JavaScript is disabled in your browser. Please enable JavaScript to view this website.
AB223343

重组Anti-68kDa Neurofilament/NF-L抗体[EPR22035-112]

Anti-68kDa Neurofilament/NF-L antibody [EPR22035-112]

Be the first to review this product! Submit a review

|

(22 Publications)

Anti-68kDa Neurofilament/NF-L antibody [EPR22035-112] (ab223343) is a rabbit monoclonal antibody detecting 68kDa Neurofilament/NF-L in Western Blot, IP, IHC-P, IHC-Fr, ICC/IF, ELISA. Suitable for Human, Mouse, Rat.

- Biophysical QC for unrivalled batch-batch consistency

查看别名

NF68, NFL, NEFL, Neurofilament light polypeptide, NF-L, 68 kDa neurofilament protein, Neurofilament triplet L protein

11 Images
Immunohistochemistry (Formalin/PFA-fixed paraffin-embedded sections) - Anti-68kDa Neurofilament/NF-L antibody [EPR22035-112] (AB223343)
  • IHC-P

Unknown

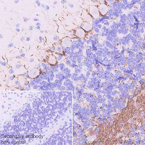
Immunohistochemistry (Formalin/PFA-fixed paraffin-embedded sections) - Anti-68kDa Neurofilament/NF-L antibody [EPR22035-112] (AB223343)

Immunohistochemical analysis of paraffin-embedded human cerebellum tissue labeling 68kDa Neurofilament/NF-L with ab223343 at 1/4000 dilution, followed by Goat Anti-Rabbit IgG H&L (HRP) ready to use. Positive staining of nerve fibers in human cerebellum (PMID : 28190929) is observed. Counter stained with Hematoxylin.

Secondary antibody only control : Used PBS instead of primary antibody, secondary antibody is Goat Anti-Rabbit IgG H&L (HRP) ready to use.

Heat-mediated antigen retrieval using ab93684 (Tris/EDTA buffer, pH 9.0).

Indirect ELISA - Anti-68kDa Neurofilament/NF-L antibody [EPR22035-112] (AB223343)
  • I-ELISA

Lab

Indirect ELISA - Anti-68kDa Neurofilament/NF-L antibody [EPR22035-112] (AB223343)

ELISA using ab223343 at 1000-0 ng/mL antibody concentrations and antigen human Neurofilament light polypeptide at 1000 ng/mL. An Alkaline Phosphatase-conjugated AffiniPure Goat Anti-Rabbit IgG (H+L) (1/2500) was used as the secondary antibody.

Immunohistochemistry (Frozen sections) - Anti-68kDa Neurofilament/NF-L antibody [EPR22035-112] (AB223343)
  • IHC-Fr

Unknown

Immunohistochemistry (Frozen sections) - Anti-68kDa Neurofilament/NF-L antibody [EPR22035-112] (AB223343)

Immunohistochemical analysis of 4% PFA-fixed, 0.2% Triton X-100 permeabilized frozen sectioned rat cerebellum tissue labeling 68kDa Neurofilament/NF-L with ab223343 at 1/500 dilution, followed by Goat Anti-Rabbit IgG H&L (Alexa Fluor® 488) (ab150077) at 1/1000 dilution (green). Positive staining in rat cerebellum is observed. The nuclear counter stain is DAPI (blue).

Secondary antibody only control : Used PBS instead of primary antibody, secondary antibody is Goat Anti-Rabbit IgG H&L (Alexa Fluor® 488) (ab150077) at 1/1000 dilution.

Heat mediated antigen retrieval using sodium citrate buffer (10 mM citrate pH 6.0 + 0.05% Tween-20).

Immunohistochemistry (Frozen sections) - Anti-68kDa Neurofilament/NF-L antibody [EPR22035-112] (AB223343)
  • IHC-Fr

Unknown

Immunohistochemistry (Frozen sections) - Anti-68kDa Neurofilament/NF-L antibody [EPR22035-112] (AB223343)

Immunohistochemical analysis of 4% PFA-fixed, 0.2% Triton X-100 permeabilized frozen sectioned mouse liver tissue labeling 68kDa Neurofilament/NF-L with ab223343 at 1/500 dilution, followed by Goat Anti-Rabbit IgG H&L (Alexa Fluor® 488) (ab150077) at 1/1000 dilution. No staining observed in mouse liver. The nuclear counter stain is DAPI (blue).

Secondary antibody only control : Used PBS instead of primary antibody, secondary antibody is Goat Anti-Rabbit IgG H&L (Alexa Fluor® 488) (ab150077) at 1/1000 dilution.

Heat mediated antigen retrieval using sodium citrate buffer (10 mM citrate pH 6.0 + 0.05% Tween-20).

Negative control : mouse liver (PMID : 2120242).

Immunohistochemistry (Frozen sections) - Anti-68kDa Neurofilament/NF-L antibody [EPR22035-112] (AB223343)
  • IHC-Fr

Lab

Immunohistochemistry (Frozen sections) - Anti-68kDa Neurofilament/NF-L antibody [EPR22035-112] (AB223343)

Immunohistochemical analysis of 4% PFA-fixed, 0.2% Triton X-100 permeabilized frozen sectioned mouse cerebellum tissue labeling 68kDa Neurofilament/NF-L with ab223343 at 1/500 dilution, followed by Goat Anti-Rabbit IgG H&L (Alexa Fluor® 488) (ab150077) at 1/1000 dilution (green). Positive staining in mouse cerebellum (PMID : 17598884) is observed. The nuclear counter stain is DAPI (blue).

Secondary antibody only control : Used PBS instead of primary antibody, secondary antibody is Goat Anti-Rabbit IgG H&L (Alexa Fluor® 488) (ab150077) at 1/1000 dilution.

Heat mediated antigen retrieval using sodium citrate buffer (10 mM citrate pH 6.0 + 0.05% Tween-20).

Immunohistochemistry (Formalin/PFA-fixed paraffin-embedded sections) - Anti-68kDa Neurofilament/NF-L antibody [EPR22035-112] (AB223343)
  • IHC-P

Unknown

Immunohistochemistry (Formalin/PFA-fixed paraffin-embedded sections) - Anti-68kDa Neurofilament/NF-L antibody [EPR22035-112] (AB223343)

Immunohistochemical analysis of paraffin-embedded mouse cerebellum tissue labeling 68kDa Neurofilament/NF-L with ab223343 at 1/4000 dilution, followed by Goat Anti-Rabbit IgG H&L (HRP) ready to use. Positive staining of nerve fibers in mouse cerebellum (PMID : 28190929) is observed. Counter stained with Hematoxylin.

Secondary antibody only control : Used PBS instead of primary antibody, secondary antibody is Goat Anti-Rabbit IgG H&L (HRP) ready to use.

Heat-mediated antigen retrieval using ab93684 (Tris/EDTA buffer, pH 9.0).

Immunohistochemistry (Formalin/PFA-fixed paraffin-embedded sections) - Anti-68kDa Neurofilament/NF-L antibody [EPR22035-112] (AB223343)
  • IHC-P

Lab

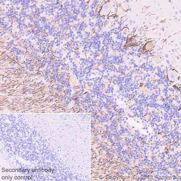
Immunohistochemistry (Formalin/PFA-fixed paraffin-embedded sections) - Anti-68kDa Neurofilament/NF-L antibody [EPR22035-112] (AB223343)

Immunohistochemical analysis of paraffin-embedded rat cerebellum tissue labeling 68kDa Neurofilament/NF-L with ab223343 at 1/4000 dilution, followed by Goat Anti-Rabbit IgG H&L (HRP) ready to use. Positive staining of nerve fibers in rat cerebellum (PMID : 28190929) is observed. Counter stained with Hematoxylin.

Secondary antibody only control : Used PBS instead of primary antibody, secondary antibody is Goat Anti-Rabbit IgG H&L (HRP) ready to use.

Heat-mediated antigen retrieval using ab93684 (Tris/EDTA buffer, pH 9.0).

Immunohistochemistry (Frozen sections) - Anti-68kDa Neurofilament/NF-L antibody [EPR22035-112] (AB223343)
  • IHC-Fr

Unknown

Immunohistochemistry (Frozen sections) - Anti-68kDa Neurofilament/NF-L antibody [EPR22035-112] (AB223343)

Immunohistochemical analysis of 4% PFA-fixed, 0.2% Triton X-100 permeabilized frozen sectioned rat liver tissue labeling 68kDa Neurofilament/NF-L with ab223343 at 1/500 dilution, followed by Goat Anti-Rabbit IgG H&L (Alexa Fluor® 488) (ab150077) at 1/1000 dilution. No staining in rat liver is observed. The nuclear counter stain is DAPI (blue).

Secondary antibody only control : Used PBS instead of primary antibody, secondary antibody is Goat Anti-Rabbit IgG H&L (Alexa Fluor® 488) (ab150077) at 1/1000 dilution.

Heat mediated antigen retrieval using sodium citrate buffer (10 mM citrate pH 6.0 + 0.05% Tween-20).

Negative control : Rat liver (PMID : 2120242).

Immunocytochemistry/ Immunofluorescence - Anti-68kDa Neurofilament/NF-L antibody [EPR22035-112] (AB223343)
  • ICC/IF

Lab

Immunocytochemistry/ Immunofluorescence - Anti-68kDa Neurofilament/NF-L antibody [EPR22035-112] (AB223343)

Immunocytochemistry/ Immunofluorescence analysis of mouse primary neuron cells labeling Neurofilament/NF-L with purified ab223343 at 1/50 (9.4μg/mL). Cells were fixed in 4% paraformaldehyde and permeabilized with 0.1% Triton X-100. Cells were counterstained with ab11267 Anti-MAP2 antibody [HM-2]; ab150120 Goat Anti-Mouse IgG H&L (Alexa Fluor® 594). Goat anti rabbit IgG (Alexa Fluor® 488, ab150077) was used as the secondary antibody at 1/1000 (2 μg/mL) dilution. DAPI (blue) was used as nuclear counterstain. PBS instead of the primary antibody was used as the secondary antibody only control.
Confocal scanning Z step was set as 0.3 μm followed by image processing with maximum Z projection.

Immunoprecipitation - Anti-68kDa Neurofilament/NF-L antibody [EPR22035-112] (AB223343)
  • IP

Unknown

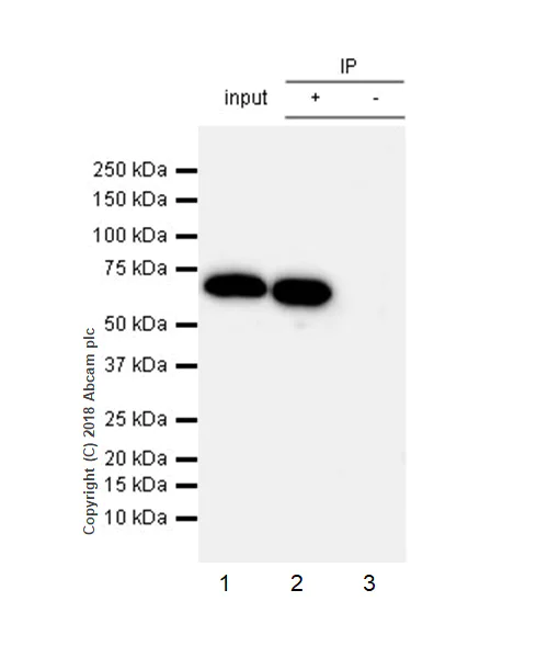
Immunoprecipitation - Anti-68kDa Neurofilament/NF-L antibody [EPR22035-112] (AB223343)

68kDa Neurofilament/NF-L was immunoprecipitated from 0.35 mg of mouse brain lysate with ab223343 at 1/30 dilution. Western blot was performed from the immunoprecipitate using ab223343 at 1/500 dilution. VeriBlot for IP Detection Reagent (HRP) (ab131366), was used for detection at 1/1000 dilution.

Lane 1 : Mouse brain lysate 10 μg (Input).
Lane 2 : ab223343 IP in mouse brain lysate.
Lane 3 : Rabbit monoclonal IgG (ab172730) instead of ab223343 in mouse brain lysate.

Blocking and dilution buffer and concentration : 5% NFDM/TBST.
Exposure time : 10 seconds.

All lanes:

Immunoprecipitation - Anti-68kDa Neurofilament/NF-L antibody [EPR22035-112] (ab223343)

Predicted band size: 62 kDa

Observed band size: 68 kDa

false

Western blot - Anti-68kDa Neurofilament/NF-L antibody [EPR22035-112] (AB223343)
  • WB

Lab

Western blot - Anti-68kDa Neurofilament/NF-L antibody [EPR22035-112] (AB223343)

Blocking and dilution buffer : 5% NFDM/TBST.

Negative control : Mouse liver (PMID : 2120242).

All lanes:

Western blot - Anti-68kDa Neurofilament/NF-L antibody [EPR22035-112] (ab223343) at 1/1000 dilution

Lane 1:

Human brain lysate at 20 µg

Lane 2:

Mouse brain lysate at 20 µg

Lane 3:

Rat brain lysate at 20 µg

Lane 4:

Mouse liver lysate at 20 µg

Secondary

All lanes:

Western blot - Goat Anti-Rabbit IgG H&L (HRP) (<a href='/products/secondary-antibodies/goat-rabbit-igg-h-l-hrp-ab97051'>ab97051</a>) at 1/100000 dilution

Predicted band size: 62 kDa

Observed band size: 68 kDa

false

Exposure time: 3min

不同偶联物与剂型 (4)

  • 665 Alexa Fluor® 647

    Alexa Fluor® 647 Anti-68kDa Neurofilament/NF-L antibody [EPR22035-112]

  • 565 Alexa Fluor® 555

    Alexa Fluor® 555 Anti-68kDa Neurofilament/NF-L antibody [EPR22035-112]

  • Carrier free

    Anti-68kDa Neurofilament/NF-L antibody [EPR22035-112] - BSA and Azide free

  • 519 Alexa Fluor® 488

    Alexa Fluor® 488 Anti-68kDa Neurofilament/NF-L antibody [EPR22035-112]

关键信息

宿主种属

Rabbit

克隆

Monoclonal

克隆号

EPR22035-112

亚型

IgG

不含载体蛋白

No

反应种属

Mouse, Rat, Human

应用

ICC/IF, IHC-P, WB, I-ELISA, IHC-Fr, IP

applications

免疫原

The exact immunogen used to generate this antibody is proprietary information.

反应性数据

{ "title": "Reactivity Data", "filters": { "stats": ["", "Species", "Dilution Info", "Notes"], "tabs": { "all-applications": {"fullname" : "All Applications", "shortname": "All Applications"}, "IELISA" : {"fullname" : "Indirect ELISA", "shortname":"I-ELISA"}, "IP" : {"fullname" : "Immunoprecipitation", "shortname":"IP"}, "WB" : {"fullname" : "Western blot", "shortname":"WB"}, "ICCIF" : {"fullname" : "Immunocytochemistry/ Immunofluorescence", "shortname":"ICC/IF"}, "IHCFr" : {"fullname" : "Immunohistochemistry (Frozen sections)", "shortname":"IHC-Fr"}, "IHCP" : {"fullname" : "Immunohistochemistry (Formalin/PFA-fixed paraffin-embedded sections)", "shortname":"IHC-P"} }, "product-promise": { "all": "all", "testedAndGuaranteed": "tested", "guaranteed": "expected", "predicted": "predicted", "notRecommended": "not-recommended" } }, "values": { "Human": { "IELISA-species-checked": "testedAndGuaranteed", "IELISA-species-dilution-info": "", "IELISA-species-notes": "<p></p>", "IP-species-checked": "guaranteed", "IP-species-dilution-info": "", "IP-species-notes": "", "WB-species-checked": "testedAndGuaranteed", "WB-species-dilution-info": "1/1000", "WB-species-notes": "<p></p>", "ICCIF-species-checked": "guaranteed", "ICCIF-species-dilution-info": "", "ICCIF-species-notes": "", "IHCFr-species-checked": "guaranteed", "IHCFr-species-dilution-info": "", "IHCFr-species-notes": "", "IHCP-species-checked": "testedAndGuaranteed", "IHCP-species-dilution-info": "1/4000", "IHCP-species-notes": "<p></p>" }, "Mouse": { "IELISA-species-checked": "guaranteed", "IELISA-species-dilution-info": "", "IELISA-species-notes": "", "IP-species-checked": "testedAndGuaranteed", "IP-species-dilution-info": "1/30", "IP-species-notes": "<p></p>", "WB-species-checked": "testedAndGuaranteed", "WB-species-dilution-info": "1/1000", "WB-species-notes": "<p></p>", "ICCIF-species-checked": "testedAndGuaranteed", "ICCIF-species-dilution-info": "1/50", "ICCIF-species-notes": "<p></p>", "IHCFr-species-checked": "testedAndGuaranteed", "IHCFr-species-dilution-info": "1/500", "IHCFr-species-notes": "<p></p>", "IHCP-species-checked": "testedAndGuaranteed", "IHCP-species-dilution-info": "1/4000", "IHCP-species-notes": "<p></p>" }, "Rat": { "IELISA-species-checked": "guaranteed", "IELISA-species-dilution-info": "", "IELISA-species-notes": "", "IP-species-checked": "guaranteed", "IP-species-dilution-info": "", "IP-species-notes": "", "WB-species-checked": "testedAndGuaranteed", "WB-species-dilution-info": "1/1000", "WB-species-notes": "<p></p>", "ICCIF-species-checked": "guaranteed", "ICCIF-species-dilution-info": "", "ICCIF-species-notes": "", "IHCFr-species-checked": "testedAndGuaranteed", "IHCFr-species-dilution-info": "1/500", "IHCFr-species-notes": "<p></p>", "IHCP-species-checked": "testedAndGuaranteed", "IHCP-species-dilution-info": "1/4000", "IHCP-species-notes": "<p></p>" } } }

产品详情

What is this antibody validated in?
Anti-68kDa Neurofilament/NF-L antibody [EPR22035-112] (ab223343) is a rabbit recombinant monoclonal antibody and is validated for use in Western Blot (WB), Immunoprecipitation (IP), Immunohistochemistry (IHC-P), Immunohistochemistry (IHC-Fr), Immunocytochemistry/immunofluorescence (ICC/IF), ELISA in Human, Mouse, Rat samples.

What is the molecular weight of 68kDa Neurofilament/NF-L?
Anti-68kDa Neurofilament/NF-L [EPR22035-112] (ab223343) specifically detects a band for 68kDa Neurofilament/NF-L (UniProt: P08551) at a molecular weight of 62kDa.

Trial sizes available!
Test your antibody or perform pre-screening before committing to a larger quantity. Sold in 10µl. Discover our selection of trial-size antibodies.

Other related products
We have a range of other formats of antibody clone [EPR22035-112] also available for your convenience: ab52989, Carrier free - ab236122, Alexa Fluor® 555 - ab307379

Patented technology
Our RabMAb® technology is a patented hybridoma-based technology for making rabbit monoclonal antibodies. For details on our patents, please refer to RabMAb® patents.

What are the advantages of a recombinant monoclonal antibody?
This product is a recombinant monoclonal antibody, which offers several advantages including:

  • - High batch-to-batch consistency and reproducibility
  • - Improved sensitivity and specificity
  • - Long-term security of supply
  • - Animal-free batch production

For more information, read more on recombinant antibodies.

性能和储存信息

形式
Liquid
纯化工艺
Affinity purification Protein A
存储溶液
pH: 7.2 - 7.4 Preservative: 0.01% Sodium azide Constituents: PBS, 40% Glycerol (glycerin, glycerine), 0.05% BSA
运输条件
Blue Ice
推荐的短期储存时间
1-2 weeks
推荐的短期储存条件
+4°C
推荐的长期储存条件
-20°C
分装信息
Upon delivery aliquot
储存信息
Avoid freeze / thaw cycle

补充信息

This supplementary information is collated from multiple sources and compiled automatically.

The 68kDa Neurofilament also known as NF-L or neurofilament light plays a mechanical role in maintaining the structural integrity of neurons. This protein is characterized by its mass of 68 kilodaltons. It expresses specifically in the cytoplasm of neurons where it forms a critical part of the neurofilament protein triplet along with NF-M and NF-H. These components collectively form the intermediate filaments found in the neuron axons providing essential structural support.
Biological function summary

The neurofilament protein functions to stabilize the axonal diameter thereby affecting neuronal conductivity. It integrates into a complex with other neurofilament proteins and related molecules forming cross-bridges that aid in strengthening the cellular structure. This protein-protein interaction is vital for normal neuronal function and efficient nerve signal transmission.

Pathways

Neurofilament proteins contribute to cellular processes within the nervous system. It participates in the axonal transport pathway which includes the transport of synaptic vesicles and organelles along axons. This movement is facilitated by interactions with motor proteins like kinesin and dynein which help in moving these materials to their destinations. Additionally NF-L connects to actin filaments collaborating to sustain neuronal shape and function.

Neurofilament proteins have links to conditions such as amyotrophic lateral sclerosis (ALS) and Alzheimer's disease. Elevated levels of NF-L are often observed in ALS suggesting neuronal damage as axonal injury raises the protein's presence in the cerebrospinal fluid. Similarly in Alzheimer's disease aberrant interaction of tau protein with neurofilament proteins disrupts neuronal function. These connections highlight NF-L's potential as a biomarker for neural injury and neurodegenerative diseases.

产品实验方案

For this product, it's our understanding that no specific protocols are required. You can visit:

靶点信息

Neurofilaments usually contain three intermediate filament proteins : NEFL, NEFM, and NEFH which are involved in the maintenance of neuronal caliber. May additionally cooperate with the neuronal intermediate filament proteins PRPH and INA to form neuronal filamentous networks (By similarity).
See full target information NEFL

文献 (22)

Recent publications for all applications. Explore the full list and refine your search

CNS neuroscience & therapeutics 31:e70525 PubMed40702743

2025

Transcranial iTBS Combined With Trans-Spinal iTBS Targeting PDE1A/cAMP/PKA Axis Regulates Neural Regeneration After Spinal Cord Injury.

Applications

Unspecified application

Species

Unspecified reactive species

Yingxue Fu,Xianbin Wang,Xingyu Chen,Shuang Wu

Frontiers in molecular neuroscience 16:1208954 PubMed38299127

2024

A novel hydro-pneumatic fluid percussion device for inducing traumatic brain injury: assessment of sensory, motor, cognitive, molecular, and morphological outcomes in rodents.

Applications

Unspecified application

Species

Unspecified reactive species

Alberto Morales-Villagrán,Juan C Salazar-Sánchez,Gustavo A Chiprés-Tinajero,Laura Medina-Ceja,Jorge Ortega-Ibarra

Prostaglandins & other lipid mediators 169:106769 PubMed37625781

2023

A novel HSPB1 mouse model of Charcot-Marie-Tooth Disease.

Applications

Unspecified application

Species

Unspecified reactive species

Keila S Espinoza,Kyra N Hermanson,Cameron A Beard,Nicholas U Schwartz,Justin M Snider,Benjamin E Low,Michael V Wiles,Yusuf A Hannun,Lina M Obeid,Ashley J Snider

Cell reports 42:112784 PubMed37428632

2023

Early developmental deletion of forebrain Ank2 causes seizure-related phenotypes by reshaping the synaptic proteome.

Applications

Unspecified application

Species

Unspecified reactive species

Sehyoun Yoon,Marc Dos Santos,Marc P Forrest,Christopher P Pratt,Natalia Khalatyan,Peter J Mohler,Jeffrey N Savas,Peter Penzes

Acta biochimica Polonica 70:253-260 PubMed37306552

2023

Hsa_circ_0023826 protects against glaucoma by regulating miR-188-3p/MDM4 axis.

Applications

Unspecified application

Species

Unspecified reactive species

Bin Qu,Jing Wang,Yan Li,XiaoWei Wu,MingYing Zhang

Frontiers in molecular neuroscience 16:1146329 PubMed37305554

2023

Muscle-derived stem cell exosomes with overexpressed miR-214 promote the regeneration and repair of rat sciatic nerve after crush injury to activate the JAK2/STAT3 pathway by targeting PTEN.

Applications

Unspecified application

Species

Unspecified reactive species

Xiangyu Zeng,Wei Bian,Ziwen Liu,Jianming Li,Shuai Ren,Jian Zhang,Haoran Zhang,Bu Tegeleqi,Guanyi He,Mingyan Guan,Zewei Gao,Chi Huang,Jianyu Liu

Brain and behavior 13:e3043 PubMed37165750

2023

Combined treatment of high-intensity interval training with neural stem cell generation on contusive model of spinal cord injury in rats.

Applications

Unspecified application

Species

Unspecified reactive species

Reza Keikhaei,Elahe Abdi,Marzieh Darvishi,Zohreh Ghotbeddin,Hatef Ghasemi Hamidabadi

Neural regeneration research 18:1990-1998 PubMed36926724

2023

Low-temperature 3D-printed collagen/chitosan scaffolds loaded with exosomes derived from neural stem cells pretreated with insulin growth factor-1 enhance neural regeneration after traumatic brain injury.

Applications

Unspecified application

Species

Unspecified reactive species

Xiao-Yin Liu,Yin-He Feng,Qing-Bo Feng,Jian-Yong Zhang,Lin Zhong,Peng Liu,Shan Wang,Yan-Ruo Huang,Xu-Yi Chen,Liang-Xue Zhou

Journal of experimental & clinical cancer research : CR 41:350 PubMed36527158

2022

An organoid library of salivary gland tumors reveals subtype-specific characteristics and biomarkers.

Applications

Unspecified application

Species

Unspecified reactive species

Bo Wang,Jiaxing Gan,Zhengyan Liu,Zhixuan Hui,Jinhui Wei,Xiaolian Gu,Yabing Mu,Guangxiang Zang

Nature communications 13:7463 PubMed36460667

2022

Bead-jet printing enabled sparse mesenchymal stem cell patterning augments skeletal muscle and hair follicle regeneration.

Applications

Unspecified application

Species

Unspecified reactive species

Yuanxiong Cao,Jiayi Tan,Haoran Zhao,Ting Deng,Yunxia Hu,Junhong Zeng,Jiawei Li,Yifan Cheng,Jiyuan Tang,Zhiwei Hu,Keer Hu,Bing Xu,Zitian Wang,Yaojiong Wu,Peter E Lobie,Shaohua Ma
View all publications

Abcam Product Promise

我们致力于为您的研究提供高质量的试剂,为您科研的每一步提供支持。若我们的产品未能达到预期性能,我们向您提供 Abcam Product Promise 保障。
详情请参阅我们的条款与条件。

Please note: All products are 'FOR RESEARCH USE ONLY. NOT FOR USE IN DIAGNOSTIC OR THERAPEUTIC PROCEDURES'.

For licensing inquiries, please contact partnerships@abcam.com