sánchez-Melgar,José Luis Albasanz,Christian Griñán-Ferré,Mercè Pallàs,Mairena Martín
View all publications

Abcam Product Promise

我们致力于为您的研究提供高质量的试剂,为您科研的每一步提供支持。若我们的产品未能达到预期性能,我们向您提供 Abcam Product Promise 保障。
详情请参阅我们的条款与条件。

Please note: All products are 'FOR RESEARCH USE ONLY. NOT FOR USE IN DIAGNOSTIC OR THERAPEUTIC PROCEDURES'.

For licensing inquiries, please contact partnerships@abcam.com