JavaScript is disabled in your browser. Please enable JavaScript to view this website.
AB129069

重组Anti-Aconitase 2抗体[EPR8282(B)]

Anti-Aconitase 2 antibody [EPR8282(B)]

  • RabMAb
  • Recombinant
  • KO Validated
  • 20ul selling size
  • 了解详情

5

(8 Reviews)

|

(30 Publications)

Rabbit Recombinant Monoclonal Aconitase 2 antibody. Suitable for IHC-P, WB and reacts with Human samples. Cited in 30 publications.

查看别名

Aconitase, Citrate hydro-lyase, ACO2

5 Images
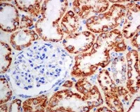
Immunohistochemistry (Formalin/PFA-fixed paraffin-embedded sections) - Anti-Aconitase 2 antibody [EPR8282(B)] (AB129069)
  • IHC-P

Unknown

Immunohistochemistry (Formalin/PFA-fixed paraffin-embedded sections) - Anti-Aconitase 2 antibody [EPR8282(B)] (AB129069)

ab129069 at 1/100 dilution staining Aconitase 2 in paraffin-embedded Human kidney tissue by Immunohistochemistry.

Perform heat mediated antigen retrieval before commencing with IHC staining protocol.

Western blot - Anti-Aconitase 2 antibody [EPR8282(B)] (AB129069)
  • WB

Unknown

Western blot - Anti-Aconitase 2 antibody [EPR8282(B)] (AB129069)

All lanes:

Western blot - Anti-Aconitase 2 antibody [EPR8282(B)] (ab129069) at 1/10000 dilution

Lane 1:

HeLa cell lysate at 10 µg

Lane 2:

K562 cell lysate at 10 µg

Lane 3:

Human fetal heart tissue lysate at 10 µg

Lane 4:

Jurkat cell lysate at 10 µg

Secondary

All lanes:

Goat anti-rabbit HRP-conjugated at 1/2000 dilution

Predicted band size: 85 kDa

false

Western blot - Anti-Aconitase 2 antibody [EPR8282(B)] (AB129069)
  • WB

Lab

Western blot - Anti-Aconitase 2 antibody [EPR8282(B)] (AB129069)

Lane 1 : Wild-type HAP1 whole cell lysate (20 μg)
Lane 2 : Aconitase 2 knockout HAP1 whole cell lysate (20 μg)
Lane 3 : HeLa whole cell lysate (20 μg)
Lane 4 : Jurkat whole cell lysate (20 μg)

Lanes 1 - 4 : Merged signal (red and green). Green - ab129069 observed at 90 kDa. Red - loading control, ab9484, observed at 37 kDa.

ab129069 was shown to specifically react with Aconitase 2 in wild-type HAP1 cells as signal was lost in Aconitase 2 knockout cells. Wild-type and Aconitase 2 knockout samples were subjected to SDS-PAGE. ab129069 and ab9484 (Mouse anti-GAPDH loading control) were incubated overnight at 4°C at 1/10000 dilution and 1/20000 dilution respectively. Blots were developed with Goat anti-Rabbit IgG H&L (IRDye® 800CW) preabsorbed ab216773 and Goat anti-Mouse IgG H&L (IRDye® 680RD) preabsorbed ab216776 secondary antibodies at 1/20000 dilution for 1 hour at room temperature before imaging.

All lanes:

Western blot - Anti-Aconitase 2 antibody [EPR8282(B)] (ab129069)

Predicted band size: 85 kDa

false

Western blot - Anti-Aconitase 2 antibody [EPR8282(B)] (AB129069)
  • WB

AbReview29546****

Western blot - Anti-Aconitase 2 antibody [EPR8282(B)] (AB129069)

Blocking : 5% Milk at 24°C for 1 Hour

All lanes:

Western blot - Anti-Aconitase 2 antibody [EPR8282(B)] (ab129069) at 1/1000 dilution

Lane 1:

1 Month old Mouse Liver

Lanes 2 - 3:

3 Month old Mouse Liver

Lane 4:

6 Month old Mouse Liver

Secondary

All lanes:

Dako Pig polylconal to anti-rabbit (HRP) at 1/3000 dilution

Predicted band size: 85 kDa

true

Exposure time: 1min

This image is courtesy of an abreview submitted by Ruma Raha-Chowdhury, University Of Cambridge, United Kingdom

OI-RD Scanning - Anti-Aconitase 2 antibody [EPR8282(B)] (AB129069)
  • OI-RD Scanning

Unknown

OI-RD Scanning - Anti-Aconitase 2 antibody [EPR8282(B)] (AB129069)

We have systematically measured KD (the equilibrium dissociation constant between the antibody and its antigen), of more than 840 recombinant antibodies to assess not only their individual KD values but also to see the average affinity of antibody. Based on the comparison with published literature values for mouse monoclonal antibodies, Recombinant antibodies appear to be on average 1-2 order of magnitude higher affinity.

不同偶联物与剂型 (8)

  • Carrier free

    Anti-Aconitase 2 antibody [EPR8282(B)] - BSA and Azide free

  • 519 Alexa Fluor® 488

    Alexa Fluor® 488 Anti-Aconitase 2 antibody [EPR8282(B)]

  • 578 PE

    PE Anti-Aconitase 2 antibody [EPR8282(B)]

  • 565 Alexa Fluor® 555

    Alexa Fluor® 555 Anti-Aconitase 2 antibody [EPR8282(B)]

  • 665 Alexa Fluor® 647

    Alexa Fluor® 647 Anti-Aconitase 2 antibody [EPR8282(B)]

  • 660 APC

    APC Anti-Aconitase 2 antibody [EPR8282(B)]

  • 617 Alexa Fluor® 594

    Alexa Fluor® 594 Anti-Aconitase 2 antibody [EPR8282(B)]

  • 775 Alexa Fluor® 750

    Alexa Fluor® 750 Anti-Aconitase 2 antibody [EPR8282(B)]

关键信息

宿主种属

Rabbit

克隆

Monoclonal

克隆号

EPR8282(B)

亚型

IgG

不含载体蛋白

No

反应种属

Human

应用

WB, IHC-P

applications

免疫原

The exact immunogen used to generate this antibody is proprietary information.

反应性数据

{ "title": "Reactivity Data", "filters": { "stats": ["", "Species", "Dilution Info", "Notes"], "tabs": { "all-applications": {"fullname" : "All Applications", "shortname": "All Applications"}, "IHCP" : {"fullname" : "Immunohistochemistry (Formalin/PFA-fixed paraffin-embedded sections)", "shortname":"IHC-P"}, "FlowCyt" : {"fullname" : "Flow Cytometry", "shortname":"Flow Cyt"}, "WB" : {"fullname" : "Western blot", "shortname":"WB"} }, "product-promise": { "all": "all", "testedAndGuaranteed": "tested", "guaranteed": "expected", "predicted": "predicted", "notRecommended": "not-recommended" } }, "values": { "Human": { "IHCP-species-checked": "testedAndGuaranteed", "IHCP-species-dilution-info": "1/100 - 1/250", "IHCP-species-notes": "<p></p>", "FlowCyt-species-checked": "notRecommended", "FlowCyt-species-dilution-info": "", "FlowCyt-species-notes": "<p></p>", "WB-species-checked": "testedAndGuaranteed", "WB-species-dilution-info": "1/10000 - 1/50000", "WB-species-notes": "<p></p>" }, "Mouse": { "IHCP-species-checked": "predicted", "IHCP-species-dilution-info": "", "IHCP-species-notes": "", "FlowCyt-species-checked": "notRecommended", "FlowCyt-species-dilution-info": "", "FlowCyt-species-notes": "", "WB-species-checked": "predicted", "WB-species-dilution-info": "", "WB-species-notes": "" }, "Rat": { "IHCP-species-checked": "predicted", "IHCP-species-dilution-info": "", "IHCP-species-notes": "", "FlowCyt-species-checked": "notRecommended", "FlowCyt-species-dilution-info": "", "FlowCyt-species-notes": "", "WB-species-checked": "predicted", "WB-species-dilution-info": "", "WB-species-notes": "" } } }

产品详情

Patented technology
Our RabMAb® technology is a patented hybridoma-based technology for making rabbit monoclonal antibodies. For details on our patents, please refer to RabMAb® patents.

What are the advantages of a recombinant monoclonal antibody?
This product is a recombinant monoclonal antibody, which offers several advantages including:

  • - High batch-to-batch consistency and reproducibility
  • - Improved sensitivity and specificity
  • - Long-term security of supply
  • - Animal-free batch production

For more information, read more on recombinant antibodies.

性能和储存信息

形式
Liquid
纯化工艺
Affinity purification Protein A
存储溶液
pH: 7.2 - 7.4 Preservative: 0.01% Sodium azide Constituents: PBS, 50% Tissue culture supernatant, 40% Glycerol (glycerin, glycerine), 0.05% BSA
运输条件
Blue Ice
推荐的短期储存条件
+4°C
推荐的长期储存条件
-20°C
储存信息
Stable for 12 months at -20°C

补充信息

This supplementary information is collated from multiple sources and compiled automatically.

Aconitase 2 also known as ACO2 is an enzyme involved in the citric acid cycle which plays an important role in energy production within the cell. This enzyme converts citrate to isocitrate via a cis-aconitate intermediate an essential step in the cycle that generates ATP. Aconitase 2 has a molecular mass of approximately 83 kDa and is primarily expressed in the mitochondria of eukaryotic cells where it functions optimally due to the organelle's environment.
Biological function summary

Aconitase 2 supports cellular energy metabolism by facilitating the conversion of citrate derivatives. It is an iron-sulfur protein integral to both the cytosolic aconitase and mitochondrial varieties that functions as part of the mitochondrial aconitase complex. The enzyme's iron-sulfur cluster gets oxidized under different conditions causing the enzyme to act as a regulatory factor in response to iron levels further linking it with cellular iron metabolism.

Pathways

Aconitase 2 plays a significant role in the tricarboxylic acid (TCA) cycle commonly known as the Krebs cycle and the iron regulatory pathway. In the TCA cycle aconitase 2 acts after citrate synthase and before isocitrate dehydrogenase establishing its role in the middle of the cycle. It is functionally related to iron regulatory proteins particularly IRP1 which can interchangeably bind to iron-responsive elements or possess aconitase activity in its Fe-containing form.

Disruptions in aconitase 2 activity are linked to conditions like Friedreich's ataxia and cancer. Friedreich's ataxia involves mitochondrial dysfunction wherein the decreased activity of aconitase 2 leads to impaired energy metabolism contributing to neurodegeneration. In cancers altered aconitase 2 function can impact cellular proliferation by modifying energy metabolism pathways. Aconitase 2 also interacts with the protein frataxin in the context of these conditions underlining its involvement in disease mechanisms related to mitochondrial dysfunction and iron metabolism.

产品实验方案

For this product, it's our understanding that no specific protocols are required. You can visit:

靶点信息

Catalyzes the isomerization of citrate to isocitrate via cis-aconitate.
See full target information ACO2

文献 (30)

Recent publications for all applications. Explore the full list and refine your search

Frontiers in cellular neuroscience 18:1492048 PubMed39600307

2024

Transcriptome analyses reveal molecular mechanisms of novel compound heterozygous variants causing infantile cerebellar retinal degeneration.

Applications

Unspecified application

Species

Unspecified reactive species

Wenke Yang,Shuyue Wang,Ke Yang,Yanjun Li,Zhenglong Guo,Jianmei Huang,Jinming Wang,Shixiu Liao

Cellular & molecular biology letters 29:113 PubMed39198750

2024

Triptolide-induced cuproptosis is a novel antitumor strategy for the treatment of cervical cancer.

Applications

Unspecified application

Species

Unspecified reactive species

Yanxia Xiao,Jiameng Yin,Pu Liu,Xin Zhang,Yajun Lin,Jun Guo

Archives of toxicology 98:3859-3874 PubMed39192017

2024

Effects of novel flame retardants tris(1,3-dichloro-2-propyl) phosphate (TDCIPP) and triphenyl phosphate (TPhP) on function and homeostasis in human and rat pancreatic beta-cell lines.

Applications

Unspecified application

Species

Unspecified reactive species

Nela Pavlíková,Jan Šrámek,Vlasta Němcová,Lola Bajard

Clinical cancer research : an official journal of the American Association for Cancer Research 30:3059-3072 PubMed38723277

2024

Biomarker Identification and Risk Prediction Model Development for Differentiated Thyroid Carcinoma Lung Metastasis Based on Primary Lesion Proteomics.

Applications

Unspecified application

Species

Unspecified reactive species

Xiaoqi Peng,Hongbo Zhao,Lijuan Ye,Fei Hou,Zihan Yi,Yanxin Ren,Lin Lu,Fukun Chen,Juan Lv,Yinghui Wang,Haolin Cai,Xihua Zheng,Qing Yang,Ting Chen

Neurobiology of disease 196:106506 PubMed38648865

2024

Dopamine‑iron homeostasis interaction rescues mitochondrial fitness in Parkinson's disease.

Applications

Unspecified application

Species

Unspecified reactive species

Chiara Buoso,Markus Seifert,Martin Lang,Corey M Griffith,Begoña Talavera Andújar,Maria Paulina Castelo Rueda,Christine Fischer,Carolina Doerrier,Heribert Talasz,Alessandra Zanon,Peter P Pramstaller,Emma L Schymanski,Irene Pichler,Guenter Weiss

Cell reports. Medicine 4:101264 PubMed37939712

2023

Targeting the TCA cycle through cuproptosis confers synthetic lethality on ARID1A-deficient hepatocellular carcinoma.

Applications

Unspecified application

Species

Unspecified reactive species

Tao Xing,Li Li,Yiran Chen,Gaoda Ju,Guilan Li,Xiaoyun Zhu,Yubo Ren,Jing Zhao,Zhilei Cheng,Yan Li,Da Xu,Jun Liang

iScience 26:108218 PubMed37953954

2023

Targeting cuproptosis by zinc pyrithione in triple-negative breast cancer.

Applications

Unspecified application

Species

Unspecified reactive species

Xu Yang,Li Deng,Xianhong Diao,Siyuan Yang,Li Zou,Qin Yang,Jian Li,Jianyun Nie,Lina Zhao,Baowei Jiao

The Journal of biological chemistry 299:105046 PubMed37453661

2023

FDX1 regulates cellular protein lipoylation through direct binding to LIAS.

Applications

Unspecified application

Species

Unspecified reactive species

Margaret B Dreishpoon,Nolan R Bick,Boryana Petrova,Douglas M Warui,Alison Cameron,Squire J Booker,Naama Kanarek,Todd R Golub,Peter Tsvetkov

Nature communications 14:3716 PubMed37349299

2023

Mitochondrial aconitase suppresses immunity by modulating oxaloacetate and the mitochondrial unfolded protein response.

Applications

Unspecified application

Species

Unspecified reactive species

Eunah Kim,Andrea Annibal,Yujin Lee,Hae-Eun H Park,Seokjin Ham,Dae-Eun Jeong,Younghun Kim,Sangsoon Park,Sujeong Kwon,Yoonji Jung,JiSoo Park,Sieun S Kim,Adam Antebi,Seung-Jae V Lee

Frontiers in oncology 12:1055376 PubMed36531056

2022

Pan-Cancer analysis shows that ACO2 is a potential prognostic and immunotherapeutic biomarker for multiple cancer types including hepatocellular carcinoma.

Applications

Unspecified application

Species

Unspecified reactive species

Zhen Wang,Wanqun Zheng,Zhen Chen,Shilun Wu,Haoxiao Chang,Ming Cai,Heping Cai
View all publications

Abcam Product Promise

我们致力于为您的研究提供高质量的试剂,为您科研的每一步提供支持。若我们的产品未能达到预期性能,我们向您提供 Abcam Product Promise 保障。
详情请参阅我们的条款与条件。

Please note: All products are 'FOR RESEARCH USE ONLY. NOT FOR USE IN DIAGNOSTIC OR THERAPEUTIC PROCEDURES'.

For licensing inquiries, please contact partnerships@abcam.com