JavaScript is disabled in your browser. Please enable JavaScript to view this website.
AB254348

重组Anti-160 kD Neurofilament Medium抗体[EPR23510-76]

Anti-160 kD Neurofilament Medium antibody [EPR23510-76] - Neuronal Marker

  • BOND RX™ Validated
  • 20ul selling size
  • RabMAb
  • Recombinant
  • KO Validated
  • 了解详情

Be the first to review this product! Submit a review

|

(6 Publications)

Rabbit Recombinant Monoclonal NFM antibody. Suitable for ICC/IF, IP, Flow Cyt (Intra), ELISA, WB, IHC-Fr, IHC-P and reacts with Mouse, Rat, Human samples. Cited in 6 publications.

查看别名

NEF3, NFM, NEFM, Neurofilament medium polypeptide, NF-M, 160 kDa neurofilament protein, Neurofilament 3, Neurofilament triplet M protein

21 Images
Flow Cytometry (Intracellular) - Anti-160 kD Neurofilament Medium antibody [EPR23510-76] - Neuronal Marker (AB254348)
  • Flow Cyt (Intra)

Supplier Data

Flow Cytometry (Intracellular) - Anti-160 kD Neurofilament Medium antibody [EPR23510-76] - Neuronal Marker (AB254348)

Flow cytometric analysis of 4% paraformaldehyde fixed 90% methanol permeabilized wild-type HEK-293T (human embryonic kidney epithelial cell, Right)/ 160 kD Neurofilament Medium knockout HEK-293T cells (Left) labelling 160 kD Neurofilament Medium with ab254348 at 1/500 dilution (0.1 μg). A Goat anti rabbit IgG (Alexa Fluor® 488, ab150077) at 1/2000 dilution was used as the secondary antibody.

Positive staining on human wild-type HEK-293T cell line (ab255449), while no staining on human NEFM knockout HEK-293T cells (ab266741).

Immunocytochemistry/ Immunofluorescence - Anti-160 kD Neurofilament Medium antibody [EPR23510-76] - Neuronal Marker (AB254348)
  • ICC/IF

Supplier Data

Immunocytochemistry/ Immunofluorescence - Anti-160 kD Neurofilament Medium antibody [EPR23510-76] - Neuronal Marker (AB254348)

Immunofluorescent analysis of parental HEK-293T (EDWT04) and NEFM KO HEK-293T (ED040746) cells labelling 160 kD Neurofilament Medium with ab254348 at 1/50 (8.86 μg/ml) dilution, followed by ab150077 Goat Anti-Rabbit IgG H&L (Alexa Fluor® 488) antibody at 1/1000 dilution (Green). ab195889 Anti-alpha Tubulin mouse monoclonal antibody - Microtubule Marker (Alexa Fluor® 594) was used to counterstain tubulin at 1/200 dilution (Red). The nuclear counterstain was (Blue).

Confocal image showing cytoplasmic staining in parental HEK-293T cells and no staining in NEFM KO HEK-293T cells.

Secondary antibody only control : Secondary antibody is ab150077 Goat Anti-Rabbit IgG H&L (Alexa Fluor® 488) at 1/1000 dilution.

Immunohistochemistry (Formalin/PFA-fixed paraffin-embedded sections) - Anti-160 kD Neurofilament Medium antibody [EPR23510-76] - Neuronal Marker (AB254348)
  • IHC-P

Supplier Data

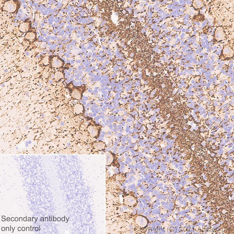
Immunohistochemistry (Formalin/PFA-fixed paraffin-embedded sections) - Anti-160 kD Neurofilament Medium antibody [EPR23510-76] - Neuronal Marker (AB254348)

Immunohistochemical analysis of paraffin-embedded human cerebellum tissue labelling 160 kD Neurofilament Medium with ab254348 at 1/4000 (0.111 μg/ml) dilution followed by ready to use LeicaDS9800 (Bond™ Polymer Refine Detection). The section was incubated with ab254348 for 30 mins at room temperature. The immunostaining was performed on a Leica Biosystems BOND® RX instrument. Counterstained with Hematoxylin.

Positive staining on human cerebellum.

Secondary antibody only control : Secondary antibody is ready to use LeicaDS9800 (Bond™ Polymer Refine Detection).

Heat mediated antigen retrieval with Tris-EDTA buffer (pH 9.0, epitope retrieval solution2) for 20 mins.

Immunohistochemistry (Formalin/PFA-fixed paraffin-embedded sections) - Anti-160 kD Neurofilament Medium antibody [EPR23510-76] - Neuronal Marker (AB254348)
  • IHC-P

Supplier Data

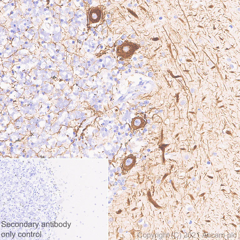
Immunohistochemistry (Formalin/PFA-fixed paraffin-embedded sections) - Anti-160 kD Neurofilament Medium antibody [EPR23510-76] - Neuronal Marker (AB254348)

Immunohistochemical analysis of paraffin-embedded human cerebrum tissue labelling 160 kD Neurofilament Medium with ab254348 at 1/4000 (0.111 μg/ml) dilution followed by ready to use LeicaDS9800 (Bond™ Polymer Refine Detection). The section was incubated with ab254348 for 30 mins at room temperature. The immunostaining was performed on a Leica Biosystems BOND® RX instrument. Counterstained with Hematoxylin.

Positive staining on human cerebrum.

Secondary antibody only control : Secondary antibody is ready to use LeicaDS9800 (Bond™ Polymer Refine Detection).

Heat mediated antigen retrieval with Tris-EDTA buffer (pH 9.0, epitope retrieval solution2) for 20 mins.

Immunohistochemistry (Frozen sections) - Anti-160 kD Neurofilament Medium antibody [EPR23510-76] - Neuronal Marker (AB254348)
  • IHC-Fr

Supplier Data

Immunohistochemistry (Frozen sections) - Anti-160 kD Neurofilament Medium antibody [EPR23510-76] - Neuronal Marker (AB254348)

Immunohistochemical analysis of 4% PFA-fixed, 0.2% Triton X-100 permeabilized frozen mouse liver tissue labeling 160 kD Neurofilament Medium with ab254348 at 1/100 (4.43 μg/ml) dilution followed by ab150077 Goat Anti-Rabbit IgG H&L (Alexa Fluor® 488) at 1/1000 dilution (Green). The nuclear counterstain was DAPI (blue).

Negative control : No staining on mouse liver (PMID : 30541916) is observed.

Secondary antibody control : Secondary antibody is ab150077 Goat Anti-Rabbit IgG H&L (Alexa Fluor® 488) at 1/1000 dilution.

Heat mediated antigen retrieval using sodium citrate buffer (10mM citrate pH 6.0 + 0.05% Tween-20).

Immunohistochemistry (Formalin/PFA-fixed paraffin-embedded sections) - Anti-160 kD Neurofilament Medium antibody [EPR23510-76] - Neuronal Marker (AB254348)
  • IHC-P

Supplier Data

Immunohistochemistry (Formalin/PFA-fixed paraffin-embedded sections) - Anti-160 kD Neurofilament Medium antibody [EPR23510-76] - Neuronal Marker (AB254348)

Immunohistochemical analysis of paraffin-embedded mouse liver tissue labelling 160 kD Neurofilament Medium with ab254348 at 1/4000 (0.111 μg/ml) dilution followed by ready to use LeicaDS9800 (Bond™ Polymer Refine Detection). The section was incubated with ab254348 for 30 mins at room temperature. The immunostaining was performed on a Leica Biosystems BOND® RX instrument. Counterstained with Hematoxylin.

Negative control : No staining on mouse liver.

Secondary antibody only control : Secondary antibody is ready to use LeicaDS9800 (Bond™ Polymer Refine Detection).

Heat mediated antigen retrieval with Tris-EDTA buffer (pH 9.0, epitope retrieval solution2) for 20 mins.

Immunohistochemistry (Formalin/PFA-fixed paraffin-embedded sections) - Anti-160 kD Neurofilament Medium antibody [EPR23510-76] - Neuronal Marker (AB254348)
  • IHC-P

Supplier Data

Immunohistochemistry (Formalin/PFA-fixed paraffin-embedded sections) - Anti-160 kD Neurofilament Medium antibody [EPR23510-76] - Neuronal Marker (AB254348)

Immunohistochemical analysis of paraffin-embedded mouse cerebellum tissue labelling 160 kD Neurofilament Medium with ab254348 at 1/4000 (0.111 μg/ml) dilution followed by ready to use LeicaDS9800 (Bond™ Polymer Refine Detection). The section was incubated with ab254348 for 30 mins at room temperature. The immunostaining was performed on a Leica Biosystems BOND® RX instrument. Counterstained with Hematoxylin.

Positive staining on mouse cerebellum.

Secondary antibody only control : Secondary antibody is ready to use LeicaDS9800 (Bond™ Polymer Refine Detection).

Heat mediated antigen retrieval with Tris-EDTA buffer (pH 9.0, epitope retrieval solution2) for 20 mins.

Immunocytochemistry/ Immunofluorescence - Anti-160 kD Neurofilament Medium antibody [EPR23510-76] - Neuronal Marker (AB254348)
  • ICC/IF

Lab

Immunocytochemistry/ Immunofluorescence - Anti-160 kD Neurofilament Medium antibody [EPR23510-76] - Neuronal Marker (AB254348)

Immunofluorescent analysis of mouse primary neural/glia cells fixed with 4% Paraformaldehyde and permeabilised with 0.1% TritonX-100, labelling 160 kD Neurofilament Medium with ab254348 at 1/50 (8.86 μg/ml) dilution. ab11267 Anti-MAP2 mouse monoclonal antibody was used to counterstain at 1/500 (4 μg/ml). Followed by secondary ab150077 Goat Anti-Rabbit IgG H&L (Alexa Fluor® 488) antibody at 1/1000 (2 μg/ml) (Green). ab150120 Goat Anti-Mouse IgG H&L (Alexa Fluor® 594) was used as secondary counterstain at 1/1000 (2 μg/ml) (Red). The nuclear counterstain was DAPI (Blue).

Confocal image showing cytoplasmic staining in mouse primary neuron cells.
Confocal scanning Z step was set as 0.3 μm followed by image processing with maximum Z projection.

Negative Control 1 : ab150120 1/1000 (2 μg/ml)

Negative Control 2 : ab11267 1/500 (4 μg/ml), secondary : ab150077 1/1000 (2μg/ml)

Immunocytochemistry/ Immunofluorescence - Anti-160 kD Neurofilament Medium antibody [EPR23510-76] - Neuronal Marker (AB254348)
  • ICC/IF

Lab

Immunocytochemistry/ Immunofluorescence - Anti-160 kD Neurofilament Medium antibody [EPR23510-76] - Neuronal Marker (AB254348)

Immunofluorescent analysis of rat primary neural/glia cells fixed with 4% Paraformaldehyde and permeabilised with 0.1% TritonX-100, labelling 160 kD Neurofilament Medium with ab254348 at 1/50 (8.86 μg/ml) dilution. ab11267 Anti-MAP2 mouse monoclonal antibody was used to counterstain at 1/500 (4 μg/ml). Followed by secondary ab150077 Goat Anti-Rabbit IgG H&L (Alexa Fluor® 488) antibody at 1/1000 (2 μg/ml) (Green). ab150120 Goat Anti-Mouse IgG H&L (Alexa Fluor® 594) was used as secondary counterstain at 1/1000 (2 μg/ml) (Red). The nuclear counterstain was DAPI (Blue).

Confocal image showing cytoplasmic staining in rat primary neuron cells.
Confocal scanning Z step was set as 0.3 μm followed by image processing with maximum Z projection.

Negative Control 1 : ab150120 1/1000 (2 μg/ml)

Negative Control 2 : ab11267 1/500 (4 μg/ml), secondary : ab150077 1/1000 (2 μg/ml)

Flow Cytometry (Intracellular) - Anti-160 kD Neurofilament Medium antibody [EPR23510-76] - Neuronal Marker (AB254348)
  • Flow Cyt (Intra)

Supplier Data

Flow Cytometry (Intracellular) - Anti-160 kD Neurofilament Medium antibody [EPR23510-76] - Neuronal Marker (AB254348)

Flow cytometric analysis of 4% paraformaldehyde fixed, 90% methanol permeabilized rat primary neuron cells cells labelling 160 kD Neurofilament Medium with ab254348 at 1/500 dilution (0.1 μg)/ Right compared with a Rabbit monoclonal IgG isotype control (ab172730) / Left.

A Goat anti rabbit IgG (Alexa Fluor® 488, ab150077) at 1/2000 dilution was used as the secondary antibody.

Flow Cytometry (Intracellular) - Anti-160 kD Neurofilament Medium antibody [EPR23510-76] - Neuronal Marker (AB254348)
  • Flow Cyt (Intra)

Supplier Data

Flow Cytometry (Intracellular) - Anti-160 kD Neurofilament Medium antibody [EPR23510-76] - Neuronal Marker (AB254348)

Flow cytometric analysis of 4% paraformaldehyde fixed, 90% methanol permeabilized mouse primary neuron cells labelling 160 kD Neurofilament Medium with ab254348 at 1/500 dilution (0.1 μg)/ Right compared with a Rabbit monoclonal IgG isotype control (ab172730) / Left.

A Goat anti rabbit IgG (Alexa Fluor® 488, ab150077) at 1/2000 dilution was used as the secondary antibody.

Immunohistochemistry (Frozen sections) - Anti-160 kD Neurofilament Medium antibody [EPR23510-76] - Neuronal Marker (AB254348)
  • IHC-Fr

Supplier Data

Immunohistochemistry (Frozen sections) - Anti-160 kD Neurofilament Medium antibody [EPR23510-76] - Neuronal Marker (AB254348)

Immunohistochemical analysis of 4% PFA-fixed, 0.2% Triton X-100 permeabilized frozen rat liver tissue labeling 160 kD Neurofilament Medium with ab254348 at 1/100 (4.43 μg/ml) dilution followed by ab150077 Goat Anti-Rabbit IgG H&L (Alexa Fluor® 488) at 1/1000 dilution (Green). The nuclear counterstain was DAPI (blue).

Negative control : No staining on rat liver (PMID : 30541916) is observed.

Secondary antibody control : Secondary antibody is ab150077 Goat Anti-Rabbit IgG H&L (Alexa Fluor® 488) at 1/1000 dilution.

Heat mediated antigen retrieval using sodium citrate buffer (10mM citrate pH 6.0 + 0.05% Tween-20).

Immunohistochemistry (Frozen sections) - Anti-160 kD Neurofilament Medium antibody [EPR23510-76] - Neuronal Marker (AB254348)
  • IHC-Fr

Supplier Data

Immunohistochemistry (Frozen sections) - Anti-160 kD Neurofilament Medium antibody [EPR23510-76] - Neuronal Marker (AB254348)

Immunohistochemical analysis of 4% PFA-fixed, 0.2% Triton X-100 permeabilized frozen rat cerebrum tissue labeling 160 kD Neurofilament Medium with ab254348 at 1/100 (4.43 μg/ml) dilution followed by ab150077 Goat Anti-Rabbit IgG H&L (Alexa Fluor® 488) at 1/1000 dilution (Green). The nuclear counterstain was DAPI (Blue).

Positive staining on rat cerebrum is observed.

Secondary antibody control : Secondary antibody is ab150077 Goat Anti-Rabbit IgG H&L (Alexa Fluor® 488 )at 1/1000 dilution.

Heat mediated antigen retrieval using sodium citrate buffer (10mM citrate pH 6.0 + 0.05% Tween-20).

Immunohistochemistry (Formalin/PFA-fixed paraffin-embedded sections) - Anti-160 kD Neurofilament Medium antibody [EPR23510-76] - Neuronal Marker (AB254348)
  • IHC-P

Supplier Data

Immunohistochemistry (Formalin/PFA-fixed paraffin-embedded sections) - Anti-160 kD Neurofilament Medium antibody [EPR23510-76] - Neuronal Marker (AB254348)

Immunohistochemical analysis of paraffin-embedded rat cerebellum tissue labelling 160 kD Neurofilament Medium with ab254348 at 1/4000 (0.111 μg/ml) dilution followed by ready to use LeicaDS9800 (Bond™ Polymer Refine Detection). The section was incubated with ab254348 for 30 mins at room temperature. The immunostaining was performed on a Leica Biosystems BOND® RX instrument. Counterstained with Hematoxylin.

Positive staining on rat cerebellum.

Secondary antibody only control : Secondary antibody is ready to use LeicaDS9800 (Bond™ Polymer Refine Detection).

Heat mediated antigen retrieval with Tris-EDTA buffer (pH 9.0, epitope retrieval solution2) for 20 mins.

Immunohistochemistry (Frozen sections) - Anti-160 kD Neurofilament Medium antibody [EPR23510-76] - Neuronal Marker (AB254348)
  • IHC-Fr

Supplier Data

Immunohistochemistry (Frozen sections) - Anti-160 kD Neurofilament Medium antibody [EPR23510-76] - Neuronal Marker (AB254348)

Immunohistochemical analysis of 4% PFA-fixed, 0.2% Triton X-100 permeabilized frozen mouse cerebrum tissue labeling 160 kD Neurofilament Medium with ab254348 at 1/100 (4.43 μg/ml) dilution followed by ab150077 Goat Anti-Rabbit IgG H&L (Alexa Fluor® 488) at 1/1000 dilution (Green). The nuclear counterstain was DAPI (Blue).

Positive staining on mouse cerebrum is observed.

Secondary antibody control : Secondary antibody is ab150077 Goat Anti-Rabbit IgG H&L (Alexa Fluor® 488 )at 1/1000 dilution.

Heat mediated antigen retrieval using sodium citrate buffer (10mM citrate pH 6.0 + 0.05% Tween-20).

Immunoprecipitation - Anti-160 kD Neurofilament Medium antibody [EPR23510-76] - Neuronal Marker (AB254348)
  • IP

Supplier Data

Immunoprecipitation - Anti-160 kD Neurofilament Medium antibody [EPR23510-76] - Neuronal Marker (AB254348)

160 kD Neurofilament Medium was immunoprecipitated from 0.35 mg rat brain tissue lysate 10 μg with ab254348 at 1/30 dilution (2 μg in 0.35 mg lysates). Western blot was performed on the immunoprecipitate using ab254348 at 1/1000 dilution. VeriBlot for IP secondary antibody (HRP) (ab131366) was used at 1/5000 dilution.

Lane 1 : Rat brain tissue lysate 10 μg.

Lane 2 : ab254348 IP in rat brain tissue lysate.

Lane 3 : Rabbit monoclonal IgG (ab172730) instead of ab254348 in rat brain tissue lysate.

Blocking and dilution buffer and concentration : 5% NFDM/TBST.

Exposure time : 5.5 secs.

All lanes:

Immunoprecipitation - Anti-160 kD Neurofilament Medium antibody [EPR23510-76] - Neuronal Marker (ab254348)

Predicted band size: 102 kDa

Observed band size: 160 kDa

false

Immunoprecipitation - Anti-160 kD Neurofilament Medium antibody [EPR23510-76] - Neuronal Marker (AB254348)
  • IP

Supplier Data

Immunoprecipitation - Anti-160 kD Neurofilament Medium antibody [EPR23510-76] - Neuronal Marker (AB254348)

160 kD Neurofilament Medium was immunoprecipitated from 0.35 mg mouse brain tissue lysate 10 μg with ab254348 at 1/30 dilution (2 μg in 0.35 mg lysates). Western blot was performed on the immunoprecipitate using ab254348 at 1/1000 dilution. VeriBlot for IP secondary antibody (HRP) (ab131366) was used at 1/5000 dilution.

Lane 1 : Mouse brain tissue lysate 10 μg.

Lane 2 : ab254348 IP in mouse brain tissue lysate.

Lane 3 : Rabbit monoclonal IgG (ab172730) instead of ab254348 in mouse brain tissue lysate.

Blocking and dilution buffer and concentration : 5% NFDM/TBST.

Exposure time : 3.25 secs.

All lanes:

Immunoprecipitation - Anti-160 kD Neurofilament Medium antibody [EPR23510-76] - Neuronal Marker (ab254348)

Predicted band size: 102 kDa

Observed band size: 160 kDa

false

ELISA - Anti-160 kD Neurofilament Medium antibody [EPR23510-76] - Neuronal Marker (AB254348)
  • ELISA

Supplier Data

ELISA - Anti-160 kD Neurofilament Medium antibody [EPR23510-76] - Neuronal Marker (AB254348)

ELISA analysis using ab254348 at a range of 0-1000 ng/ml followed by a Alkaline Phosphatase-conjugated AffiniPure Goat Anti-Rabbit IgG (H+L)at 1/2500 dilution. Antigen concentration : 1000 ng/ml.

Antigens : Mouse 160 kD Neurofilament Medium.

Western blot - Anti-160 kD Neurofilament Medium antibody [EPR23510-76] - Neuronal Marker (AB254348)
  • WB

Lab

Western blot - Anti-160 kD Neurofilament Medium antibody [EPR23510-76] - Neuronal Marker (AB254348)

Blocking and diluting buffer and concentration : 5% NFDM/TBST.

The molecular weight is consistent to what has been described in the literature (PMID : 19239416, PMID : 27000625).

Negative control : liver (PMID : 30541916).

Exposure time : 10 seconds.

All lanes:

Western blot - Anti-160 kD Neurofilament Medium antibody [EPR23510-76] - Neuronal Marker (ab254348) at 1/1000 dilution

Lane 1:

Human cerebellum tissue lysate at 20 µg

Lane 2:

Human nerve tissue lysate at 20 µg

Lane 3:

Human liver tissue lysate at 20 µg

Secondary

All lanes:

Western blot - VeriBlot for IP Detection Reagent (HRP) (<a href='/products/reagents/veriblot-for-ip-detection-reagent-hrp-ab131366'>ab131366</a>) at 1/1000 dilution

Predicted band size: 102 kDa

Observed band size: 160 kDa

false

Western blot - Anti-160 kD Neurofilament Medium antibody [EPR23510-76] - Neuronal Marker (AB254348)
  • WB

Lab

Western blot - Anti-160 kD Neurofilament Medium antibody [EPR23510-76] - Neuronal Marker (AB254348)

Blocking and diluting buffer and concentration : Intercept® (TBS) Blocking Buffer diluted with an equal volume of 0.1% TBS.

Lanes 1-3 : Merged signal (red and green). Green - ab254348 observed at 160 kDa. Red - loading control ab8245 observed at 36 kDa.

ab254348 Anti-NEFM antibody [EPR23510-76] was shown to specifically react with NEFM in wild-type HEK-293T cells. Loss of signal was observed when the knockout cell line ab266741 (knockout cell lysate ab257103) was used. Wild-type and NEFM knockout samples were subjected to SDS-PAGE. ab254348 and Anti-GAPDH antibody [6C5] - Loading Control (ab8245) were incubated at at 4°C overnight at 1 in 1000 dilution and 1 in 20000 dilution respectively. Blots were developed with Goat anti-Rabbit IgG H&L (IRDye® 800CW) preadsorbed (ab216773) and Goat anti-Mouse IgG H&L (IRDye® 680RD) preadsorbed (ab216776) secondary antibodies at 1 in 10000 dilution for 1 hour at room temperature before imaging.

All lanes:

Western blot - Anti-160 kD Neurofilament Medium antibody [EPR23510-76] - Neuronal Marker (ab254348) at 1/1000 dilution

Lane 1:

Wild-type HEK-293T (human embryonic kidney epithelial cell) whole cell lysate at 20 µg

Lane 2:

NEFM knockout HEK-293T whole cell lysate at 20 µg

Lane 3:

A549 (human lung carcinoma epithelial cell) whole cell lysate at 20 µg

Secondary

All lanes:

Western blot - Goat anti-Mouse IgG H&L (IRDye® 680RD) preadsorbed (<a href='/products/secondary-antibodies/goat-mouse-igg-h-l-irdye-680rd-preadsorbed-ab216776'>ab216776</a>) at 1/10000 dilution

Predicted band size: 102 kDa

Observed band size: 160 kDa

false

Western blot - Anti-160 kD Neurofilament Medium antibody [EPR23510-76] - Neuronal Marker (AB254348)
  • WB

Lab

Western blot - Anti-160 kD Neurofilament Medium antibody [EPR23510-76] - Neuronal Marker (AB254348)

Blocking and diluting buffer and concentration : 5% NFDM/TBST.

The molecular weight is consistent to what has been described in the literature (PMID : 19239416, PMID : 27000625).

Negative control : liver (PMID : 30541916).

Exposure times : Lane 1-3 : 3.25 secs; Lane 4-6 : 10 secs.

All lanes:

Western blot - Anti-160 kD Neurofilament Medium antibody [EPR23510-76] - Neuronal Marker (ab254348) at 1/1000 dilution

Lane 1:

Mouse brain tissue lysate at 20 µg

Lane 2:

Mouse cerebellum tissue lysate at 20 µg

Lane 3:

Mouse liver tissue lysate at 20 µg

Lane 4:

Rat brain tissue lysate at 20 µg

Lane 5:

Rat cerebellum tissue lysate at 20 µg

Lane 6:

Rat liver tissue lysate at 20 µg

Secondary

All lanes:

Western blot - Goat Anti-Rabbit IgG H&L (HRP) (<a href='/products/secondary-antibodies/goat-rabbit-igg-h-l-hrp-ab97051'>ab97051</a>) at 1/100000 dilution

Predicted band size: 102 kDa

Observed band size: 160 kDa

false

不同偶联物与剂型 (3)

  • Carrier free

    Anti-160 kD Neurofilament Medium antibody [EPR23510-76] - BSA and Azide free

  • 519 Alexa Fluor® 488

    Alexa Fluor® 488 Anti-160 kD Neurofilament Medium antibody [EPR23510-76] - Neuronal Marker

  • 665 Alexa Fluor® 647

    Alexa Fluor® 647 Anti-160 kD Neurofilament Medium antibody [EPR23510-76] - Neuronal Marker

关键信息

宿主种属

Rabbit

克隆

Monoclonal

克隆号

EPR23510-76

亚型

IgG

不含载体蛋白

No

反应种属

Rat, Human, Mouse

应用

ICC/IF, WB, Flow Cyt (Intra), ELISA, IHC-Fr, IP, IHC-P

applications

免疫原

The exact immunogen used to generate this antibody is proprietary information.

反应性数据

{ "title": "Reactivity Data", "filters": { "stats": ["", "Species", "Dilution Info", "Notes"], "tabs": { "all-applications": {"fullname" : "All Applications", "shortname": "All Applications"}, "ICCIF" : {"fullname" : "Immunocytochemistry/ Immunofluorescence", "shortname":"ICC/IF"}, "IP" : {"fullname" : "Immunoprecipitation", "shortname":"IP"}, "FlowCytIntra" : {"fullname" : "Flow Cytometry (Intracellular)", "shortname":"Flow Cyt (Intra)"}, "ELISA" : {"fullname" : "ELISA", "shortname":"ELISA"}, "WB" : {"fullname" : "Western blot", "shortname":"WB"}, "IHCFr" : {"fullname" : "Immunohistochemistry (Frozen sections)", "shortname":"IHC-Fr"}, "IHCP" : {"fullname" : "Immunohistochemistry (Formalin/PFA-fixed paraffin-embedded sections)", "shortname":"IHC-P"} }, "product-promise": { "all": "all", "testedAndGuaranteed": "tested", "guaranteed": "expected", "predicted": "predicted", "notRecommended": "not-recommended" } }, "values": { "Human": { "ICCIF-species-checked": "testedAndGuaranteed", "ICCIF-species-dilution-info": "1/50", "ICCIF-species-notes": "<p></p>", "IP-species-checked": "guaranteed", "IP-species-dilution-info": "", "IP-species-notes": "", "FlowCytIntra-species-checked": "testedAndGuaranteed", "FlowCytIntra-species-dilution-info": "1/500", "FlowCytIntra-species-notes": "<p></p>", "ELISA-species-checked": "guaranteed", "ELISA-species-dilution-info": "", "ELISA-species-notes": "", "WB-species-checked": "testedAndGuaranteed", "WB-species-dilution-info": "1/1000", "WB-species-notes": "<p></p>", "IHCFr-species-checked": "guaranteed", "IHCFr-species-dilution-info": "", "IHCFr-species-notes": "", "IHCP-species-checked": "testedAndGuaranteed", "IHCP-species-dilution-info": "1/4000", "IHCP-species-notes": "<p></p>" }, "Mouse": { "ICCIF-species-checked": "testedAndGuaranteed", "ICCIF-species-dilution-info": "1/50", "ICCIF-species-notes": "<p></p>", "IP-species-checked": "testedAndGuaranteed", "IP-species-dilution-info": "1/30", "IP-species-notes": "<p></p>", "FlowCytIntra-species-checked": "testedAndGuaranteed", "FlowCytIntra-species-dilution-info": "1/500", "FlowCytIntra-species-notes": "<p></p>", "ELISA-species-checked": "testedAndGuaranteed", "ELISA-species-dilution-info": "0.125 µg/mL", "ELISA-species-notes": "<p></p>", "WB-species-checked": "testedAndGuaranteed", "WB-species-dilution-info": "1/1000", "WB-species-notes": "<p></p>", "IHCFr-species-checked": "testedAndGuaranteed", "IHCFr-species-dilution-info": "1/100", "IHCFr-species-notes": "<p>Heat mediated antigen retrieval using sodium citrate buffer (10mM citrate pH 6.0 + 0.05% Tween-20)</p>", "IHCP-species-checked": "testedAndGuaranteed", "IHCP-species-dilution-info": "1/4000", "IHCP-species-notes": "<p></p>" }, "Rat": { "ICCIF-species-checked": "testedAndGuaranteed", "ICCIF-species-dilution-info": "1/50", "ICCIF-species-notes": "<p></p>", "IP-species-checked": "testedAndGuaranteed", "IP-species-dilution-info": "1/30", "IP-species-notes": "<p></p>", "FlowCytIntra-species-checked": "testedAndGuaranteed", "FlowCytIntra-species-dilution-info": "1/500", "FlowCytIntra-species-notes": "<p></p>", "ELISA-species-checked": "guaranteed", "ELISA-species-dilution-info": "", "ELISA-species-notes": "", "WB-species-checked": "testedAndGuaranteed", "WB-species-dilution-info": "1/1000", "WB-species-notes": "<p></p>", "IHCFr-species-checked": "testedAndGuaranteed", "IHCFr-species-dilution-info": "1/100", "IHCFr-species-notes": "<p>Heat mediated antigen retrieval using sodium citrate buffer (10mM citrate pH 6.0 + 0.05% Tween-20)</p>", "IHCP-species-checked": "testedAndGuaranteed", "IHCP-species-dilution-info": "1/4000", "IHCP-species-notes": "<p></p>" } } }

产品详情

Patented technology
Our RabMAb® technology is a patented hybridoma-based technology for making rabbit monoclonal antibodies. For details on our patents, please refer to RabMAb® patents.

What are the advantages of a recombinant monoclonal antibody?
This product is a recombinant monoclonal antibody, which offers several advantages including:

  • - High batch-to-batch consistency and reproducibility
  • - Improved sensitivity and specificity
  • - Long-term security of supply
  • - Animal-free batch production

For more information, read more on recombinant antibodies.

性能和储存信息

形式
Liquid
纯化工艺
Affinity purification Protein A
存储溶液
pH: 7.2 - 7.4 Preservative: 0.01% Sodium azide Constituents: PBS, 40% Glycerol (glycerin, glycerine), 0.05% BSA
运输条件
Blue Ice
推荐的短期储存时间
1-2 weeks
推荐的短期储存条件
+4°C
推荐的长期储存条件
-20°C
分装信息
Upon delivery aliquot
储存信息
Avoid freeze / thaw cycle

补充信息

This supplementary information is collated from multiple sources and compiled automatically.

The 160 kD Neurofilament Medium also known as NEFM NF-M or NEF-M belongs to the family of neurofilament proteins. This protein is an important structural component of neurons particularly in the axonal cytoskeleton. Neurofilament Medium has a molecular mass of around 160 kilodaltons (kD). It shows high levels of expression in neuronal tissues contributing to the maintenance of axonal caliber. Commonly research recognizes it alongside other neurofilament proteins emphasizing its role in providing structural integrity to neurons.
Biological function summary

Neurofilament Medium participates in the formation of a stable network of neurofilaments within neurons. Acting as a part of the intermediate filament protein family it forms a complex with other neurofilaments such as NF-L and NF-H. This complex supports neuron structure and plays an important role in axonal transport. The heteropolymeric nature of neurofilaments contributes to their mechanical stability facilitating essential neuronal functions by aligning neurofilaments along the axon.

Pathways

Neurofilament Medium integrates into the cytoskeletal arrangement pathways that govern axonal transport and stability. It plays a significant role in the neuronal transport pathway associating with other proteins such as dynein and kinesin responsible for the motor functions along axons. Also it relates to the MAP kinase pathway where phosphorylation events modulate its assembly and disassembly dynamics in response to cellular signals.

Neurofilament Medium closely relates to neurodegenerative conditions such as amyotrophic lateral sclerosis (ALS) and Alzheimer's disease. Aberrant phosphorylation or aggregation of NEFM can disrupt neuronal function leading to pathology. In ALS the abnormal accumulation of neurofilaments correlates with motor neuron degeneration. In Alzheimer's its interaction with tau protein poses significant interest as altered states of either could exacerbate neurofibrillary tangles worsening cognitive decline.

产品实验方案

For this product, it's our understanding that no specific protocols are required. You can visit:

靶点信息

Neurofilaments usually contain three intermediate filament proteins : NEFL, NEFM, and NEFH which are involved in the maintenance of neuronal caliber. May additionally cooperate with the neuronal intermediate filament proteins PRPH and INA to form neuronal filamentous networks (By similarity).
See full target information NEFM

文献 (6)

Recent publications for all applications. Explore the full list and refine your search

Cell & bioscience 14:144 PubMed39605072

2024

CAFs-derived lactate enhances the cancer stemness through inhibiting the MST1 ubiquitination degradation in OSCC.

Applications

Unspecified application

Species

Unspecified reactive species

Shuzhen Zhang,Jingjing Wang,Yang Chen,Weilian Liang,Hanzhe Liu,Ruixue Du,Yunqing Sun,Chuanyu Hu,Zhengjun Shang

Redox biology 71:103104 PubMed38430683

2024

Inhibition of MST1 ameliorates neuronal apoptosis via GSK3β/β-TrCP/NRF2 pathway in spinal cord injury accompanied by diabetes.

Applications

Unspecified application

Species

Unspecified reactive species

Weijun Huang,Depeng Wu,Chaoyang Cai,Hui Yao,Zhenming Tian,Yang Yang,Mao Pang,Limin Rong,Bin Liu

EMBO molecular medicine 16:945-965 PubMed38413838

2024

Improved gene therapy for spinal muscular atrophy in mice using codon-optimized hSMN1 transgene and hSMN1 gene-derived promotor.

Applications

Unspecified application

Species

Unspecified reactive species

Qing Xie,Xiupeng Chen,Hong Ma,Yunxiang Zhu,Yijie Ma,Leila Jalinous,Gerald F Cox,Fiona Weaver,Jun Yang,Zachary Kennedy,Alisha Gruntman,Ailing Du,Qin Su,Ran He,Phillip Wl Tai,Guangping Gao,Jun Xie

Science robotics 8:eadd9369 PubMed36947599

2023

Anti-inflammatory therapy enables robot-actuated regeneration of aged muscle.

Applications

Unspecified application

Species

Unspecified reactive species

S L McNamara,B R Seo,B R Freedman,E B Roloson,J T Alvarez,C T O'Neill,H H Vandenburgh,C J Walsh,D J Mooney

International journal of molecular medicine 49: PubMed35475578

2022

Schwann cell‑like cells derived from human amniotic mesenchymal stem cells promote sciatic nerve repair through an exosome‑induced SOX2/FN1 pathway .

Applications

Unspecified application

Species

Unspecified reactive species

Wei Chen,Shusen Chang,Chenglan Yang,Jian Zhou,Huizhong Zhang,Kaiyu Nie,Zairong Wei

Proceedings of the National Academy of Sciences of the United States of America 119:e2121552119 PubMed35344427

2022

Blockage of MLKL prevents myelin damage in experimental diabetic neuropathy.

Applications

Unspecified application

Species

Unspecified reactive species

Jia Guo,Zehui Guo,Yanju Huang,Suchen Ma,Bo Yan,Chenjie Pan,Zhaodi Jiang,Fengchao Wang,Zhiyuan Zhang,Yuwei Da,Xiaodong Wang,Zhengxin Ying
View all publications

Abcam Product Promise

我们致力于为您的研究提供高质量的试剂,为您科研的每一步提供支持。若我们的产品未能达到预期性能,我们向您提供 Abcam Product Promise 保障。
详情请参阅我们的条款与条件。

Please note: All products are 'FOR RESEARCH USE ONLY. NOT FOR USE IN DIAGNOSTIC OR THERAPEUTIC PROCEDURES'.

For licensing inquiries, please contact partnerships@abcam.com