JavaScript is disabled in your browser. Please enable JavaScript to view this website.
AB168809

Anti-ADAR1抗体

Anti-ADAR1 antibody

4

(1 Review)

|

(13 Publications)

Rabbit Polyclonal ADAR1 antibody. Suitable for IHC-P, IP, WB and reacts with Human samples. Cited in 13 publications. Immunogen corresponding to Synthetic Peptide within Human ADAR aa 200-250.

查看别名

ADAR1, DSRAD, G1P1, IFI4, ADAR, Double-stranded RNA-specific adenosine deaminase, DRADA, 136 kDa double-stranded RNA-binding protein, Interferon-inducible protein 4, K88DSRBP, p136, IFI-4

3 Images
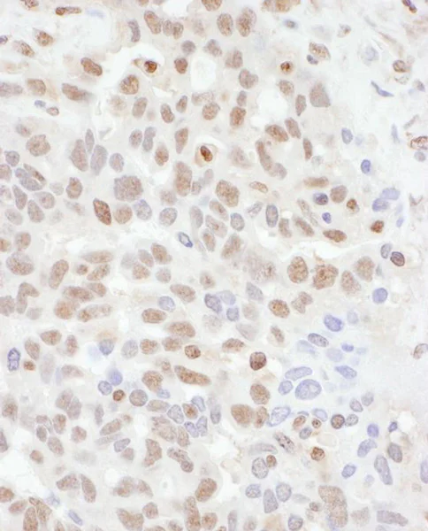
Immunohistochemistry (Formalin/PFA-fixed paraffin-embedded sections) - Anti-ADAR1 antibody (AB168809)
  • IHC-P

Unknown

Immunohistochemistry (Formalin/PFA-fixed paraffin-embedded sections) - Anti-ADAR1 antibody (AB168809)

Immunohistochemistry (Formalin/PFA-fixed paraffin-embedded sections) analysis of human ovarian carcinoma tissue labelling ADAR1 with ab168809 at 1/1000 (1μg/ml). Detection : DAB.

Western blot - Anti-ADAR1 antibody (AB168809)
  • WB

Unknown

Western blot - Anti-ADAR1 antibody (AB168809)

All lanes:

Western blot - Anti-ADAR1 antibody (ab168809) at 0.1 µg/mL

Lane 1:

HeLa whole cell lysate at 15 µg

Lane 2:

293T whole cell lysate at 15 µg

Lane 3:

Jurkat whole cell lysate at 15 µg

Predicted band size: 136 kDa

false

Exposure time: 30s

Immunoprecipitation - Anti-ADAR1 antibody (AB168809)
  • IP

Unknown

Immunoprecipitation - Anti-ADAR1 antibody (AB168809)

Detection of ADAR1 in Immunoprecipitates of 293T whole cell lysate (1 mg for IP, 20% of IP loaded) using ab168809 at 6 µg/mg lysate for IP and at 1 µg/ml for subsequent Western blot detection.
Detection : Chemiluminescence with an exposure time of 30 seconds.

All lanes:

Immunoprecipitation - Anti-ADAR1 antibody (ab168809)

Predicted band size: 136 kDa

false

关键信息

宿主种属

Rabbit

克隆

Polyclonal

亚型

IgG

不含载体蛋白

No

反应种属

Human

应用

IP, IHC-P, WB

applications

免疫原

Synthetic Peptide within Human ADAR aa 200-250. The exact immunogen used to generate this antibody is proprietary information.

P55265

反应性数据

{ "title": "Reactivity Data", "filters": { "stats": ["", "Species", "Dilution Info", "Notes"], "tabs": { "all-applications": {"fullname" : "All Applications", "shortname": "All Applications"}, "IHCP" : {"fullname" : "Immunohistochemistry (Formalin/PFA-fixed paraffin-embedded sections)", "shortname":"IHC-P"}, "IP" : {"fullname" : "Immunoprecipitation", "shortname":"IP"}, "WB" : {"fullname" : "Western blot", "shortname":"WB"} }, "product-promise": { "all": "all", "testedAndGuaranteed": "tested", "guaranteed": "expected", "predicted": "predicted", "notRecommended": "not-recommended" } }, "values": { "Human": { "IHCP-species-checked": "testedAndGuaranteed", "IHCP-species-dilution-info": "1/500 - 1/2000", "IHCP-species-notes": "<p></p> Perform heat-mediated antigen retrieval with citrate buffer pH 6 before commencing with IHC staining protocol.", "IP-species-checked": "testedAndGuaranteed", "IP-species-dilution-info": "2-10 µg/mg of lysate", "IP-species-notes": "<p></p>", "WB-species-checked": "testedAndGuaranteed", "WB-species-dilution-info": "1/1000 - 1/5000", "WB-species-notes": "<p></p>" }, "Chimpanzee": { "IHCP-species-checked": "predicted", "IHCP-species-dilution-info": "", "IHCP-species-notes": "", "IP-species-checked": "predicted", "IP-species-dilution-info": "", "IP-species-notes": "", "WB-species-checked": "predicted", "WB-species-dilution-info": "", "WB-species-notes": "" }, "Gorilla": { "IHCP-species-checked": "predicted", "IHCP-species-dilution-info": "", "IHCP-species-notes": "", "IP-species-checked": "predicted", "IP-species-dilution-info": "", "IP-species-notes": "", "WB-species-checked": "predicted", "WB-species-dilution-info": "", "WB-species-notes": "" }, "Orangutan": { "IHCP-species-checked": "predicted", "IHCP-species-dilution-info": "", "IHCP-species-notes": "", "IP-species-checked": "predicted", "IP-species-dilution-info": "", "IP-species-notes": "", "WB-species-checked": "predicted", "WB-species-dilution-info": "", "WB-species-notes": "" } } }

性能和储存信息

形式
Liquid
纯化工艺
Affinity purification Immunogen
纯化说明
ab168809 was affinity purified using an epitope specific to ADAR1 immobilized on solid support.
存储溶液
pH: 7 - 8 Preservative: 0.09% Sodium azide Constituents: 99% Tris citrate/phosphate
运输条件
Blue Ice
推荐的短期储存时间
Up to 12 months
推荐的短期储存条件
+4°C
推荐的长期储存条件
+4°C

补充信息

This supplementary information is collated from multiple sources and compiled automatically.

ADAR1 also known as RNA-specific adenosine deaminase 1 or ADAR is an enzyme with a mass of approximately 150 kDa. This protein targets double-stranded RNA (dsRNA) and acts mechanistically to convert adenosine to inosine in pre-mRNA sequences a process known as A-to-I RNA editing. ADAR1 is expressed in numerous tissues with high levels in the brain liver and lungs. Its localization within cells can vary often found in both the nucleus and cytoplasm which influences its function.
Biological function summary

ADAR1 plays a role in the regulation of RNA molecules affecting their stability and translation. It is linked to the editosome complex working alongside other proteins to perform RNA editing tasks. By modifying the coding potential of mRNAs ADAR1 contributes to the diversity of proteomes and helps manage the responses to viral RNAs giving the immune system tools to recognize endogenous and exogenous RNA.

Pathways

ADAR1 is significant in the interferon signaling pathway and RNA processing pathways. It operates in coordination with proteins like PKR which is involved in the response to viral infections. ADAR1 ensures that the immune response is not directed against the self highlighting its role in the regulation of the innate immune system. These pathways are critical in maintaining homeostasis and preventing unchecked immune responses.

Mutations or dysregulation of ADAR1 have associations with autoimmune diseases like Aicardi-Goutieres syndrome and certain cancers. The enzyme's role in editing RNA makes it essential in preventing inappropriate immune attacks against the body's own cells highlighting its interaction with MDA5 another protein involved in immune regulation. Understanding ADAR1 and its related pathways may offer potential therapeutic targets for these conditions including exploration into ADAR1 inhibitors as interventions.

产品实验方案

For this product, it's our understanding that no specific protocols are required. You can visit:

靶点信息

Catalyzes the hydrolytic deamination of adenosine to inosine in double-stranded RNA (dsRNA) referred to as A-to-I RNA editing (PubMed : 12618436, PubMed : 7565688, PubMed : 7972084). This may affect gene expression and function in a number of ways that include mRNA translation by changing codons and hence the amino acid sequence of proteins since the translational machinery read the inosine as a guanosine; pre-mRNA splicing by altering splice site recognition sequences; RNA stability by changing sequences involved in nuclease recognition; genetic stability in the case of RNA virus genomes by changing sequences during viral RNA replication; and RNA structure-dependent activities such as microRNA production or targeting or protein-RNA interactions. Can edit both viral and cellular RNAs and can edit RNAs at multiple sites (hyper-editing) or at specific sites (site-specific editing). Its cellular RNA substrates include : bladder cancer-associated protein (BLCAP), neurotransmitter receptors for glutamate (GRIA2) and serotonin (HTR2C) and GABA receptor (GABRA3). Site-specific RNA editing of transcripts encoding these proteins results in amino acid substitutions which consequently alters their functional activities. Exhibits low-level editing at the GRIA2 Q/R site, but edits efficiently at the R/G site and HOTSPOT1. Its viral RNA substrates include : hepatitis C virus (HCV), vesicular stomatitis virus (VSV), measles virus (MV), hepatitis delta virus (HDV), and human immunodeficiency virus type 1 (HIV-1). Exhibits either a proviral (HDV, MV, VSV and HIV-1) or an antiviral effect (HCV) and this can be editing-dependent (HDV and HCV), editing-independent (VSV and MV) or both (HIV-1). Impairs HCV replication via RNA editing at multiple sites. Enhances the replication of MV, VSV and HIV-1 through an editing-independent mechanism via suppression of EIF2AK2/PKR activation and function. Stimulates both the release and infectivity of HIV-1 viral particles by an editing-dependent mechanism where it associates with viral RNAs and edits adenosines in the 5'UTR and the Rev and Tat coding sequence. Can enhance viral replication of HDV via A-to-I editing at a site designated as amber/W, thereby changing an UAG amber stop codon to an UIG tryptophan (W) codon that permits synthesis of the large delta antigen (L-HDAg) which has a key role in the assembly of viral particles. However, high levels of ADAR1 inhibit HDV replication.
See full target information ADAR

文献 (13)

Recent publications for all applications. Explore the full list and refine your search

Functional & integrative genomics 25:103 PubMed40381037

2025

3'UTR RNA editing driven by ADAR1 modulates MDM2 expression in breast cancer cells.

Applications

Unspecified application

Species

Unspecified reactive species

Elanur Almeric,Deniz Karagozoglu,Mustafa Cicek,Didem Naz Dioken,Huseyin Avni Tac,Esra Cicek,Busra Aytul Kirim,Irmak Gurcuoglu,Osman Ugur Sezerman,Nurhan Ozlu,Ayse Elif Erson-Bensan

Molecular cancer 24:116 PubMed40241135

2025

ADAR1-high tumor-associated macrophages induce drug resistance and are therapeutic targets in colorectal cancer.

Applications

Unspecified application

Species

Unspecified reactive species

Hibiki Umeda,Kunitoshi Shigeyasu,Toshiaki Takahashi,Kazuya Moriwake,Yoshitaka Kondo,Kazuhiro Yoshida,Sho Takeda,Shuya Yano,Yuki Matsumi,Hiroyuki Kishimoto,Tomokazu Fuji,Kazuya Yasui,Hideki Yamamoto,Kosei Takagi,Masashi Kayano,Hiroyuki Michiue,Keiichiro Nakamura,Yoshiko Mori,Fuminori Teraishi,Hiroshi Tazawa,Yuzo Umeda,Shunsuke Kagawa,Ajay Goel,Toshiyoshi Fujiwara

Experimental hematology & oncology 13:30 PubMed38468359

2024

Suppression of A-to-I RNA-editing enzyme ADAR1 sensitizes hepatocellular carcinoma cells to oxidative stress through regulating Keap1/Nrf2 pathway.

Applications

Unspecified application

Species

Unspecified reactive species

Houhong Wang,Xiaoyu Wei,Lu Liu,Junfeng Zhang,Heng Li

Nature communications 14:2861 PubMed37208334

2023

ADAR1-mediated RNA editing of SCD1 drives drug resistance and self-renewal in gastric cancer.

Applications

Unspecified application

Species

Unspecified reactive species

Tin-Lok Wong,Jia-Jian Loh,Shixun Lu,Helen H N Yan,Hoi Cheong Siu,Ren Xi,Dessy Chan,Max J F Kam,Lei Zhou,Man Tong,John A Copland,Leilei Chen,Jing-Ping Yun,Suet Yi Leung,Stephanie Ma

Frontiers in endocrinology 13:1058345 PubMed36518246

2022

ADAR1-dependent editing regulates human β cell transcriptome diversity during inflammation.

Applications

Unspecified application

Species

Unspecified reactive species

Florian Szymczak,Roni Cohen-Fultheim,Sofia Thomaidou,Alexandra Coomans de Brachène,Angela Castela,Maikel Colli,Piero Marchetti,Erez Levanon,Decio Eizirik,Arnaud Zaldumbide

Nature communications 13:6502 PubMed36316334

2022

Circular RNA circBNC2 inhibits epithelial cell G2-M arrest to prevent fibrotic maladaptive repair.

Applications

Unspecified application

Species

Unspecified reactive species

Peng Wang,Zhitao Huang,Yili Peng,Hongwei Li,Tong Lin,Yingyu Zhao,Zheng Hu,Zhanmei Zhou,Weijie Zhou,Youhua Liu,Fan Fan Hou

Cell reports 34:108670 PubMed33503434

2021

Inflammation-driven deaminase deregulation fuels human pre-leukemia stem cell evolution.

Applications

Unspecified application

Species

Unspecified reactive species

Qingfei Jiang,Jane Isquith,Luisa Ladel,Adam Mark,Frida Holm,Cayla Mason,Yudou He,Phoebe Mondala,Isabelle Oliver,Jessica Pham,Wenxue Ma,Eduardo Reynoso,Shawn Ali,Isabella Jamieson Morris,Raymond Diep,Chanond Nasamran,Guorong Xu,Roman Sasik,Sara Brin Rosenthal,Amanda Birmingham,Sanja Coso,Gabriel Pineda,Leslie Crews,Mary E Donohoe,J Craig Venter,Thomas Whisenant,Ruben A Mesa,Ludmil B Alexandrov,Kathleen M Fisch,Catriona Jamieson

Life sciences 268:118956 PubMed33383047

2021

Immune-related IncRNA LINC00944 responds to variations in ADAR1 levels and it is associated with breast cancer prognosis.

Applications

Unspecified application

Species

Unspecified reactive species

Pamela R de Santiago,Alejandro Blanco,Fernanda Morales,Katherine Marcelain,Olivier Harismendy,Marcela Sjöberg Herrera,Ricardo Armisén

Molecular therapy. Nucleic acids 21:932-953 PubMed32814251

2020

Adenosine-to-Inosine Editing of Vasoactive MicroRNAs Alters Their Targetome and Function in Ischemia.

Applications

Unspecified application

Species

Unspecified reactive species

Reginald V C T van der Kwast,Laura Parma,M Leontien van der Bent,Eva van Ingen,Fabiana Baganha,Hendrika A B Peters,Eveline A C Goossens,Karin H Simons,Meindert Palmen,Margreet R de Vries,Paul H A Quax,A Yaël Nossent

Cancer cell 35:81-94.e7 PubMed30612940

2019

Hyper-Editing of Cell-Cycle Regulatory and Tumor Suppressor RNA Promotes Malignant Progenitor Propagation.

Applications

Unspecified application

Species

Unspecified reactive species

Qingfei Jiang,Jane Isquith,Maria Anna Zipeto,Raymond H Diep,Jessica Pham,Nathan Delos Santos,Eduardo Reynoso,Julisia Chau,Heather Leu,Elisa Lazzari,Etienne Melese,Wenxue Ma,Rongxin Fang,Mark Minden,Sheldon Morris,Bing Ren,Gabriel Pineda,Frida Holm,Catriona Jamieson
View all publications

Abcam Product Promise

我们致力于为您的研究提供高质量的试剂,为您科研的每一步提供支持。若我们的产品未能达到预期性能,我们向您提供 Abcam Product Promise 保障。
详情请参阅我们的条款与条件。

Please note: All products are 'FOR RESEARCH USE ONLY. NOT FOR USE IN DIAGNOSTIC OR THERAPEUTIC PROCEDURES'.

For licensing inquiries, please contact partnerships@abcam.com