JavaScript is disabled in your browser. Please enable JavaScript to view this website.
AB218314

重组Anti-4R Tau抗体[EPR21725]

Anti-4R Tau antibody [EPR21725]

5

(1 Review)

|

(10 Publications)

Anti-4R Tau antibody [EPR21725] (ab218314) is a rabbit monoclonal antibody detecting 4R Tau in Western Blot, IP, IHC-P. Suitable for Human, Mouse, Rat.

- Biophysical QC for unrivalled batch-batch consistency

查看别名

MAPTL, MTBT1, TAU, MAPT, Microtubule-associated protein tau, Neurofibrillary tangle protein, Paired helical filament-tau, PHF-tau

9 Images
Immunohistochemistry (Formalin/PFA-fixed paraffin-embedded sections) - Anti-4R Tau antibody [EPR21725] (AB218314)
  • IHC-P

Supplier Data

Immunohistochemistry (Formalin/PFA-fixed paraffin-embedded sections) - Anti-4R Tau antibody [EPR21725] (AB218314)

Immunohistochemical analysis of paraffin-embedded human cerebrum tissue labeling 4R Tau with ab218314 at 1/500 dilution, followed by a ready to use Goat Anti-Rabbit IgG H&L (HRP). Cytoplasmic staining in human cerebrum is observed. Counterstained with hematoxylin.
Secondary antibody only control : Used PBS instead of primary antibody, secondary antibody is a ready to use Goat Anti-Rabbit IgG H&L (HRP).
Perform heat mediated antigen retrieval using ab93684 (Tris/EDTA buffer, pH 9.0).

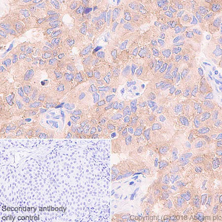
Immunohistochemistry (Formalin/PFA-fixed paraffin-embedded sections) - Anti-4R Tau antibody [EPR21725] (AB218314)
  • IHC-P

Supplier Data

Immunohistochemistry (Formalin/PFA-fixed paraffin-embedded sections) - Anti-4R Tau antibody [EPR21725] (AB218314)

Immunohistochemical analysis of paraffin-embedded human breast carcinoma tissue labeling 4R Tau with ab218314 at 1/500 dilution, followed by a ready to use Goat Anti-Rabbit IgG H&L (HRP). Cytoplasmic staining on human breast carcinoma (PMID : 15914550) is observed. Counterstained with hematoxylin.
Secondary antibody only control : Used PBS instead of primary antibody, secondary antibody is a ready to use Goat Anti-Rabbit IgG H&L (HRP).
Perform heat mediated antigen retrieval using ab93684 (Tris/EDTA buffer, pH 9.0).

Immunohistochemistry (Formalin/PFA-fixed paraffin-embedded sections) - Anti-4R Tau antibody [EPR21725] (AB218314)
  • IHC-P

Supplier Data

Immunohistochemistry (Formalin/PFA-fixed paraffin-embedded sections) - Anti-4R Tau antibody [EPR21725] (AB218314)

Immunohistochemical analysis of paraffin-embedded mouse cerebrum tissue labeling 4R Tau with ab218314 at 1/500 dilution, followed by a ready to use Goat Anti-Rabbit IgG H&L (HRP). Cytoplasmic staining on mouse cerebrum (PMID : 18925637) is observed. Counterstained with hematoxylin.
Secondary antibody only control : Used PBS instead of primary antibody, secondary antibody is a ready to use Goat Anti-Rabbit IgG H&L (HRP).
Perform heat mediated antigen retrieval using ab93684 (Tris/EDTA buffer, pH 9.0).

Immunohistochemistry (Formalin/PFA-fixed paraffin-embedded sections) - Anti-4R Tau antibody [EPR21725] (AB218314)
  • IHC-P

Supplier Data

Immunohistochemistry (Formalin/PFA-fixed paraffin-embedded sections) - Anti-4R Tau antibody [EPR21725] (AB218314)

Immunohistochemical analysis of paraffin-embedded rat cerebral cortex tissue labeling 4R Tau with ab218314 at 1/500 dilution, followed by a ready to use Goat Anti-Rabbit IgG H&L (HRP). Cytoplasmic staining on rat cerebral cortex is observed. Counterstained with hematoxylin.
Secondary antibody only control : Used PBS instead of primary antibody, secondary antibody is a ready to use Goat Anti-Rabbit IgG H&L (HRP).
Perform heat mediated antigen retrieval using ab93684 (Tris/EDTA buffer, pH 9.0).

Immunohistochemistry (Formalin/PFA-fixed paraffin-embedded sections) - Anti-4R Tau antibody [EPR21725] (AB218314)
  • IHC-P

Supplier Data

Immunohistochemistry (Formalin/PFA-fixed paraffin-embedded sections) - Anti-4R Tau antibody [EPR21725] (AB218314)

Immunohistochemical analysis of paraffin-embedded mouse colon tissue labeling 4R Tau with ab218314 at 1/500 dilution, followed by a ready to use Goat Anti-Rabbit IgG H&L (HRP). Cytoplasmic staining on myenteric plexus of mouse colon is observed. Counterstained with hematoxylin.
Secondary antibody only control : Used PBS instead of primary antibody, secondary antibody is a ready to use Goat Anti-Rabbit IgG H&L (HRP).
Perform heat mediated antigen retrieval using ab93684 (Tris/EDTA buffer, pH 9.0).

Immunohistochemistry (Formalin/PFA-fixed paraffin-embedded sections) - Anti-4R Tau antibody [EPR21725] (AB218314)
  • IHC-P

Supplier Data

Immunohistochemistry (Formalin/PFA-fixed paraffin-embedded sections) - Anti-4R Tau antibody [EPR21725] (AB218314)

Immunohistochemical analysis of paraffin-embedded rat colon tissue labeling 4R Tau with ab218314 at 1/500 dilution, followed by a ready to use Goat Anti-Rabbit IgG H&L (HRP). Cytoplasmic staining on myenteric plexus of rat colon is observed. Counterstained with hematoxylin.
Secondary antibody only control : Used PBS instead of primary antibody, secondary antibody is a ready to use Goat Anti-Rabbit IgG H&L (HRP).
Perform heat mediated antigen retrieval using ab93684 (Tris/EDTA buffer, pH 9.0).

Immunoprecipitation - Anti-4R Tau antibody [EPR21725] (AB218314)
  • IP

Unknown

Immunoprecipitation - Anti-4R Tau antibody [EPR21725] (AB218314)

4R Tau was immunoprecipitated from 0.35 mg rat hippocampus lysate 10 μg with ab218314 at 1/30 dilution (2μg in 0.35mg lysates). Western blot was performed on the immunoprecipitate using ab218314 at 1/1000 dilution. VeriBlot for IP Detection Reagent (HRP)(ab131366) was used at 1/5000 dilution.

Lane 1 : Rat hippocampus lysate 10 μg

Lane 2 : ab218314 IP in rat hippocampus lysate

Lane 3 : Rabbit monoclonal IgG (ab172730) instead of ab218314 in rat hippocampus lysate

Blocking and dilution buffer and concentration : 5% NFDM/TBST.

Exposure time : 8 s

All lanes:

Immunoprecipitation - Anti-4R Tau antibody [EPR21725] (ab218314)

false

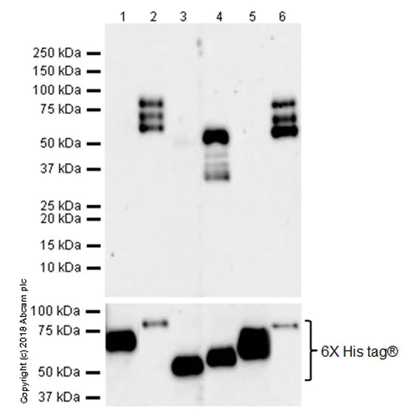
Western blot - Anti-4R Tau antibody [EPR21725] (AB218314)
  • WB

Supplier Data

Western blot - Anti-4R Tau antibody [EPR21725] (AB218314)

Blocking/Dilution buffer : 5% NFDM/TBST.

This antibody specifically recognizes 0N4R, 1N4R and 2N4R tau recombinant proteins. The lower bands maybe degraded tau fragments (PMID : 28045602).

All lanes:

Western blot - Anti-4R Tau antibody [EPR21725] (ab218314) at 1/1000 dilution

Lane 1:

His-tagged human 2N3R Tau recombinant protein (aa1-410) 10 ng

Lane 2:

His-tagged human 2N4R Tau recombinant protein (aa1-441) 10ng

Lane 3:

His-tagged human 0N3R Tau recombinant protein (aa1-352) 10ng

Lane 4:

His-tagged human 0N4R Tau recombinant protein (aa1-383) 10ng

Lane 5:

His-tagged human 1N3R Tau recombinant protein (aa1-381) 10ng

Lane 6:

His-tagged human 1N4R Tau recombinant protein (aa1-412) 10ng

Secondary

All lanes:

Western blot - Goat Anti-Rabbit IgG H&L (HRP) (<a href='/products/secondary-antibodies/goat-rabbit-igg-h-l-hrp-ab97051'>ab97051</a>) at 1/100000 dilution

Predicted band size: 79 kDa

false

Exposure time: 3min

Western blot - Anti-4R Tau antibody [EPR21725] (AB218314)
  • WB

Supplier Data

Western blot - Anti-4R Tau antibody [EPR21725] (AB218314)

Negative control : Mouse stomach PMID : 8752131; PMID : 11727254.

Blocking/Dilution buffer : 5% NFDM/TBST.

Exposure times : Lanes 1-4 : 3 minutes; Lanes 5 : 37 seconds.

All lanes:

Western blot - Anti-4R Tau antibody [EPR21725] (ab218314) at 1/1000 dilution

Lane 1:

Human hippocampus lysate at 20 µg

Lane 2:

Mouse hippocampus lysate at 20 µg

Lane 3:

Mouse brain lysate at 20 µg

Lane 4:

Mouse stomach lysate at 20 µg

Lane 5:

Rat hippocampus lysate at 20 µg

Secondary

Lane 1:

Western blot - VeriBlot for IP Detection Reagent (HRP) (<a href='/products/reagents/veriblot-for-ip-detection-reagent-hrp-ab131366'>ab131366</a>) at 1/1000 dilution

Lanes 2 - 5:

Western blot - Goat Anti-Rabbit IgG H&L (HRP) (<a href='/products/secondary-antibodies/goat-rabbit-igg-h-l-hrp-ab97051'>ab97051</a>) at 1/100000 dilution

Predicted band size: 79 kDa

true

不同偶联物与剂型 (8)

  • Carrier free

    Anti-4R Tau antibody [EPR21725] - BSA and Azide free

  • 617 Alexa Fluor® 594

    Alexa Fluor® 594 Anti-4R Tau antibody [EPR21725]

  • 578 PE

    PE Anti-4R Tau antibody [EPR21725]

  • 665 Alexa Fluor® 647

    Alexa Fluor® 647 Anti-4R Tau antibody [EPR21725]

  • 565 Alexa Fluor® 555

    Alexa Fluor® 555 Anti-4R Tau antibody [EPR21725]

  • 519 Alexa Fluor® 488

    Alexa Fluor® 488 Anti-4R Tau antibody [EPR21725]

  • 660 APC

    APC Anti-4R Tau antibody [EPR21725]

  • 775 Alexa Fluor® 750

    Alexa Fluor® 750 Anti-4R Tau antibody [EPR21725]

关键信息

宿主种属

Rabbit

克隆

Monoclonal

克隆号

EPR21725

亚型

IgG

不含载体蛋白

No

反应种属

Mouse, Rat, Human

应用

IHC-P, WB, IP

applications

免疫原

The exact immunogen used to generate this antibody is proprietary information.

反应性数据

{ "title": "Reactivity Data", "filters": { "stats": ["", "Species", "Dilution Info", "Notes"], "tabs": { "all-applications": {"fullname" : "All Applications", "shortname": "All Applications"}, "IP" : {"fullname" : "Immunoprecipitation", "shortname":"IP"}, "WB" : {"fullname" : "Western blot", "shortname":"WB"}, "IHCP" : {"fullname" : "Immunohistochemistry (Formalin/PFA-fixed paraffin-embedded sections)", "shortname":"IHC-P"}, "IHCFr" : {"fullname" : "Immunohistochemistry (Frozen sections)", "shortname":"IHC-Fr"} }, "product-promise": { "all": "all", "testedAndGuaranteed": "tested", "guaranteed": "expected", "predicted": "predicted", "notRecommended": "not-recommended" } }, "values": { "Human": { "IP-species-checked": "guaranteed", "IP-species-dilution-info": "", "IP-species-notes": "", "WB-species-checked": "testedAndGuaranteed", "WB-species-dilution-info": "1/1000", "WB-species-notes": "<p></p>", "IHCP-species-checked": "testedAndGuaranteed", "IHCP-species-dilution-info": "1/500", "IHCP-species-notes": "<p></p>", "IHCFr-species-checked": "notRecommended", "IHCFr-species-dilution-info": "", "IHCFr-species-notes": "<p></p>" }, "Mouse": { "IP-species-checked": "guaranteed", "IP-species-dilution-info": "", "IP-species-notes": "", "WB-species-checked": "testedAndGuaranteed", "WB-species-dilution-info": "1/1000", "WB-species-notes": "<p></p>", "IHCP-species-checked": "testedAndGuaranteed", "IHCP-species-dilution-info": "1/500", "IHCP-species-notes": "<p></p>", "IHCFr-species-checked": "notRecommended", "IHCFr-species-dilution-info": "", "IHCFr-species-notes": "<p></p>" }, "Rat": { "IP-species-checked": "testedAndGuaranteed", "IP-species-dilution-info": "1/30", "IP-species-notes": "<p></p>", "WB-species-checked": "testedAndGuaranteed", "WB-species-dilution-info": "1/1000", "WB-species-notes": "<p></p>", "IHCP-species-checked": "testedAndGuaranteed", "IHCP-species-dilution-info": "1/500", "IHCP-species-notes": "<p></p>", "IHCFr-species-checked": "notRecommended", "IHCFr-species-dilution-info": "", "IHCFr-species-notes": "<p></p>" }, "Recombinant fragment - Human": { "IP-species-checked": "notRecommended", "IP-species-dilution-info": "", "IP-species-notes": "", "WB-species-checked": "testedAndGuaranteed", "WB-species-dilution-info": "1/1000", "WB-species-notes": "<p></p>", "IHCP-species-checked": "notRecommended", "IHCP-species-dilution-info": "", "IHCP-species-notes": "", "IHCFr-species-checked": "notRecommended", "IHCFr-species-dilution-info": "", "IHCFr-species-notes": "" } } }

产品详情

What is this antibody validated in?
Anti-4R Tau antibody [EPR21725] (ab218314) is a rabbit recombinant monoclonal antibody and is validated for use in Western Blot (WB), Immunoprecipitation (IP), Immunohistochemistry (IHC-P) in Human, Mouse, Rat samples.

Trial sizes available!
Test your antibody or perform pre-screening before committing to a larger quantity. Sold in 10µl. Discover our selection of trial-size antibodies.

Other related products
We have a range of other formats of antibody clone [EPR21725] also available for your convenience: ab218314, Carrier free - ab242333, APC - ab319233, PE - ab319381, Alexa Fluor® 488 - ab319515, Alexa Fluor® 647 - ab319628, Alexa Fluor® 594 - ab319732, Alexa Fluor® 555 - ab319874, Alexa Fluor® 750 - ab321398

Patented technology
Our RabMAb® technology is a patented hybridoma-based technology for making rabbit monoclonal antibodies. For details on our patents, please refer to RabMAb® patents.

What are the advantages of a recombinant monoclonal antibody?
This product is a recombinant monoclonal antibody, which offers several advantages including:

  • - High batch-to-batch consistency and reproducibility
  • - Improved sensitivity and specificity
  • - Long-term security of supply
  • - Animal-free batch production

For more information, read more on recombinant antibodies.

性能和储存信息

形式
Liquid
纯化工艺
Affinity purification Protein A
存储溶液
pH: 7.2 - 7.4 Preservative: 0.01% Sodium azide Constituents: PBS, 40% Glycerol (glycerin, glycerine), 0.05% BSA
运输条件
Blue Ice
推荐的短期储存时间
1-2 weeks
推荐的短期储存条件
+4°C
推荐的长期储存条件
-20°C
分装信息
Upon delivery aliquot
储存信息
Avoid freeze / thaw cycle

补充信息

This supplementary information is collated from multiple sources and compiled automatically.

4R Tau also known as the 4-repeat tau protein plays a significant role in the stabilization of microtubules in neurons. This protein appears mainly in the human central nervous system where it assists in axonal structure and transport. 4R Tau has a molecular weight of approximately 65 kDa. The expression of 4R Tau occurs mostly in neurons although its presence can also be detected in other cell types within the brain.
Biological function summary

4R Tau is a component essential for the assembly and maintenance of neuronal microtubules. It regulates microtubule dynamics by binding and enhancing their stability important for maintaining cellular and axonal integrity. In mature neurons 4R Tau exists as part of a complex with tubulin forming an important element for axonal morphology. Its function extends further into modulating neuronal growth and signal transmission which directly impacts neural connectivity.

Pathways

4R Tau is integral within the microtubule-associated protein tau (MAPT) signaling pathways. It interacts with other proteins that influence microtubule assembly and stability such as tubulin and MAP2 playing a significant role in cytoskeletal development. Additionally 4R Tau is involved in the protein folding pathways regulated by chaperones like Heat Shock Protein 70 (Hsp70) which affect its aggregation and function within neural cells.

4R Tau is closely associated with neurodegenerative conditions such as Alzheimer's disease and frontotemporal dementia. Aberrant phosphorylation and aggregation of 4R Tau drive pathological tau tangles which disrupt neural networks and lead to cognitive decline. In Alzheimer's the protein's dysfunction is linked with amyloid-beta peptide which accelerates tau pathology progression. Similarly in frontotemporal dementia 4R Tau's abnormal activity is influenced by interactions with proteins such as TDP-43 highlighting its central role in these neurodegenerative disorders.

产品实验方案

For this product, it's our understanding that no specific protocols are required. You can visit:

靶点信息

The protein expressed by the MAPT gene promotes microtubule assembly and stability and might be involved in establishing and maintaining neuronal polarity. Its C-terminus binds axonal microtubules, and the N-terminus binds neural plasma membrane components, suggesting that tau functions as a linker protein between the two. Axonal polarity is predetermined by MAPT localization within the neuronal cell's domain defined by the centrosome. The short isoforms allow cytoskeleton plasticity, whereas the longer isoforms may preferentially play a role in its stabilization. This supplementary information is collated from multiple sources and compiled automatically.
See full target information MAPT

其他靶点

MAPT,TAU_HUMAN

文献 (10)

Recent publications for all applications. Explore the full list and refine your search

Neuron 113:3601-3615.e7 PubMed40902597

2025

Polyserine-mediated targeting of FAF2/UBXD8 ameliorates tau aggregation.

Applications

Unspecified application

Species

Unspecified reactive species

Meaghan Van Alstyne,Georgia Brown,Vanessa L Nguyen,Mani Ramaswami,Charles A Hoeffer,Roy Parker

Biomolecules 15: PubMed40563512

2025

A Single-Chain Variable Fragment Antibody Alleviates Inflammation and Apoptosis of Neurons by Inhibiting Tau Aggregation.

Applications

Unspecified application

Species

Unspecified reactive species

Zongbao Wang,Jingye Lin,Peipei Chang,Mingzhu Sun,Sen Li

Alzheimer's & dementia : the journal of the Alzheimer's Association 20:5198-5219 PubMed39030748

2024

Temporal progression of tau pathology and neuroinflammation in a rhesus monkey model of Alzheimer's disease.

Applications

Unspecified application

Species

Unspecified reactive species

Danielle Beckman,Giovanne B Diniz,Sean Ott,Brad Hobson,Abhijit J Chaudhari,Scott Muller,Yaping Chu,Akihiro Takano,Adam J Schwarz,Chien-Lin Yeh,Paul McQuade,Paramita Chakrabarty,Nicholas M Kanaan,Maria S Quinton,Arthur A Simen,Jeffrey H Kordower,John H Morrison

Nature medicine 30:1771-1783 PubMed38890531

2024

Plasma extracellular vesicle tau and TDP-43 as diagnostic biomarkers in FTD and ALS.

Applications

Unspecified application

Species

Unspecified reactive species

Madhurima Chatterjee,Selcuk Özdemir,Christian Fritz,Wiebke Möbius,Luca Kleineidam,Eckhard Mandelkow,Jacek Biernat,Cem Doğdu,Oliver Peters,Nicoleta Carmen Cosma,Xiao Wang,Luisa-Sophia Schneider,Josef Priller,Eike Spruth,Andrea A Kühn,Patricia Krause,Thomas Klockgether,Ina R Vogt,Okka Kimmich,Annika Spottke,Daniel C Hoffmann,Klaus Fliessbach,Carolin Miklitz,Cornelia McCormick,Patrick Weydt,Björn Falkenburger,Moritz Brandt,René Guenther,Elisabeth Dinter,Jens Wiltfang,Niels Hansen,Mathias Bähr,Inga Zerr,Agnes Flöel,Peter J Nestor,Emrah Düzel,Wenzel Glanz,Enise Incesoy,Katharina Bürger,Daniel Janowitz,Robert Perneczky,Boris S Rauchmann,Franziska Hopfner,Olivia Wagemann,Johannes Levin,Stefan Teipel,Ingo Kilimann,Doreen Goerss,Johannes Prudlo,Thomas Gasser,Kathrin Brockmann,David Mengel,Milan Zimmermann,Matthis Synofzik,Carlo Wilke,Judit Selma-González,Janina Turon-Sans,Miguel Angel Santos-Santos,Daniel Alcolea,Sara Rubio-Guerra,Juan Fortea,Álvaro Carbayo,Alberto Lleó,Ricardo Rojas-García,Ignacio Illán-Gala,Michael Wagner,Ingo Frommann,Sandra Roeske,Lucas Bertram,Michael T Heneka,Frederic Brosseron,Alfredo Ramirez,Matthias Schmid,Rudi Beschorner,Annett Halle,Jochen Herms,Manuela Neumann,Nicolas R Barthélemy,Randall J Bateman,Patrizia Rizzu,Peter Heutink,Oriol Dols-Icardo,Günter Höglinger,Andreas Hermann,Anja Schneider

Acta neuropathologica communications 12:94 PubMed38867338

2024

Cryo-EM structures reveal tau filaments from Down syndrome adopt Alzheimer's disease fold.

Applications

Unspecified application

Species

Unspecified reactive species

Ujjayini Ghosh,Eric Tse,Hyunjun Yang,Marie Shi,Christoffer D Caro,Feng Wang,Gregory E Merz,Stanley B Prusiner,Daniel R Southworth,Carlo Condello

Neuroscience 522:42-56 PubMed37142182

2023

Progressive Dysregulation of Tau Phosphorylation in an Animal Model of Temporal Lobe Epilepsy.

Applications

Unspecified application

Species

Unspecified reactive species

F A Concepcion,N A Ekstrom,M N Khan,O O Estes,N P Poolos

The Journal of comparative neurology 531:1198-1216 PubMed37098996

2023

Expression of tau and phosphorylated tau in the brain of normal and hemiparkinsonian rhesus macaques.

Applications

Unspecified application

Species

Unspecified reactive species

Julia C Gambardella,Wyatt Schoephoerster,Viktoriya Bondarenko,Brian S Yandell,Marina E Emborg

Alzheimer's & dementia : the journal of the Alzheimer's Association 17:933-945 PubMed33734581

2021

A novel tau-based rhesus monkey model of Alzheimer's pathogenesis.

Applications

Unspecified application

Species

Unspecified reactive species

Danielle Beckman,Paramita Chakrabarty,Sean Ott,Amanda Dao,Eric Zhou,William G Janssen,Kristine Donis-Cox,Scott Muller,Jeffrey H Kordower,John H Morrison

Frontiers in neuroscience 14:145 PubMed32194369

2020

Neurodegeneration-Associated Proteins in Human Olfactory Neurons Collected by Nasal Brushing.

Applications

ICC

Species

Human

Lorenzo Brozzetti,Luca Sacchetto,Maria Paola Cecchini,Anna Avesani,Daniela Perra,Matilde Bongianni,Corinne Portioli,Maria Scupoli,Bernardino Ghetti,Salvatore Monaco,Mario Buffelli,Gianluigi Zanusso

Redox biology 10:233-242 PubMed27810738

2016

Hydroxytyrosol inhibits hydrogen peroxide-induced apoptotic signaling via labile iron chelation.

Applications

Unspecified application

Species

Unspecified reactive species

Natalia Kitsati,Michalis D Mantzaris,Dimitrios Galaris
View all publications

Abcam Product Promise

我们致力于为您的研究提供高质量的试剂,为您科研的每一步提供支持。若我们的产品未能达到预期性能,我们向您提供 Abcam Product Promise 保障。
详情请参阅我们的条款与条件。

Please note: All products are 'FOR RESEARCH USE ONLY. NOT FOR USE IN DIAGNOSTIC OR THERAPEUTIC PROCEDURES'.

For licensing inquiries, please contact partnerships@abcam.com