JavaScript is disabled in your browser. Please enable JavaScript to view this website.
AB213204

Anti-6X His tag® 抗体 [EPR20547] - ChIP Grade

Anti-6X His tag® antibody [EPR20547] - ChIP Grade

1

(1 Review)

|

(35 Publications)

Anti-6X His tag® antibody [EPR20547] - ChIP Grade (ab213204) is a rabbit monoclonal antibody detecting 6X His tag® in Western Blot, Flow Cytometry, IP, IHC-P, ICC/IF, ChIP.

- Biophysical QC for unrivalled batch-batch consistency
- Over 10 publications

查看别名

6 His epitope tag, HHHHHH epitope tag, HHHHHH tag, Hexa His tag, Polyhistidine Tag, 6x his, 6x-HIS

40 Images
Immunocytochemistry/ Immunofluorescence - Anti-6X His tag® antibody [EPR20547] - ChIP Grade (AB213204)
  • ICC/IF

Supplier Data

Immunocytochemistry/ Immunofluorescence - Anti-6X His tag® antibody [EPR20547] - ChIP Grade (AB213204)

Immunofluorescent analysis of 4% paraformaldehyde-fixed, 0.1% Triton X-100 permeabilized HEK-293T (human epithelial cell line from embryonic kidney transformed with large T antigen) cells transfected with GFP-Myc-His vector expression construct labeling 6X His tag® with ab213204 at 1/100 dilution, followed by Goat Anti-Rabbit IgG H&L (Alexa Fluor® 488) (ab150077) secondary antibody at 1/1000 dilution (white). Confocal image showing positive staining on HEK-293T cells transfected with GFP-Myc-His vector expression construct.

The nuclear counter stain is DAPI (blue). Tubulin is detected with Anti-alpha Tubulin antibody [DM1A] - Microtubule Marker (Alexa Fluor® 594) (ab195889) (red) at 1/200 dilution.

Secondary antibody only control : Used PBS instead of primary antibody, secondary antibody is Goat Anti-Rabbit IgG H&L (Alexa Fluor® 488) (ab150077) secondary antibody at 1/1000 dilution.

Flow Cytometry - Anti-6X His tag® antibody [EPR20547] - ChIP Grade (AB213204)
  • Flow Cyt

Supplier Data

Flow Cytometry - Anti-6X His tag® antibody [EPR20547] - ChIP Grade (AB213204)

Flow cytometric analysis of 4% paraformaldehyde-fixed, 90% methanol permeabilized HEK-293T (human epithelial cell line from embryonic kidney transformed with large T antigen) transfected with GFP-Myc-His vector labeling 6X His tag® with ab213204 (right panel) at 1/5000 dilution compared with a Rabbit IgG, monoclonal [EPR25A] - Isotype Control (ab172730) (left panel). Goat Anti-Rabbit IgG H&L (Alexa Fluor® 647) (ab150079) at 1/2000 dilution was used as the secondary antibody.

Gate is set between transfected and untransfected HEK-293T cells.

Immunohistochemistry (Formalin/PFA-fixed paraffin-embedded sections) - Anti-6X His tag® antibody [EPR20547] - ChIP Grade (AB213204)
  • IHC-P

Supplier Data

Immunohistochemistry (Formalin/PFA-fixed paraffin-embedded sections) - Anti-6X His tag® antibody [EPR20547] - ChIP Grade (AB213204)

Immunohistochemical analysis of agarose-embedded HEK-293T (human epithelial cell line from embryonic kidney transformed with large T antigen) transfected with a His-tagged Staphylococcus aureus cas9 (J7RUA5; aa1-1053; 125kDa) construct labeling 6X His tag® with ab213204 at 1/16000 dilution, followed by Goat Anti-Rabbit IgG H&L (HRP) Ready to use.

Left image : Positive staining on HEK-293T transfected with a His-tagged Staphylococcus aureus cas9 (J7RUA5; aa1-1053; 125kDa) construct. Right image : No staining on HEK-293T transfected with an empty expression vector.

Counter stained with Hematoxylin.

Secondary antibody only control : Used PBS instead of primary antibody, secondary antibody is Goat Anti-Rabbit IgG H&L (HRP) Ready to use.

Heat mediated antigen retrieval was performed using Tris/EDTA buffer pH 9.0 before commencing with IHC staining protocol.

Immunohistochemistry (Formalin/PFA-fixed paraffin-embedded sections) - Anti-6X His tag® antibody [EPR20547] - ChIP Grade (AB213204)
  • IHC-P

Supplier Data

Immunohistochemistry (Formalin/PFA-fixed paraffin-embedded sections) - Anti-6X His tag® antibody [EPR20547] - ChIP Grade (AB213204)

Immunohistochemical analysis of paraffin-embedded human liver tissue labeling 6X His tag® with ab213204 at 1/16000 dilution, followed by Goat Anti-Rabbit IgG H&L (HRP) Ready to use. Heat mediated antigen retrieval was performed using Tris/EDTA buffer pH 9.0 before commencing with IHC staining protocol.

Negative control : No staining on human liver.

Counter stained with Hematoxylin.

ChIP - Anti-6X His tag® antibody [EPR20547] - ChIP Grade (AB213204)
  • ChIP

Supplier Data

ChIP - Anti-6X His tag® antibody [EPR20547] - ChIP Grade (AB213204)

Chromatin was prepared from MCF7 (human breast adenocarcinoma cell line) cells transfected with 6X His-tagged GATA3 according to the Abcam X-ChIP protocol. Cells were fixed with formaldehyde for 10 minutes. The ChIP was performed with 25μg of chromatin, 2μg of ab213204 (blue), and 20μl of A/G sepharose beads slurry (10μl of sepharose A beads + 10μl of sepharose G beads). 2μg of rabbit normal IgG was added to the beads control (yellow). The immunoprecipitated DNA was quantified by real time PCR (Sybr green approach).

ChIP was performed according to the literature (PMID : 22951069).

Immunoprecipitation - Anti-6X His tag® antibody [EPR20547] - ChIP Grade (AB213204)
  • IP

Supplier Data

Immunoprecipitation - Anti-6X His tag® antibody [EPR20547] - ChIP Grade (AB213204)

His-tagged Staphylococcus aureus cas9 was immunoprecipitated from 0.35 mg of HEK-293T (human epithelial cell line from embryonic kidney transformed with large T antigen) transfected with a His-tagged Staphylococcus aureus cas9 (J7RUA5; aa1-1053; 125 kDa) construct, whole cell lysate with ab213204 at 1/30 dilution. Western blot was performed from the immunoprecipitate using ab213204 at 1/1000 dilution. VeriBlot for IP Detection Reagent (HRP) (ab131366), was used for detection at 1/10,000 dilution

Lane 1 : HEK-293T transfected with His-tagged Staphylococcus aureus cas9 construct, whole cell lysate 10 μg (Input).

Lane 2 : ab213204 IP in HEK-293T transfected with His-tagged Staphylococcus aureus cas9 construct, whole cell lysate.

Lane 3 : Rabbit monoclonal IgG (ab172730) instead of ab213204 in HEK-293T transfected with His-tagged Staphylococcus aureus cas9 construct, whole cell lysate.

Blocking/Dilution buffer : 5% NFDM/TBST.

Exposure time : 1 second.

All lanes:

Immunoprecipitation - Anti-6X His tag® antibody [EPR20547] - ChIP Grade (ab213204)

Observed band size: 125 kDa

false

Immunohistochemistry (Formalin/PFA-fixed paraffin-embedded sections) - Anti-6X His tag® antibody [EPR20547] - ChIP Grade (AB213204)
  • IHC-P

Supplier Data

Immunohistochemistry (Formalin/PFA-fixed paraffin-embedded sections) - Anti-6X His tag® antibody [EPR20547] - ChIP Grade (AB213204)

Immunohistochemical analysis of paraffin-embedded rat stomach tissue labeling 6X His tag® with ab213204 at 1/16000 dilution, followed by Goat Anti-Rabbit IgG H&L (HRP) Ready to use. Heat mediated antigen retrieval was performed using Tris/EDTA buffer pH 9.0 before commencing with IHC staining protocol.

Negative control : No staining on rat stomach.

Counter stained with Hematoxylin.

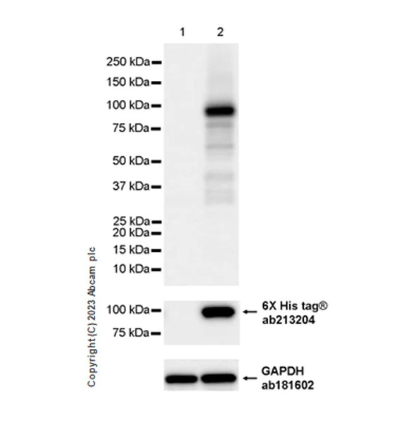
Western blot - Anti-6X His tag® antibody [EPR20547] - ChIP Grade (AB213204)
  • WB

Supplier Data

Western blot - Anti-6X His tag® antibody [EPR20547] - ChIP Grade (AB213204)

Blocking and diluting buffer and concentration : 5% NFDM/TBST In Western blot, Anti-GAPDH antibody [EPR16891] - Loading Control (ab181602) staining at 1/200000 dilution. In Western blot, Anti-6X His tag® antibody [EPR20547] - ChIP Grade (ab213204) staining at 1/5000 dilution Exposure time : 8 seconds

All lanes:

Western blot - Anti-Influenza A virus PB1 antibody [EPR28248-26] (<a href='/products/primary-antibodies/influenza-a-virus-pb1-antibody-epr28248-26-ab313887'>ab313887</a>) at 1/1000 dilution

Lane 1:

293T (human embryonic kidney epithelial cell) cells transfected with an empty vector containing a myc-His-tag® whole cell lysate at 7 µg

Lane 2:

293T cells transfected with an Influenza A virus PB1 expression vector containing a myc-His-tag® whole cell lysate at 7 µg

Secondary

All lanes:

Western blot - Goat Anti-Rabbit IgG H&L (HRP) (<a href='/products/secondary-antibodies/goat-rabbit-igg-h-l-hrp-ab97051'>ab97051</a>) at 1/100000 dilution

Observed band size: 87 kDa

false

Exposure time: 8s

Western blot - Anti-6X His tag® antibody [EPR20547] - ChIP Grade (AB213204)
  • WB

Supplier Data

Western blot - Anti-6X His tag® antibody [EPR20547] - ChIP Grade (AB213204)

This antibody does not cross-react with human STAG2.

In Western blot, Anti-6X His tag® antibody [EPR20547] - ChIP Grade (ab213204) staining at 1/5000 dilution.

All lanes:

Western blot - Anti-SA1 antibody [EPR26227-76] (<a href='/products/primary-antibodies/sa1-antibody-epr26227-76-ab317301'>ab317301</a>) at 1/1000 dilution

Lane 1:

His-tagged Human STAG1 protein with NFDM/TBST

Lane 2:

His-tagged Human STAG2 protein with NFDM/TBST

Secondary

All lanes:

Western blot - Goat Anti-Rabbit IgG H&L (HRP) (<a href='/products/secondary-antibodies/goat-rabbit-igg-h-l-hrp-ab97051'>ab97051</a>) at 1/100000 dilution

Observed band size: 19 kDa,38 kDa

false

Exposure time: 180s

Western blot - Anti-6X His tag® antibody [EPR20547] - ChIP Grade (AB213204)
  • WB

Supplier Data

Western blot - Anti-6X His tag® antibody [EPR20547] - ChIP Grade (AB213204)

All lanes:

Western blot - Anti-Histone H2B (mutated E76Q) antibody [EPR27299-85] (<a href='/products/primary-antibodies/histone-h2b-mutated-e76q-antibody-epr27299-85-ab309100'>ab309100</a>) at 1/1000 dilution

Lane 1:

293T cells transfected with an empty vector containi a His-tag whole cell lysate at 20 µg

Lane 2:

293T cells transfected with a human H2BC4 E76Q expression vector containi a His-tag whole cell lysate at 20 µg

Lane 3:

293T cells transfected with a human H2BC4 (WT) expression vector containi a His-tag whole cell lysate at 20 µg

Secondary

All lanes:

Western blot - Goat Anti-Rabbit IgG H&L (HRP) (<a href='/products/secondary-antibodies/goat-rabbit-igg-h-l-hrp-ab97051'>ab97051</a>) at 1/100000 dilution

Observed band size: 20 kDa

false

Exposure time: 26s

Western blot - Anti-6X His tag® antibody [EPR20547] - ChIP Grade (AB213204)
  • WB

Supplier Data

Western blot - Anti-6X His tag® antibody [EPR20547] - ChIP Grade (AB213204)

Blocking and diluting buffer and concentration : 5% NFDM/TBST In Western blot, Anti-GAPDH antibody [EPR16891] - Loading Control (ab181602) staining at 1/200000 dilution. In Western blot, Anti-TDP43 antibody [EPR18554-55] (ab190963) staining at 1/1000 dilution. In Western blot, Anti-6X His tag® antibody [EPR20547] - ChIP Grade (ab213204) staining at 1/5000 dilution.

All lanes:

Western blot - Anti-TDP43 (phospho S410) antibody [EPR24512-8] (<a href='/products/primary-antibodies/tdp43-phospho-s410-antibody-epr24512-8-ab314301'>ab314301</a>) at 1/1000 dilution

Lane 1:

293T (human embryonic kidney epithelial cell) cells transfected with an empty vector containing a His-tag, whole cell lysate (untreated membrane) at 20 µg

Lane 2:

293T cells transfected with a human TDP43 expression vector containing a His-tag, whole cell lysate (untreated membrane) at 20 µg

Lane 3:

293T cells transfected with a human TDP43 expression vector containing a His-tag were treated with 1 uM Okadaic Acid for 60 minutes, whole cell lysate (untreated membrane) at 20 µg

Lane 4:

293T cells transfected with a human TDP43 expression vector containing a His-tag were treated with 1 uM Okadaic Acid for 60 minutes, whole cell lysate (Alkaline phosphatase treated membrane) at 20 µg

Secondary

All lanes:

Western blot - Goat Anti-Rabbit IgG H&L (HRP) (<a href='/products/secondary-antibodies/goat-rabbit-igg-h-l-hrp-ab97051'>ab97051</a>) at 1/100000 dilution

Observed band size: 50 kDa

false

Exposure time: 15s

Western blot - Anti-6X His tag® antibody [EPR20547] - ChIP Grade (AB213204)
  • WB

Supplier Data

Western blot - Anti-6X His tag® antibody [EPR20547] - ChIP Grade (AB213204)

Amongst human GGT homologous proteins, this antibody reacts with GGT1 and GGT3 but not GGT2.

In Western blot, Anti-GAPDH antibody [EPR16891] - Loading Control (ab181602) staining at 1/200000 dilution.

In Western blot, Anti-6X His tag® antibody [EPR20547] - ChIP Grade (ab213204) staining at 1/5000 dilution.

All lanes:

Western blot - Anti-GGT1/GGT + GGT3 antibody [EPR28715-82] (<a href='/products/primary-antibodies/ggt1-ggt-ggt3-antibody-epr28715-82-ab316768'>ab316768</a>) at 1/1000 dilution

Lane 1:

293T (human embryonic kidney epithelial cell) cells transfected with an empty vector containing a myc-His-tag®, whole cell lysate 7 at 7 µg with 5% NFDM/TBST

Lane 2:

293T cells transfected with a human GGT1 expression vector containing a myc-His-tag®, whole cell lysate at 7 µg with 5% NFDM/TBST

Lane 3:

293T cells transfected with a human GGT2 expression vector containing a myc-His-tag®, whole cell lysate at 7 µg with 5% NFDM/TBST

Lane 4:

293T cells transfected with a human GGT3 expression vector containing a myc-His-tag®, whole cell lysate at 7 µg with 5% NFDM/TBST

Secondary

All lanes:

Western blot - Goat Anti-Rabbit IgG H&L (HRP) (<a href='/products/secondary-antibodies/goat-rabbit-igg-h-l-hrp-ab97051'>ab97051</a>) at 1/100000 dilution

Observed band size: 60-75 kDa,36 kDa,60 kDa,75 kDa

false

Exposure time: 37s

Western blot - Anti-6X His tag® antibody [EPR20547] - ChIP Grade (AB213204)
  • WB

Supplier Data

Western blot - Anti-6X His tag® antibody [EPR20547] - ChIP Grade (AB213204)

Blocking and diluting buffer and concentration : 5% NFDM/TBST. This blot was developed using a high sensitivity ECL substrate. In Western blot, Anti-ATG16L1 antibody [EPR15638] - N-terminal (ab187671) staining at 1/1000 dilution. Anti-GAPDH antibody (ab181602) loading control staining at 1/200000 dilution.Anti-His antibody (ab213204) staining at 1/5000 dilution. Exposure time : 3 minutes.

All lanes:

Western blot - Anti-ATG16L1 (phospho S278) antibody [EPR19016] - Rat IgG1 (Chimeric) (<a href='/products/primary-antibodies/atg16l1-phospho-s278-antibody-epr19016-rat-igg1-chimeric-ab309495'>ab309495</a>) at 1/1000 dilution

Lane 1:

293T (human embryonic kidney epithelial cell) transfected with an empty vector (vector control) containing a myc-His-tag whole cell lysate (untreated membrane) at 20 µg

Lane 2:

293T cells transfected with a human ATG16L1 expression vector containing a myc-His-tag whole cell lysate (untreated membrane) at 20 µg

Lane 3:

293T cells transfected with a human ATG16L1 (mutation S278A) expression vector containing a myc-His-tag whole cell lysate (untreated membrane) at 20 µg

Lane 4:

293T (human embryonic kidney epithelial cell) transfected with an empty vector (vector control) containing a myc-His-tag whole cell lysate (Alkaline phosphatase treated membrane) at 20 µg

Lane 5:

293T cells transfected with a human ATG16L1 expression vector containing a myc-His-tag whole cell lysate (Alkaline phosphatase treated membrane) at 20 µg

Lane 6:

293T cells transfected with a human ATG16L1 (mutation S278A) expression vector containing a myc-His-tag whole cell lysate (Alkaline phosphatase treated membrane) at 20 µg

Secondary

All lanes:

Western blot - Goat Anti-Rat IgG H&L (HRP) (<a href='/products/secondary-antibodies/goat-rat-igg-h-l-hrp-ab205720'>ab205720</a>) at 1/5000 dilution

Observed band size: 68 kDa

false

Western blot - Anti-6X His tag® antibody [EPR20547] - ChIP Grade (AB213204)
  • WB

Supplier Data

Western blot - Anti-6X His tag® antibody [EPR20547] - ChIP Grade (AB213204)

All lanes:

Western blot - Anti-LTBR antibody [EPR26097-53] (<a href='/products/primary-antibodies/ltbr-antibody-epr26097-53-ab309133'>ab309133</a>) at 1/1000 dilution

Lane 1:

293T cells transfected with an empty vector containi a His-tag whole cell lysate

Lane 2:

293T cells transfected with a human LTBR expression vector containi a His-tag whole cell lysate at 20 µg

Secondary

All lanes:

Western blot - Goat Anti-Rabbit IgG H&L (HRP) (<a href='/products/secondary-antibodies/goat-rabbit-igg-h-l-hrp-ab97051'>ab97051</a>) at 1/100000 dilution

Observed band size: 75 kDa

false

Exposure time: 10s

Western blot - Anti-6X His tag® antibody [EPR20547] - ChIP Grade (AB213204)
  • WB

Supplier Data

Western blot - Anti-6X His tag® antibody [EPR20547] - ChIP Grade (AB213204)

Blocking and diluting buffer and concentration : 5% NFDM/TBST This antibody does not cross-react with human LYOX. In Western blot, anti-His antibody (ab213204) staining at 1/5000 dilution. Exposure time : 15 seconds

All lanes:

Western blot - Anti-LOXL1 antibody [EPR28297-2] (<a href='/products/primary-antibodies/loxl1-antibody-epr28297-2-ab313585'>ab313585</a>) at 1/1000 dilution

Lane 1:

His-tagged human LOXL1 recombinant protein at 20 ng

Lane 2:

293T cells transfected with a human LYOX vector containi a myc-His-tag® whole cell lysate at 800 ng

Secondary

All lanes:

Western blot - Goat Anti-Rabbit IgG H&L (HRP) (<a href='/products/secondary-antibodies/goat-rabbit-igg-h-l-hrp-ab97051'>ab97051</a>) at 1/100000 dilution

Observed band size: 63 kDa

false

Exposure time: 15s

Western blot - Anti-6X His tag® antibody [EPR20547] - ChIP Grade (AB213204)
  • WB

Supplier Data

Western blot - Anti-6X His tag® antibody [EPR20547] - ChIP Grade (AB213204)

All lanes:

Western blot - Anti-NFATC4 antibody [EPR24998-73] (<a href='/products/primary-antibodies/nfatc4-antibody-epr24998-73-ab307815'>ab307815</a>) at 1/1000 dilution

Lane 1:

Human NFATC4 fragment at 10 ng

Lane 2:

His-tagged human NFATC3 fragment at 10 ng

Lane 3:

His-tagged human NFATC1 fragment at 10 ng

Lane 4:

His-tagged human NFATC2 fragment at 10 ng

Secondary

All lanes:

Western blot - Goat Anti-Rabbit IgG H&L (HRP) (<a href='/products/secondary-antibodies/goat-rabbit-igg-h-l-hrp-ab97051'>ab97051</a>) at 1/100000 dilution

Observed band size: 30 kDa

false

Exposure time: 7.75s

Western blot - Anti-6X His tag® antibody [EPR20547] - ChIP Grade (AB213204)
  • WB

Supplier Data

Western blot - Anti-6X His tag® antibody [EPR20547] - ChIP Grade (AB213204)

Blocking and diluting buffer and concentration : 5% NFDM/TBST. In Western blot, anti-His antibody (ab213204) staining at 1/5000 dilution. Exposure time : 8 seconds.

All lanes:

Western blot - Anti-Tau (MBD region) antibody [EPR25205-233] (<a href='/products/primary-antibodies/tau-mbd-region-antibody-epr25205-233-ab308439'>ab308439</a>) at 1/1000 dilution

Lane 1:

HEK-293 transfected with Tau 0N3R (WT) expression vector containing a myc-His-tag®, whole cell lysate at 20 µg

Lane 2:

HEK-293 transfected with Tau 1N3R (WT) expression vector containing a myc-His-tag®, whole cell lysate at 20 µg

Lane 3:

HEK-293 transfected with Tau 2N3R (WT) expression vector containing a myc-His-tag®, whole cell lysate at 20 µg

Lane 4:

HEK-293 transfected with Tau 0N4R (WT) expression vector containing a myc-His-tag®, whole cell lysate at 20 µg

Lane 5:

HEK-293 transfected with Tau 1N4R (WT) expression vector containing a myc-His-tag®, whole cell lysate at 20 µg

Lane 6:

HEK-293 transfected with Tau 2N4R (WT) expression vector containing a myc-His-tag®, whole cell lysate at 20 µg

Secondary

All lanes:

Western blot - Goat Anti-Rabbit IgG H&L (HRP) (<a href='/products/secondary-antibodies/goat-rabbit-igg-h-l-hrp-ab97051'>ab97051</a>) at 1/100000 dilution

Predicted band size: 78 kDa

Observed band size: 10-70 kDa

false

Exposure time: 8s

Western blot - Anti-6X His tag® antibody [EPR20547] - ChIP Grade (AB213204)
  • WB

Supplier Data

Western blot - Anti-6X His tag® antibody [EPR20547] - ChIP Grade (AB213204)

Blocking and diluting buffer and concentration : 5% NFDM/TBST.

This antibody does not cross-react with human P2RX3 or P2RX5.

In Western blot, Anti-6X His tag® antibody [EPR20547] - ChIP Grade (ab213204) staining at 1/5000 dilution.

All lanes:

Western blot - Anti-P2X4 antibody [EPR29153-16] (<a href='/products/primary-antibodies/p2x4-antibody-epr29153-16-ab324165'>ab324165</a>) at 1/1000 dilution

Lane 1:

P2RX4 knockout HEK-293 transfected with a human P2RX4 expression vector containing a His-tag

Lane 2:

P2RX4 knockout HEK-293 transfected with a human P2RX3 expression vector containing a His-tag

Lane 3:

P2RX4 knockout HEK-293 transfected with a human P2RX5 expression vector containing a His-tag

Secondary

All lanes:

Western blot - Goat Anti-Rabbit IgG H&L (HRP) (<a href='/products/secondary-antibodies/goat-rabbit-igg-h-l-hrp-ab97051'>ab97051</a>) at 1/100000 dilution

Observed band size: 55 kDa

false

Exposure time: 8s

Western blot - Anti-6X His tag® antibody [EPR20547] - ChIP Grade (AB213204)
  • WB

Supplier Data

Western blot - Anti-6X His tag® antibody [EPR20547] - ChIP Grade (AB213204)

All lanes:

Western blot - Anti-ALDH1A3 antibody [EPR27504-83] (<a href='/products/primary-antibodies/aldh1a3-antibody-epr27504-83-ab308526'>ab308526</a>) at 1/1000 dilution

Lane 1:

His-tagged human ALDH1A3 recombinant protein at 10 ng

Lane 2:

HEK-293 transfected with a human ALDH1A1 (WT) expression vector containi a myc-His-tag®, whole cell lysate

Lane 3:

HEK-293 transfected with a human ALDH1A2 (WT) expression vector containi a myc-His-tag®, whole cell lysate

Secondary

All lanes:

Western blot - Goat Anti-Rabbit IgG H&L (HRP) (<a href='/products/secondary-antibodies/goat-rabbit-igg-h-l-hrp-ab97051'>ab97051</a>) at 1/20000 dilution

Observed band size: 50 kDa

false

Exposure time: 10s

Western blot - Anti-6X His tag® antibody [EPR20547] - ChIP Grade (AB213204)
  • WB

Supplier Data

Western blot - Anti-6X His tag® antibody [EPR20547] - ChIP Grade (AB213204)

This antibody can recognize human SHANK1, SHANK2 and SHANK3. .

In Western blot, Anti-6X His tag® antibody [EPR20547] - ChIP Grade (ab213204) staining at 1/5000 dilution.

All lanes:

Western blot - Anti-SHANK1 + SHANK2 + SHANK3 antibody [EPR26549-87] (<a href='/products/primary-antibodies/shank1-shank2-shank3-antibody-epr26549-87-ab317608'>ab317608</a>) at 1/1000 dilution

Lane 1:

His-tagged human SHANK2 recombinant fragment at 10 ng with NFDM/TBST

Lane 2:

His-tagged human SHANK1 recombinant fragment at 10 ng with NFDM/TBST

Lane 3:

His-tagged human SHANK3 recombinant fragment at 10 ng with NFDM/TBST

Secondary

All lanes:

Western blot - Goat Anti-Rabbit IgG H&L (HRP) (<a href='/products/secondary-antibodies/goat-rabbit-igg-h-l-hrp-ab97051'>ab97051</a>) at 1/100000 dilution

Observed band size: 26 kDa

false

Exposure time: 125s

Western blot - Anti-6X His tag® antibody [EPR20547] - ChIP Grade (AB213204)
  • WB

Supplier Data

Western blot - Anti-6X His tag® antibody [EPR20547] - ChIP Grade (AB213204)

Blocking and diluting buffer and concentration : 5% NFDM/TBST This antibody recognizes human PDGFR (D842V) but not human wild-type PDGFRA. In western blot, anti-GAPDH antibody [EPR16891] - Loading Control (ab181602) staining at 1/200000 dilution and anti-PDGFRA antibody (ab203491) staining at 1/1000 dilution. A-172 cells are negative for wild-type PDGFRA (PMID : 8425771).

All lanes:

Western blot - Anti-PDGFR alpha (mutated D842V) antibody [EPR26304-280] (<a href='/products/primary-antibodies/pdgfr-alpha-mutated-d842v-antibody-epr26304-280-ab313771'>ab313771</a>) at 1/1000 dilution

Lane 1:

293T cells transfected with an empty vector containing a His-tag, whole cell lysate at 20 µg

Lane 2:

293T cells transfected with a human wild-type PDGFRA expression vector containing a His-tag, whole cell lysate at 2 µg

Lane 3:

293T cells transfected with a human PDGFRA (D842V) expression vector containing a His-tag, whole cell lysate at 2 µg

Lane 4:

293T cells transfected with a human PDGFRA (D842V) expression vector containing a His-tag, whole cell lysate at 0.4 µg

Lane 5:

MG-63 (human osteosarcoma fibroblast) whole cell lysate at 20 µg

Lane 6:

A-204 (human muscle rhabdomyosarcoma cell) whole cell lysate at 20 µg

Lane 7:

A-172 (human brain glioblastoma ) whole cell lysate at 20 µg

Secondary

All lanes:

Western blot - Goat Anti-Rabbit IgG H&L (HRP) (<a href='/products/secondary-antibodies/goat-rabbit-igg-h-l-hrp-ab97051'>ab97051</a>) at 1/100000 dilution

Observed band size: 160 kDa

false

Exposure time: 180s

Western blot - Anti-6X His tag® antibody [EPR20547] - ChIP Grade (AB213204)
  • WB

Supplier Data

Western blot - Anti-6X His tag® antibody [EPR20547] - ChIP Grade (AB213204)

Blocking and diluting buffer and concentration : 5% NFDM/TBST This antibody does not cross-react with human SCN2A, SCN7A, SCN8A, SCN9A, SCN10A, SCN11A, SCN1A, SCN4A, SCN5A. In Western blot, anti-His antibody (ab213204) staining at 1/5000 dilution. Exposure time : 3 seconds

All lanes:

Western blot - Anti-SCN3A antibody [EPR25135-66] (<a href='/products/primary-antibodies/scn3a-antibody-epr25135-66-ab309473'>ab309473</a>) at 1/1000 dilution

Lane 1:

293T cells transfected with an empty vector containing a his tag whole cell lysate at 20 µg

Lanes 2, 9 and 10:

293T cells transfected with a Human SCN3A expression vector containing a His-tag whole cell lysate at 20 µg

Lane 3:

293T cells transfected with a Human SCN2A expression vector containing a His-tag whole cell lysate at 20 µg

Lane 4:

293T cells transfected with a Human SCN7A expression vector containing a His-tag whole cell lysate at 20 µg

Lane 5:

293T cells transfected with a Human SCN8A expression vector containing a His-tag whole cell lysate at 20 µg

Lane 6:

293T cells transfected with a Human SCN9A expression vector containing a His-tag whole cell lysate at 20 µg

Lane 7:

293T cells transfected with a Human SCN10A expression vector containing a His-tag whole cell lysate at 20 µg

Lane 8:

293T cells transfected with a Human SCN11A expression vector containing a His-tag whole cell lysate at 20 µg

Lane 11:

293T cells transfected with a Human SCN4A fragment expression vector containing a His-tag whole cell lysate at 20 µg

Lane 12:

293T cells transfected with a Human SCN5A fragment expression vector containing a His-tag whole cell lysate at 20 µg

Secondary

All lanes:

Western blot - Goat Anti-Rabbit IgG H&L (HRP) (<a href='/products/secondary-antibodies/goat-rabbit-igg-h-l-hrp-ab97051'>ab97051</a>) at 1/100000 dilution

Observed band size: 320 kDa,260 kDa

false

Exposure time: 3s

Western blot - Anti-6X His tag® antibody [EPR20547] - ChIP Grade (AB213204)
  • WB

Supplier Data

Western blot - Anti-6X His tag® antibody [EPR20547] - ChIP Grade (AB213204)

All lanes:

Western blot - Anti-SLC7A5/LAT1 antibody [EPR26260-66] (<a href='/products/primary-antibodies/slc7a5-lat1-antibody-epr26260-66-ab305251'>ab305251</a>) at 1/1000 dilution

Lanes 1 and 3:

293T cells transfected with an empty vector containing a His tag whole cell lysate at 20 µg

Lanes 2 and 4:

293T cells transfected with a Human SLC7A5 expression vector containing a His-tag whole cell lysate at 20 µg

Secondary

All lanes:

Western blot - Goat Anti-Rabbit IgG H&L (HRP) (<a href='/products/secondary-antibodies/goat-rabbit-igg-h-l-hrp-ab97051'>ab97051</a>) at 1/20000 dilution

Predicted band size: 55 kDa

Observed band size: 37 kDa

false

Exposure time: 1s

Western blot - Anti-6X His tag® antibody [EPR20547] - ChIP Grade (AB213204)
  • WB

Supplier Data

Western blot - Anti-6X His tag® antibody [EPR20547] - ChIP Grade (AB213204)

Blocking and diluting buffer and concentration : 5% NFDM/TBST. This antibody cross-reacts with overexpressed human USP31 (Q70CQ4) by WB In Western blot, Anti-GAPDH antibody [EPR16891] - Loading Control (ab181602) staining at 1/200000 dilution. In Western blot, Anti-6X His tag® antibody [EPR20547] - ChIP Grade (ab213204) staining at 1/5000 dilution.

All lanes:

Western blot - Anti-USP31 + USP43 antibody [EPR26029-42] (<a href='/products/primary-antibodies/usp31-usp43-antibody-epr26029-42-ab320632'>ab320632</a>) at 1/1000 dilution

Lane 1:

293T (human embryonic kidney epithelial cell) transfected with an empty vector containing a myc-his tag whole cell lysate at 2 µg

Lane 2:

293T cells transfected with a human USP43 expression vector containing a myc-his tag whole cell lysate at 2 µg

Lane 3:

293T cells transfected with a human USP1 expression vector containing a myc-his tag whole cell lysate at 2 µg

Secondary

All lanes:

Western blot - Goat Anti-Rabbit IgG H&L (HRP) (<a href='/products/secondary-antibodies/goat-rabbit-igg-h-l-hrp-ab97051'>ab97051</a>) at 1/100000 dilution

Observed band size: 123 kDa,36 kDa,15 kDa

false

Exposure time: 10s

Western blot - Anti-6X His tag® antibody [EPR20547] - ChIP Grade (AB213204)
  • WB

Supplier Data

Western blot - Anti-6X His tag® antibody [EPR20547] - ChIP Grade (AB213204)

Blocking and diluting buffer and concentration : 5% NFDM/TBST. This antibody does not cross-react with human GATAD2A. In Western blot, anti-GATAD2A antibody (ab188472) staining at 1/1000 dilution, anti-His antibody (ab213204) staining at 1/5000 dilution. Exposure time : 37 seconds

All lanes:

Western blot - Anti-GATAD2B antibody [EPR27329-3] (<a href='/products/primary-antibodies/gatad2b-antibody-epr27329-3-ab308631'>ab308631</a>) at 1/1000 dilution

Lane 1:

His-tagged human GATAD2A recombinant protein at 20 µg

Lane 2:

His-tagged human GATAD2B recombinant protein at 20 µg

Secondary

All lanes:

Western blot - Goat Anti-Rabbit IgG H&L (HRP) (<a href='/products/secondary-antibodies/goat-rabbit-igg-h-l-hrp-ab97051'>ab97051</a>) at 1/100000 dilution

Predicted band size: 65 kDa

Observed band size: 72 kDa

false

Exposure time: 37s

Western blot - Anti-6X His tag® antibody [EPR20547] - ChIP Grade (AB213204)
  • WB

Supplier Data

Western blot - Anti-6X His tag® antibody [EPR20547] - ChIP Grade (AB213204)

Blocking and diluting buffer and concentration : 5% NFDM/TBST. This antibody cross-reacts with overexpressed human SFTPA1 and SFTPA2. In Western blot, Anti-GAPDH antibody [EPR16891] - Loading Control (ab181602) staining at 1/200000 dilution. In Western blot, Anti-6X His tag® antibody [EPR20547] - ChIP Grade (ab213204) staining at 1/5000 dilution.

All lanes:

Western blot - Anti-SFTPA1 + SFTPA2 antibody [EPR29098-6] (<a href='/products/primary-antibodies/sftpa1-sftpa2-antibody-epr29098-6-ab320648'>ab320648</a>) at 1/1000 dilution

Lane 1:

293T (human embryonic kidney epithelial cell) cells transfected with an empty vector containing a myc-His-tag® whole cell lysate at 5 µg

Lane 2:

293T cells transfected with a human SFTPA1 expression vector containing a myc-His-tag® whole cell lysate at 5 µg

Lane 3:

293T cells transfected with a human SFTPA2 expression vector containing a myc-His-tag® whole cell lysate at 5 µg

Secondary

All lanes:

Western blot - Goat Anti-Rabbit IgG H&L (HRP) (<a href='/products/secondary-antibodies/goat-rabbit-igg-h-l-hrp-ab97051'>ab97051</a>) at 1/20000 dilution

Observed band size: 35 kDa,36 kDa

false

Exposure time: 59s

Western blot - Anti-6X His tag® antibody [EPR20547] - ChIP Grade (AB213204)
  • WB

Supplier Data

Western blot - Anti-6X His tag® antibody [EPR20547] - ChIP Grade (AB213204)

Dot blot analysis of ADX using ab321899 at 1000 (0.488 ug/ml) followed by a Goat Anti-Rabbit IgG, (H+L), Peroxidase conjugated (ab97051) at 1 : 100,000 dilution.

Lane1 : His-tagged human ADX recombinant protein

Exposure time : 180 seconds.

Blocking and diluting buffer and concentration : 5% NFDM/TBST.

In Dot Blot, Anti-6X His tag® antibody [EPR20547] - ChIP Grade (ab213204) staining at 1/5000 dilution.

All lanes:

Western blot - Anti-ADX antibody [EPR29804-54] (<a href='/products/primary-antibodies/adx-antibody-epr29804-54-ab321899'>ab321899</a>) at 1/1000 dilution

All lanes:

His-tagged human ADX recombinant protein

Secondary

All lanes:

Western blot - Goat Anti-Rabbit IgG H&L (HRP) (<a href='/products/secondary-antibodies/goat-rabbit-igg-h-l-hrp-ab97051'>ab97051</a>) at 1/100000 dilution

false

Exposure time: 180s

Western blot - Anti-6X His tag® antibody [EPR20547] - ChIP Grade (AB213204)
  • WB

Supplier Data

Western blot - Anti-6X His tag® antibody [EPR20547] - ChIP Grade (AB213204)

This antibody does not cross-react with human ASIC1 and ASIC3.

Samples are non-boiled as boiling may cause protein aggregation.

In Western blot, Anti-GAPDH antibody [EPR16891] - Loading Control (ab181602) staining at 1/200000 dilution.

In Western blot, Anti-6X His tag® antibody [EPR20547] - ChIP Grade (ab213204) staining at 1/5000 dilution.

Blocking and diluting buffer and concentration : 5% NFDM/TBST.

All lanes:

Western blot - Anti-ASIC2 antibody [EPR25412-63] (<a href='/products/primary-antibodies/asic2-antibody-epr25412-63-ab315378'>ab315378</a>) at 1/1000 dilution

Lane 1:

293T (human embryonic kidney epithelial cell) cells transfected with an empty vector containing a myc-His-tag®, whole cell lysate at 10 µg

Lane 2:

293T cells transfected with a human ASIC1 expression vector containing a myc-His-tag®, whole cell lysate at 10 µg

Lane 3:

293T cells transfected with a human ASIC2 expression vector containing a myc-His-tag®, whole cell lysate at 10 µg

Lane 4:

293T cells transfected with a human ASIC3 expression vector containing a myc-His-tag®, whole cell lysate at 10 µg

Secondary

All lanes:

Western blot - Goat Anti-Rabbit IgG H&L (HRP) (<a href='/products/secondary-antibodies/goat-rabbit-igg-h-l-hrp-ab97051'>ab97051</a>) at 1/100000 dilution

Observed band size: 70 kDa,36 kDa

false

Exposure time: 15s

Western blot - Anti-6X His tag® antibody [EPR20547] - ChIP Grade (AB213204)
  • WB

Supplier Data

Western blot - Anti-6X His tag® antibody [EPR20547] - ChIP Grade (AB213204)

All lanes:

Western blot - Anti-xCT antibody [EPR27115-64] (<a href='/products/primary-antibodies/xct-antibody-epr27115-64-ab307601'>ab307601</a>) at 1/1000 dilution

Lanes 1 and 4:

293T cells transfected with an empty vector containing a His tag whole cell lysate at 20 µg

Lanes 2 and 5:

293T cells transfected with a Human SLC7A5 expression vector containing a His-tag whole cell lysate at 20 µg

Lanes 3 and 6:

293T cells transfected with a Human xCT expression vector containing a His-tag whole cell lysate at 20 µg

Secondary

All lanes:

Western blot - Goat Anti-Rabbit IgG H&L (HRP) (<a href='/products/secondary-antibodies/goat-rabbit-igg-h-l-hrp-ab97051'>ab97051</a>) at 1/20000 dilution

Predicted band size: 55 kDa

Observed band size: 37 kDa

false

Exposure time: 7s

Western blot - Anti-6X His tag® antibody [EPR20547] - ChIP Grade (AB213204)
  • WB

Supplier Data

Western blot - Anti-6X His tag® antibody [EPR20547] - ChIP Grade (AB213204)

Blocking/Dilution buffer : 5% NFDM/TBST.

This blot was developed using a high sensitivity ECL substrate. The high-sensitivity ECL substrate used allows for the detection of proteins in the mid-femtogram range.

This antibody weakly detects RED1 when high levels of recombinant protein of RED1 is over-loaded in Western Blot. Please apply the antibody with an optimized dilution.

In Western blot, anti-His antibody (ab213204) staining at 1/5000 dilution.

In Western blot, anti-GAPDH antibody (ab181602) loading control staining at 1/200000 dilution.

All lanes:

Western blot - Anti-RED1 + RED2 antibody [EPR26577-102] (<a href='/products/primary-antibodies/red1-red2-antibody-epr26577-102-ab307893'>ab307893</a>) at 1/1000 dilution

Lane 1:

293T cells transfected with an empty vector containing a his tag whole cell lysate at 20 µg

Lane 2:

293T cells transfected with a human RED2 expression vector containing a his tag whole cell lysate at 20 µg

Lane 3:

293T cells transfected with a human RED1 expression vector containing a his tag whole cell lysate at 4 µg

Secondary

All lanes:

Western blot - Goat Anti-Rabbit IgG H&L (HRP) (<a href='/products/secondary-antibodies/goat-rabbit-igg-h-l-hrp-ab97051'>ab97051</a>) at 1/100000 dilution

true

Exposure time: 59s

Western blot - Anti-6X His tag® antibody [EPR20547] - ChIP Grade (AB213204)
  • WB

Lab

Western blot - Anti-6X His tag® antibody [EPR20547] - ChIP Grade (AB213204)

Blocking buffer and dilution concentration : 5% NFDM/TBST.

Lanes 1 - 4:

Western blot - Anti-TrkA (phospho Y674)+TrkB (phospho Y706)+TrkC (phospho Y709) antibody [EPR22298-67] (<a href='/products/primary-antibodies/trka-phospho-y674trkb-phospho-y706trkc-phospho-y709-antibody-epr22298-67-ab229908'>ab229908</a>) at 1/1000 dilution

Lanes 1 - 4:

Western blot - Anti-TrkA (pY674) + TrkB (pY706) + TrkC (pY709) antibody [EPR22298-67] - BSA and Azide free (<a href='/products/primary-antibodies/trka-phospho-y674trkb-phospho-y706trkc-phospho-y709-antibody-epr22298-67-bsa-and-azide-free-ab264070'>ab264070</a>) at 1/1000 dilution

Lane 1:

293T (human embryonic kidney epithelial cell) cells transfected with an empty vector containing a His-tag, whole cell lysate at 20 µg

Lane 2:

293T cells transfected with a human TrkA expression vector containing a His-tag, whole cell lysate at 20 µg

Lane 3:

293T cells transfected with a human TrkB expression vector containing a His-tag, whole cell lysate at 20 µg

Lane 4:

293T cells transfected with a human TrkC expression vector containing a His-tag, whole cell lysate at 20 µg

Secondary

All lanes:

Western blot - Goat Anti-Rabbit IgG H&L (HRP) (<a href='/products/secondary-antibodies/goat-rabbit-igg-h-l-hrp-ab97051'>ab97051</a>) at 1/100000 dilution

Observed band size: 140 kDa

false

Exposure time: 15s

Western blot - Anti-6X His tag® antibody [EPR20547] - ChIP Grade (AB213204)
  • WB

Supplier Data

Western blot - Anti-6X His tag® antibody [EPR20547] - ChIP Grade (AB213204)

Blocking and diluting buffer and concentration : 5% NFDM/TBST. This antibody does not cross-react with human BCAT1. In Western blot, anti-His antibody (ab213204) staining at 1/5000 dilution. In Western blot, anti-H3 antibody (ab176842) loading control staining at 1/100000 dilution. Exposure time : 1 second.

All lanes:

Western blot - Anti-BCAT2 antibody [EPR27488-72] (<a href='/products/primary-antibodies/bcat2-antibody-epr27488-72-ab307833'>ab307833</a>) at 1/1000 dilution

Lane 1:

293T (human embryonic kidney epithelial cell)cells transfected with an empty vector containing a his tag whole cell lysate at 20 µg

Lane 2:

293T cells transfected with a human BCAT2 expression vector containing a his tag whole cell lysate at 20 µg

Lane 3:

293T cells transfected with a human BCAT1 expression vector containing a his tag whole cell lysate at 20 µg

Secondary

All lanes:

Western blot - Goat Anti-Rabbit IgG H&L (HRP) (<a href='/products/secondary-antibodies/goat-rabbit-igg-h-l-hrp-ab97051'>ab97051</a>) at 1/20000 dilution

Predicted band size: 44 kDa

Observed band size: 37 kDa

false

Exposure time: 1s

Western blot - Anti-6X His tag® antibody [EPR20547] - ChIP Grade (AB213204)
  • WB

Lab

Western blot - Anti-6X His tag® antibody [EPR20547] - ChIP Grade (AB213204)

Blocking and diluting buffer and concentration : 5% NFDM/TBST This antibody reacts with human MAdCAM1 but does not react with mouse MAdCAM1. In Western blot, anti-His antibody (ab213204) staining at 1/5000 dilution. Exposure time : 180 seconds

All lanes:

Western blot - Anti-MAdCAM1 antibody [EPR27555-87] (<a href='/products/primary-antibodies/madcam1-antibody-epr27555-87-ab307734'>ab307734</a>) at 1/1000 dilution

Lane 1:

His-tagged human MAdCAM1 recombinant fragment at 10 ng

Lane 2:

293T cells transfected with a mouse MAdCAM1 expression vector containing a his tag whole cell lysate at 20 µg

Secondary

All lanes:

Western blot - Goat Anti-Rabbit IgG H&L (HRP) (<a href='/products/secondary-antibodies/goat-rabbit-igg-h-l-hrp-ab97051'>ab97051</a>) at 1/100000 dilution

Observed band size: 32 kDa

false

Exposure time: 180s

Western blot - Anti-6X His tag® antibody [EPR20547] - ChIP Grade (AB213204)
  • WB

Lab

Western blot - Anti-6X His tag® antibody [EPR20547] - ChIP Grade (AB213204)

Blocking and diluting buffer and concentration : 5% NFDM/TBST.

In Western blot, Anti-GAPDH antibody [EPR16891] - Loading Control (ab181602) staining at 1/1000000 dilution.

In Western blot, Anti-Myc tag antibody [9E10] - Loading Control (ab32) staining at 1/10000 dilution.

In Western blot, Anti-6X His tag® antibody [EPR20547] - Loading Control (ab213204) staining at 1/10000 dilution.

This antibody does not cross react with DR5 and DcR2.

All lanes:

Western blot - Anti-DR4 antibody [EPR28152-57] (<a href='/products/primary-antibodies/dr4-antibody-epr28152-57-ab312848'>ab312848</a>) at 1/1000 dilution

Lane 1:

293T (Human embryonic kidney epithelial cell) transfected with an empty vector (vector control), containing a myc-His- tag® whole cell lysate at 20 µg

Lane 2:

293T transfected with human DR4 expression vector containing a myc- His-tag®, whole cell lysate at 20 µg

Lane 3:

293T transfected with human DcR2 expression vector containing a myc- His-tag®, whole cell lysate at 48 µg

Lane 4:

Recombinant human DR5 fragment protein containing a His-tag®, whole cell lysate at 10 ng

Secondary

All lanes:

Western blot - Goat Anti-Rabbit IgG H&L (HRP) (<a href='/products/secondary-antibodies/goat-rabbit-igg-h-l-hrp-ab97051'>ab97051</a>) at 1/100000 dilution

Observed band size: 48 kDa

false

Exposure time: 3s

Western blot - Anti-6X His tag® antibody [EPR20547] - ChIP Grade (AB213204)
  • WB

Lab

Western blot - Anti-6X His tag® antibody [EPR20547] - ChIP Grade (AB213204)

Blocking and diluting buffer and concentration : 5% NFDM/TBST.

Lanes 1 - 2:

Western blot - Anti-Angiopoietin-like 4/ANGPTL4 antibody [EPR19873] (<a href='/products/primary-antibodies/angiopoietin-like-4-angptl4-antibody-epr19873-ab206420'>ab206420</a>) at 1/1000 dilution

Lanes 1 - 2:

Western blot - Anti-6X His tag® antibody [EPR20547] - ChIP Grade (ab213204) at 1/5000 dilution

Lane 1:

293T (human embryonic kidney epithelial cell) cells transfected with an empty vector containing a His tag whole cell lysate at 20 µg

Lane 2:

293T cells transfected with a human ANGPTL4 expression vector containing a His-tag whole cell lysate at 20 µg

Secondary

All lanes:

Western blot - Goat Anti-Rabbit IgG H&L (HRP) (<a href='/products/secondary-antibodies/goat-rabbit-igg-h-l-hrp-ab97051'>ab97051</a>) at 1/20000 dilution

Observed band size: 35 kDa,50 kDa

false

Exposure time: 3s

Western blot - Anti-6X His tag® antibody [EPR20547] - ChIP Grade (AB213204)
  • WB

Lab

Western blot - Anti-6X His tag® antibody [EPR20547] - ChIP Grade (AB213204)

Blocking buffer and concentration : 5% NFDM/TBST  Diluting buffer and concentration : 5% NFDM/TBST ab176323 does not cross activate with human LXR beta. ab213204 was used as loading control.

All lanes:

Western blot - Anti-LXR alpha antibody [EPR6508(N)] (<a href='/products/primary-antibodies/lxr-alpha-antibody-epr6508n-ab176323'>ab176323</a>) at 1/1000 dilution

Lane 1:

HEK 293 transfected with blank vectors, whole cell lysate at 20 µg

Lane 2:

HEK 293 transfected with His tagged human LXR alpha full length expression vectors, whole cell lysate at 20 µg

Lane 3:

HEK 293 transfected with His tagged human LXR beta full length expression vectors, whole cell lysate at 20 µg

Secondary

All lanes:

Western blot - Goat Anti-Rabbit IgG H&L (HRP) (<a href='/products/secondary-antibodies/goat-rabbit-igg-h-l-hrp-ab97051'>ab97051</a>) at 1/20000 dilution

Predicted band size: 50 kDa

Observed band size: 50 kDa

false

Exposure time: 3s

Western blot - Anti-6X His tag® antibody [EPR20547] - ChIP Grade (AB213204)
  • WB

Supplier Data

Western blot - Anti-6X His tag® antibody [EPR20547] - ChIP Grade (AB213204)

This antibody recognizes overexpressed human ATAD3A isoform 2 and isoform 1 (UniProt ID : Q9NVI7).

In Western blot, Anti-GAPDH antibody [EPR16891] - Loading Control (ab181602) staining at 1/200000 dilution.

In Western blot, Anti-6X His tag® antibody [EPR20547] - ChIP Grade (ab213204) staining at 1/5000 dilution.

All lanes:

Western blot - Anti-ATAD3A antibody [EPR27484-26] (<a href='/products/primary-antibodies/atad3a-antibody-epr27484-26-ab317252'>ab317252</a>) at 1/1000 dilution

Lane 1:

293T (human embryonic kidney epithelial cell) transfected with an empty vector containing a myc-His-tag®, whole cell lysate at 20 µg with NFDM/TBST

Lane 2:

293T cells transfected with a Human ATAD3A isoform 2 expression vector containing a myc-His-tag®, whole cell lysate at 20 µg with NFDM/TBST

Lane 3:

293T cells transfected with a Human ATAD3A isoform 1 expression vector containing a myc-His-tag®, whole cell lysate at 20 µg with NFDM/TBST

Secondary

All lanes:

Western blot - Goat Anti-Rabbit IgG H&L (HRP) (<a href='/products/secondary-antibodies/goat-rabbit-igg-h-l-hrp-ab97051'>ab97051</a>) at 1/100000 dilution

Observed band size: 66 kDa,76 kDa,36 kDa

false

Exposure time: 62s

Western blot - Anti-6X His tag® antibody [EPR20547] - ChIP Grade (AB213204)
  • WB

Supplier Data

Western blot - Anti-6X His tag® antibody [EPR20547] - ChIP Grade (AB213204)

Blocking and diluting buffer and concentration : 5% NFDM/TBST.

The antibody detects Human STAT4 (phospho Y693).

This blot was developed using a high sensitivity ECL substrate. The high-sensitivity ECL substrate used allows for the detection of proteins in the mid-femtogram range.

In Western blot, anti-STAT4 antibody (ab284408) staining at 1/1000 dilution.

In Western blot, anti-His antibody (ab213204) staining at 1/5000 dilution.

In Western blot, anti-GAPDH antibody (ab181602) loading control staining at 1/200000 dilution.

All lanes:

Western blot - Anti-STAT4 (phospho Y693) antibody [EPR27081-49] (<a href='/products/primary-antibodies/stat4-phospho-y693-antibody-epr27081-49-ab313630'>ab313630</a>) at 1/1000 dilution

Lane 1:

293T cells transfected with a Human STAT4 expression vector containing a His-tag were treated with treated with 100 mM Calyculin A for 30 minutes whole cell lysate at 20 µg

Lane 2:

293T cells transfected with a Human STAT4 (Y693F mutation) expression vector containing a His-tag were treated with 100 mM Calyculin A for 30 minutes whole cell lysate at 20 µg

Secondary

All lanes:

Western blot - Goat Anti-Rabbit IgG H&L (HRP) (<a href='/products/secondary-antibodies/goat-rabbit-igg-h-l-hrp-ab97051'>ab97051</a>) at 1/100000 dilution

Observed band size: 85 kDa

true

Exposure time: 180s

Western blot - Anti-6X His tag® antibody [EPR20547] - ChIP Grade (AB213204)
  • WB

Supplier Data

Western blot - Anti-6X His tag® antibody [EPR20547] - ChIP Grade (AB213204)

Blocking and diluting buffer and concentration : 5% NFDM/TBST The antibody specifically recognizes TDP43 singly phosphorylated at S410. In Western blot, Anti-GAPDH antibody [EPR16891] - Loading Control (ab181602) staining at 1/200000 dilution. In Western blot, Anti-TDP43 antibody [EPR18554-55] (ab190963) staining at 1/1000 dilution. In Western blot, Anti-6X His tag® antibody [EPR20547] - ChIP Grade (ab213204) staining at 1/5000 dilution.

All lanes:

Western blot - Anti-TDP43 (phospho S410) antibody [EPR24512-8] (<a href='/products/primary-antibodies/tdp43-phospho-s410-antibody-epr24512-8-ab314301'>ab314301</a>) at 1/1000 dilution

Lane 1:

293T (human embryonic kidney epithelial cell) cells transfected with an empty vector containing a His-tag, whole cell lysate at 20 µg

Lane 2:

293T cells transfected with a human wild-type TDP43 expression vector containing a His-tag, whole cell lysate at 20 µg

Lane 3:

293T cells transfected with a human wild-type TDP43 expression vector containing a His-tag were treated with 1 uM Okadaic Acid for 60 minutes, whole cell lysate at 20 µg

Lane 4:

293T cells transfected with a human TDP43 (S409A and S410A mutation) expression vector containing a His-tag were treated with 1 uM Okadaic Acid for 60 minutes, whole cell lysate at 20 µg

Lane 5:

293T cells transfected with a human TDP43 (S409A mutation) expression vector containing a His-tag were treated with 1 uM Okadaic Acid for 60 minutes, whole cell lysate at 20 µg

Lane 6:

293T cells transfected with a human TDP43 (S410A mutation) expression vector containing a His-tag were treated with 1 uM Okadaic Acid for 60 minutes, whole cell lysate at 20 µg

Secondary

All lanes:

Western blot - Goat Anti-Rabbit IgG H&L (HRP) (<a href='/products/secondary-antibodies/goat-rabbit-igg-h-l-hrp-ab97051'>ab97051</a>) at 1/100000 dilution

Observed band size: 50 kDa

false

Exposure time: 15s

Western blot - Anti-6X His tag® antibody [EPR20547] - ChIP Grade (AB213204)
  • WB

Supplier Data

Western blot - Anti-6X His tag® antibody [EPR20547] - ChIP Grade (AB213204)

Blocking and diluting buffer and concentration : 5% NFDM/TBST. In Western blot, anti-His antibody (ab213204) staining at 1/5000 dilution. In Western blot, anti-GAPDH antibody (ab181602) loading control staining at 1/200000 dilution. Exposure time : 3 seconds

All lanes:

Western blot - Anti-HOXC10 antibody [EPR27318-83] (<a href='/products/primary-antibodies/hoxc10-antibody-epr27318-83-ab308518'>ab308518</a>) at 1/1000 dilution

Lane 1:

293T (human embryonic kidney epithelial cell)cells transfected with an empty vector containing a his tag whole cell lysate at 20 µg

Lane 2:

293T cells transfected with a human HOXC10 expression vector containing a his tag whole cell lysate at 20 µg

Secondary

All lanes:

Western blot - Goat Anti-Rabbit IgG H&L (HRP) (<a href='/products/secondary-antibodies/goat-rabbit-igg-h-l-hrp-ab97051'>ab97051</a>) at 1/100000 dilution

Predicted band size: 38 kDa

Observed band size: 40 kDa

false

Exposure time: 3s

不同偶联物与剂型 (8)

  • 578 PE

    PE Anti-6X His tag® antibody [EPR20547]

  • HRP

    HRP Anti-6X His tag® antibody [EPR20547]

  • 665 Alexa Fluor® 647

    Alexa Fluor® 647 Anti-6X His tag® antibody [EPR20547]

  • 519 Alexa Fluor® 488

    Alexa Fluor® 488 Anti-6X His tag® antibody [EPR20547]

  • Carrier free

    Anti-6X His tag® antibody [EPR20547] - BSA and Azide free

  • 519 FITC

    FITC Anti-6X His tag® [EPR20547]

  • Biotin

    Biotin Anti-6X His tag® antibody [EPR20547] - ChIP Grade

  • 660 APC

    APC Anti-6X His tag® antibody [EPR20547] - ChIP Grade

关键信息

宿主种属

Rabbit

克隆

Monoclonal

克隆号

EPR20547

亚型

IgG

不含载体蛋白

No

应用

Flow Cyt, ICC/IF, IHC-P, IP, WB, ChIP

applications

免疫原

The exact immunogen used to generate this antibody is proprietary information.

反应性数据

{ "title": "Reactivity Data", "filters": { "stats": ["", "Species", "Dilution Info", "Notes"], "tabs": { "all-applications": {"fullname" : "All Applications", "shortname": "All Applications"}, "IP" : {"fullname" : "Immunoprecipitation", "shortname":"IP"}, "ChIP" : {"fullname" : "ChIP", "shortname":"ChIP"}, "FlowCyt" : {"fullname" : "Flow Cytometry", "shortname":"Flow Cyt"}, "WB" : {"fullname" : "Western blot", "shortname":"WB"}, "IHCP" : {"fullname" : "Immunohistochemistry (Formalin/PFA-fixed paraffin-embedded sections)", "shortname":"IHC-P"}, "ICCIF" : {"fullname" : "Immunocytochemistry/ Immunofluorescence", "shortname":"ICC/IF"} }, "product-promise": { "all": "all", "testedAndGuaranteed": "tested", "guaranteed": "expected", "predicted": "predicted", "notRecommended": "not-recommended" } }, "values": { "Tag": { "IP-species-checked": "testedAndGuaranteed", "IP-species-dilution-info": "1/30", "IP-species-notes": "<p></p>", "ChIP-species-checked": "testedAndGuaranteed", "ChIP-species-dilution-info": "2 µg for 25 µg chromatin", "ChIP-species-notes": "<p></p>", "FlowCyt-species-checked": "testedAndGuaranteed", "FlowCyt-species-dilution-info": "1/5000", "FlowCyt-species-notes": "<p></p>", "WB-species-checked": "testedAndGuaranteed", "WB-species-dilution-info": "1/5000", "WB-species-notes": "<p></p>", "IHCP-species-checked": "testedAndGuaranteed", "IHCP-species-dilution-info": "1/16000", "IHCP-species-notes": "<p>We don't recommend this antibody for mouse in IHC. In our hands mouse tissues showed non-specific staining.</p> Perform heat-mediated antigen retrieval with Tris/EDTA buffer pH 9.0 before commencing with IHC staining protocol.", "ICCIF-species-checked": "testedAndGuaranteed", "ICCIF-species-dilution-info": "1/100", "ICCIF-species-notes": "<p></p>" } } }

产品详情

What is this antibody validated in?
Anti-6X His tag® antibody [EPR20547] - ChIP Grade (ab213204) is a rabbit recombinant monoclonal antibody and is validated for use in Western Blot (WB), Flow Cytometry (Flow Cyt), Immunoprecipitation (IP), Immunohistochemistry (IHC-P), Immunocytochemistry/immunofluorescence (ICC/IF), ChIP. Tagged protein detection
6X His tag® antibodies are used to visualize proteins labelled with this tag in a variety of applications.

Trusted by the scientific community
Anti-6X His tag® [EPR20547] - ChIP Grade (ab213204) was first used in a scientific publication in 2017 and has been cited over 10 times in peer-reviewed journals.

Trial sizes available!
Test your antibody or perform pre-screening before committing to a larger quantity. Sold in 10µl. Discover our selection of trial-size antibodies.

Other related products
We have a range of other formats of antibody clone [EPR20547] also available for your convenience: ab213204, Carrier free - ab232492, Alexa Fluor® 488 - ab237336, Alexa Fluor® 647 - ab237337, PE - ab237338, HRP - ab237339, Biotin - ab316173, APC - ab317659, FITC - ab318311

Patented technology
Our RabMAb® technology is a patented hybridoma-based technology for making rabbit monoclonal antibodies. For details on our patents, please refer to RabMAb® patents.

What are the advantages of a recombinant monoclonal antibody?
This product is a recombinant monoclonal antibody, which offers several advantages including:

  • - High batch-to-batch consistency and reproducibility
  • - Improved sensitivity and specificity
  • - Long-term security of supply
  • - Animal-free batch production

For more information, read more on recombinant antibodies.

性能和储存信息

形式
Liquid
纯化工艺
Affinity purification Protein A
存储溶液
pH: 7.2 - 7.4 Preservative: 0.01% Sodium azide Constituents: PBS, 40% Glycerol (glycerin, glycerine), 0.05% BSA
运输条件
Blue Ice
推荐的短期储存时间
1-2 weeks
推荐的短期储存条件
+4°C
推荐的长期储存条件
-20°C
分装信息
Upon delivery aliquot
储存信息
Avoid freeze / thaw cycle

补充信息

This supplementary information is collated from multiple sources and compiled automatically.

The 6X His tag is a sequence commonly used for protein purification detection and immobilization. It consists of six histidine residues that bind to metal ions like nickel or cobalt. This makes it a highly efficient tag for affinity chromatography. His tag antibodies such as anti-His HRP facilitate the detection of His-tagged proteins in various assays. Being a small tag with a typical molecular weight of about 0.84 kDa it minimally interferes with protein function. Many proteins expressed in E. coli and other expression systems carry the 6X His tag for ease of purification and analysis.
Biological function summary

Proteins tagged with the 6X His tag often play roles in studies involving recombinant proteins. The tag itself does not alter the biological function of the target protein. It is not part of any natural protein complex but aids in the study of such complexes. Researchers use His tag antibodies like anti-His to specifically target and study these tagged proteins without cross-reactivity to other proteins.

Pathways

The incorporation of the 6X His tag into proteins allows them to be studied more efficiently in various biological pathways. It can be part of pathways like signal transduction or metabolic pathways. When tagged proteins interact with other molecules such as kinases or receptors researchers can track these interactions using the tag and anti-Histidine antibodies. This technique informs on proteins that are hard to purify due to low abundance or instability.

The 6X His tag itself does not have direct implications. However proteins of interest in disease models often carry the tag which allows researchers to purify and study them in detail. For example cancer-related proteins may be expressed with a His tag to understand their role in tumorigenesis. Similarly proteins involved in metabolic disorders could be tagged which helps in analyzing specific interactions or functions disrupted in diseases.

产品实验方案

For this product, it's our understanding that no specific protocols are required. You can visit:

文献 (35)

Recent publications for all applications. Explore the full list and refine your search

eLife 14: PubMed40928359

2025

The second messenger signaling molecule cyclic di-AMP drives developmental cycle progression in .

Applications

Unspecified application

Species

Unspecified reactive species

Junghoon Lee,Scot P Ouellette

Acta pharmaceutica Sinica. B 15:3663-3684 PubMed40698138

2025

Cytoplasmic and nuclear NFATc3 cooperatively contributes to vascular smooth muscle cell dysfunction and drives aortic aneurysm and dissection.

Applications

Unspecified application

Species

Unspecified reactive species

Xiu Liu,Li Zhao,Deshen Liu,Lingna Zhao,Yonghua Tuo,Qinbao Peng,Fangze Huang,Zhengkun Song,Chuanjie Niu,Xiaoxia He,Yu Xu,Jun Wan,Peng Zhu,Zhengyang Jian,Jiawei Guo,Yingying Liu,Jun Lu,Sijia Liang,Shaoyi Zheng

Cell death discovery 11:263 PubMed40461467

2025

Nesprin-2 contains BH3-like motifs that can promote cell death.

Applications

Unspecified application

Species

Unspecified reactive species

Hila Zohar,Amit Kessel,Liora Lindenboim,Dang Nguyen,Nir Ben-Tal,Gregg G Gundersen,Howard J Worman,David W Andrews,Reuven Stein

Journal of orthopaedic surgery and research 20:517 PubMed40420098

2025

TRIM55 suppresses inflammatory response after spinal cord injury by accelerating the ubiquitination and degradation of TLR4.

Applications

Unspecified application

Species

Unspecified reactive species

Yang Li

Cell death & disease 16:144 PubMed40021626

2025

Lactylation-driven transcriptional activation of FBXO33 promotes gallbladder cancer metastasis by regulating p53 polyubiquitination.

Applications

Unspecified application

Species

Unspecified reactive species

Zhenheng Wu,You Peng,Wen Chen,Feng Xia,Tieshan Song,Qiming Ke

eLife 13: PubMed39951384

2025

T3SS translocon induces pyroptosis by direct interaction with NLRC4/NAIP inflammasome.

Applications

Unspecified application

Species

Unspecified reactive species

Yan Zhao,Hanshuo Zhu,Jinqian Li,Hang Xu,Li Sun

Communications biology 7:1671 PubMed39702498

2024

A miR-219-5p-bmal1b negative feedback loop contributes to circadian regulation in zebrafish.

Applications

Unspecified application

Species

Unspecified reactive species

Lianxin Wu,Meng Zhao,Xifeng Chen,Han Wang

eLife 13: PubMed39365738

2024

Noncaloric monosaccharides induce excessive sprouting angiogenesis in zebrafish via foxo1a-marcksl1a signal.

Applications

Unspecified application

Species

Unspecified reactive species

Xiaoning Wang,Jinxiang Zhao,Jiehuan Xu,Bowen Li,Xia Liu,Gangcai Xie,Xuchu Duan,Dong Liu

FEBS letters 598:2592-2614 PubMed39155147

2024

The miR-26a/SIRT6/HIF-1α axis regulates glycolysis and inflammatory responses in host macrophages during Mycobacterium tuberculosis infection.

Applications

Unspecified application

Species

Unspecified reactive species

Soumya Mal,Debayan Majumder,Pankaj Birari,Arun Kumar Sharma,Umesh Gupta,Kuladip Jana,Manikuntala Kundu,Joyoti Basu

Respiratory research 25:287 PubMed39061007

2024

Novel hypoxia-induced HIF-1αactivation in asthma pathogenesis.

Applications

Unspecified application

Species

Unspecified reactive species

Mengzhi Wan,Qi Yu,Fei Xu,Lu Xia You,Xiao Liang,Kang Kang Ren,Jing Zhou
View all publications

Abcam Product Promise

我们致力于为您的研究提供高质量的试剂,为您科研的每一步提供支持。若我们的产品未能达到预期性能,我们向您提供 Abcam Product Promise 保障。
详情请参阅我们的条款与条件。

Please note: All products are 'FOR RESEARCH USE ONLY. NOT FOR USE IN DIAGNOSTIC OR THERAPEUTIC PROCEDURES'.

For licensing inquiries, please contact partnerships@abcam.com