JavaScript is disabled in your browser. Please enable JavaScript to view this website.
AB51129

Anti-14-3-3 zeta抗体

Anti-14-3-3 zeta antibody

4

(3 Reviews)

|

(34 Publications)

Rabbit Polyclonal 1433Z antibody. Suitable for WB, IHC-P, ICC/IF and reacts with Human samples. Cited in 34 publications. Immunogen corresponding to Synthetic Peptide within Human 14-3-3 protein zeta/delta.

查看别名

14-3-3 protein zeta/delta, Protein kinase C inhibitor protein 1, KCIP-1, YWHAZ

6 Images
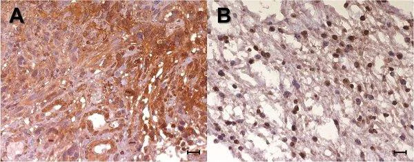
Immunohistochemistry (Formalin/PFA-fixed paraffin-embedded sections) - Anti-14-3-3 zeta antibody (AB51129)
  • IHC-P

PubMed

Immunohistochemistry (Formalin/PFA-fixed paraffin-embedded sections) - Anti-14-3-3 zeta antibody (AB51129)

ab51129 staining 14-3-3 zeta in Human glioblastoma samples (A) and low grade tumors (B) by Immunohistochemistry (IHC-P - paraformaldehyde-fixed, paraffin-embedded sections). Antigen retrieval was by heat mediation in a citrate buffer. Samples were incubated with primary antibody (1/50) overnight. Nuclei stained blue with hematoxylin. Scale bars = 20 μm

Simeone P et al., PLoS One 9:e103030 (2014), Fig 7., doi: 10.1371/journal.pone.0103030 Reproduced under the Creative Commons license http://creativecommons.org/licenses/by/4.0/

Western blot - Anti-14-3-3 zeta antibody (AB51129)
  • WB

Unknown

Western blot - Anti-14-3-3 zeta antibody (AB51129)

All lanes:

Western blot - Anti-14-3-3 zeta antibody (ab51129)

Lane 1:

Extracts from 293 cells treated with Forskolin (40nM, 30min) with no peptide

Lane 2:

Extracts from 293 cells treated with Forskolin (40nM, 30min) with immunising peptide

Predicted band size: 28 kDa

Observed band size: 28 kDa

false

Immunocytochemistry/ Immunofluorescence - Anti-14-3-3 zeta antibody (AB51129)
  • ICC/IF

Unknown

Immunocytochemistry/ Immunofluorescence - Anti-14-3-3 zeta antibody (AB51129)

ICC/IF image of ab51129 stained HeLa cells. The cells were 4% PFA fixed (10 min) and then incubated in 1%BSA / 10% normal goat serum / 0.3M glycine in 0.1% PBS-Tween for 1h to permeabilise the cells and block non-specific protein-protein interactions. The cells were then incubated with the antibody (ab51129, 1µg/ml) overnight at +4°C. The secondary antibody (green) was Alexa Fluor® 488 goat anti-rabbit IgG (H+L) used at a 1/1000 dilution for 1h. Alexa Fluor® 594 WGA was used to label plasma membranes (red) at a 1/200 dilution for 1h. DAPI was used to stain the cell nuclei (blue) at a concentration of 1.43µM.

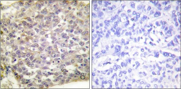
Immunohistochemistry (Formalin/PFA-fixed paraffin-embedded sections) - Anti-14-3-3 zeta antibody (AB51129)
  • IHC-P

Supplier Data

Immunohistochemistry (Formalin/PFA-fixed paraffin-embedded sections) - Anti-14-3-3 zeta antibody (AB51129)

This image shows paraffin-embedded human breast carcinoma tissue stained with ab51129 at a dilution of 1/100. Right hand image : tissue treated with immunising peptide; left hand image : untreated tissue

Western blot - Anti-14-3-3 zeta antibody (AB51129)
  • WB

Unknown

Western blot - Anti-14-3-3 zeta antibody (AB51129)

All lanes:

Western blot - Anti-14-3-3 zeta antibody (ab51129) at 1/500 dilution

Lane 1:

Western blot - Recombinant Human 14-3-3 zeta protein (<a href='/products/proteins-peptides/recombinant-human-14-3-3-zeta-protein-ab85268'>ab85268</a>) at 0.1 µg

Lane 2:

Western blot - Recombinant Human 14-3-3 zeta protein (<a href='/products/proteins-peptides/recombinant-human-14-3-3-zeta-protein-ab85268'>ab85268</a>) at 0.01 µg

Secondary

All lanes:

Western blot - Goat Anti-Rabbit IgG H&L (HRP) preadsorbed (<a href='/products/secondary-antibodies/goat-rabbit-igg-h-l-hrp-preadsorbed-ab97080'>ab97080</a>) at 1/5000 dilution

Predicted band size: 28 kDa

true

Exposure time: 4min

Western blot - Anti-14-3-3 zeta antibody (AB51129)
  • WB

Unknown

Western blot - Anti-14-3-3 zeta antibody (AB51129)

All lanes:

Western blot - Anti-14-3-3 zeta antibody (ab51129) at 1/500 dilution

Lane 1:

Western blot - Recombinant Human 14-3-3 zeta protein (<a href='/products/proteins-peptides/recombinant-human-14-3-3-zeta-protein-ab85268'>ab85268</a>) at 0.1 µg

Lane 2:

Western blot - Recombinant Human 14-3-3 zeta protein (<a href='/products/proteins-peptides/recombinant-human-14-3-3-zeta-protein-ab85268'>ab85268</a>) at 0.01 µg

Secondary

All lanes:

Western blot - Goat Anti-Rabbit IgG H&L (HRP) preadsorbed (<a href='/products/secondary-antibodies/goat-rabbit-igg-h-l-hrp-preadsorbed-ab97080'>ab97080</a>) at 1/5000 dilution

Predicted band size: 28 kDa

true

Exposure time: 4min

关键信息

宿主种属

Rabbit

克隆

Polyclonal

亚型

IgG

不含载体蛋白

No

反应种属

Human

应用

IHC-P, ICC/IF, WB

applications

免疫原

Synthetic Peptide within Human 14-3-3 protein zeta/delta. The exact immunogen used to generate this antibody is proprietary information.

P63104

特异性

ab51129 detects endogenous levels of total 14-3-3 zeta protein.

Cross reactivity of ab51129 antibody with other member of the 14-3-3 family:

-92% identities with 14-3-3 beta/alpha, gamma and eta
-77% identities with 14-3-3 teta
-69% identities with 14-3-3 epsilon
-62% identities with 14-3-3 sigma

反应性数据

{ "title": "Reactivity Data", "filters": { "stats": ["", "Species", "Dilution Info", "Notes"], "tabs": { "all-applications": {"fullname" : "All Applications", "shortname": "All Applications"}, "WB" : {"fullname" : "Western blot", "shortname":"WB"}, "IHCP" : {"fullname" : "Immunohistochemistry (Formalin/PFA-fixed paraffin-embedded sections)", "shortname":"IHC-P"}, "ICCIF" : {"fullname" : "Immunocytochemistry/ Immunofluorescence", "shortname":"ICC/IF"} }, "product-promise": { "all": "all", "testedAndGuaranteed": "tested", "guaranteed": "expected", "predicted": "predicted", "notRecommended": "not-recommended" } }, "values": { "Human": { "WB-species-checked": "testedAndGuaranteed", "WB-species-dilution-info": "1/500.00000 - 1/1000.00000", "WB-species-notes": "<p></p>", "IHCP-species-checked": "testedAndGuaranteed", "IHCP-species-dilution-info": "1/50.00000 - 1/100.00000", "IHCP-species-notes": "<p></p>", "ICCIF-species-checked": "testedAndGuaranteed", "ICCIF-species-dilution-info": "1 µg/mL", "ICCIF-species-notes": "<p></p>" } } }

性能和储存信息

形式
Liquid
纯化工艺
Affinity purification Immunogen
存储溶液
pH: 7.4 Preservative: 0.02% Sodium azide Constituents: PBS, 50% Glycerol (glycerin, glycerine), 0.87% Sodium chloride
运输条件
Blue Ice
推荐的短期储存条件
+4°C
推荐的长期储存条件
-20°C
储存信息
Stable for 12 months at -20°C

补充信息

This supplementary information is collated from multiple sources and compiled automatically.

The 14-3-3 zeta protein also known as 14-3-3 protein zeta/delta and 1433 protein belongs to the 14-3-3 protein family. These proteins have a molecular weight of around 28-33 kDa. 14-3-3 zeta proteins are expressed across various human tissues including the brain heart and muscles. Mechanically the 14-3-3 zeta protein interacts with different phosphorylated serine and threonine residues on its target proteins. This binding modulates the target proteins' conformation and activity influencing their function in cellular signaling and regulation.
Biological function summary

The 14-3-3 zeta protein plays an important role in several cellular processes. It acts as an adapter in signal transduction pathways and cell cycle control. Additionally the 14-3-3 zeta protein forms complexes with other proteins to regulate apoptosis and stress responses. By binding to various partners this protein influences the distribution and localization of proteins within the cell affecting diverse functions such as metabolism and cell growth.

Pathways

The 14-3-3 zeta protein participates actively in two primary pathways: the MAPK/ERK and PI3K/AKT pathways. Within the MAPK/ERK pathway it influences cellular differentiation and proliferation interacting closely with proteins like Raf and MEK. In the PI3K/AKT pathway 14-3-3 zeta affects cell survival working alongside proteins such as AKT and Bad. These interactions make 14-3-3 zeta a significant player in the regulation of cellular processes.

14-3-3 zeta protein has been connected with neurodegenerative diseases and cancer. Altered expression or function of this protein has been observed in conditions like Alzheimer's disease where it interacts with tau protein and in various cancers where 14-3-3 zeta impacts tumor progression by modulating the function of proteins like p53 and Rb. Understanding these interactions helps in exploring therapeutic strategies for disease intervention.

产品实验方案

For this product, it's our understanding that no specific protocols are required. You can visit:

靶点信息

Adapter protein implicated in the regulation of a large spectrum of both general and specialized signaling pathways (PubMed : 14578935, PubMed : 15071501, PubMed : 15644438, PubMed : 16376338, PubMed : 16959763, PubMed : 31024343, PubMed : 9360956). Binds to a large number of partners, usually by recognition of a phosphoserine or phosphothreonine motif (PubMed : 35662396). Binding generally results in the modulation of the activity of the binding partner (PubMed : 35662396). Promotes cytosolic retention and inactivation of TFEB transcription factor by binding to phosphorylated TFEB (PubMed : 35662396). Induces ARHGEF7 activity on RAC1 as well as lamellipodia and membrane ruffle formation (PubMed : 16959763). In neurons, regulates spine maturation through the modulation of ARHGEF7 activity (By similarity).
See full target information 14-3-3 protein zeta/delta

文献 (34)

Recent publications for all applications. Explore the full list and refine your search

PNAS nexus 2:pgad420 PubMed38130664

2023

Regulation of lipolysis by 14-3-3 proteins on human adipocyte lipid droplets.

Applications

Unspecified application

Species

Unspecified reactive species

Qin Yang,Zinger Yang Loureiro,Anand Desai,Tiffany DeSouza,Kaida Li,Hui Wang,Sarah M Nicoloro,Javier Solivan-Rivera,Silvia Corvera

Journal of experimental & clinical cancer research : CR 42:45 PubMed36759880

2023

Procoxacin bidirectionally inhibits osteoblastic and osteoclastic activity in bone and suppresses bone metastasis of prostate cancer.

Applications

Unspecified application

Species

Unspecified reactive species

Depei Kong,Chen Ye,Chenxi Zhang,Xiaochen Sun,Fubo Wang,Rui Chen,Guangan Xiao,Shipeng He,Jianrong Xu,Xiwu Rao,Jianzhong Ai,Xu Gao,Hong Li,Li Su

Journal of immunology research 2022:5633096 PubMed36213322

2022

Expression of PD-L1 and YWHAZ in Patients with Diffuse Large B Cell Lymphoma: A Possible Association with the Prognosis of Lymphoma.

Applications

Unspecified application

Species

Unspecified reactive species

Shufang Yan,Qinyu Shang,Zhaopu Fan,Yuping Yang,Yanping Liu,Hongliang Gao,Ken Chen,Fei Liang,Xinxia Li,Qian Zhang,Huifang Yan

Scientific reports 12:13940 PubMed35977978

2022

Verteporfin ameliorates fibrotic aspects of Dupuytren's disease nodular fibroblasts irrespective the activation state of the cells.

Applications

Unspecified application

Species

Unspecified reactive species

Nataly Puerta Cavanzo,Sophie A Riesmeijer,Iris L Holt-Kedde,Paul M N Werker,Bram Piersma,Peter Olinga,Ruud A Bank

Cell cycle (Georgetown, Tex.) 21:2013-2026 PubMed35775826

2022

DLEU2 modulates proliferation, migration and invasion of platelet-derived growth factor-BB (PDGF-BB)-induced vascular smooth muscle cells (VSMCs) via miR-212-5p/YWHAZ axis.

Applications

Unspecified application

Species

Unspecified reactive species

Zhiying Zhao,Guangming Zhang,Jing Yang,Rui Lu,Haijuan Hu

Evidence-based complementary and alternative medicine : eCAM 2022:4605329 PubMed35027933

2022

hsa-MicroRNA-28-5p Inhibits Diffuse Large B-Cell Lymphoma Cell Proliferation by Downregulating 14-3-3 Expression.

Applications

Unspecified application

Species

Unspecified reactive species

Shufang Yan,Yang Chen,Meihong Yang,Qian Zhang,Jiajia Ma,Bo Liu,Liuqing Yang,Xinxia Li

Communications biology 4:1221 PubMed34697370

2021

PIM1 phosphorylation of the androgen receptor and 14-3-3 ζ regulates gene transcription in prostate cancer.

Applications

Unspecified application

Species

Unspecified reactive species

Sophie E Ruff,Nikita Vasilyev,Evgeny Nudler,Susan K Logan,Michael J Garabedian

Aging 13:23739-23756 PubMed34689137

2021

Loganin substantially ameliorates molecular deficits, pathologies and cognitive impairment in a mouse model of Alzheimer's disease.

Applications

Unspecified application

Species

Unspecified reactive species

Lulin Nie,Kaiwu He,Fengzhu Xie,Shifeng Xiao,Shupeng Li,Jia Xu,Kaiqin Zhang,Chen Yang,Li Zhou,Jianjun Liu,Liangyu Zou,Xifei Yang

Theranostics 11:5742-5758 PubMed33897879

2021

Radiation-induced abscopal reproductive effect is driven by TNF-α/p38 MAPK/Rac1 axis in Sertoli cells.

Applications

Unspecified application

Species

Unspecified reactive species

Songling Hu,Lin Zhu,Yimeng Song,Xinrui Zhao,Qianping Chen,Yan Pan,Jianghong Zhang,Yang Bai,Haowen Zhang,Chunlin Shao

OncoTargets and therapy 14:15-27 PubMed33442263

2021

MiRNA-1225 Inhibits Osteosarcoma Tumor Growth and Progression by Targeting YWHAZ.

Applications

Unspecified application

Species

Unspecified reactive species

Yubao Gong,Zhengren Wei,Jianguo Liu
View all publications

Abcam Product Promise

我们致力于为您的研究提供高质量的试剂,为您科研的每一步提供支持。若我们的产品未能达到预期性能,我们向您提供 Abcam Product Promise 保障。
详情请参阅我们的条款与条件。

关联产品

Select an associated product type
Alternative Product
Primary Antibodies

AB262708

Anti-14-3-3 zeta antibody

primary-antibodies

14-3-3-zeta-antibody-ab262708

0

(0 reviews)

Alternative Product
Primary Antibodies

AB51109

Anti-14-3-3 zeta (phospho S58) antibody

primary-antibodies

14-3-3-zeta-phospho-s58-antibody-ab51109

3

(2 reviews)

Alternative Product
Primary Antibodies

AB155037

Anti-14-3-3 zeta antibody

primary-antibodies

14-3-3-zeta-antibody-ab155037

0

(0 reviews)

Please note: All products are 'FOR RESEARCH USE ONLY. NOT FOR USE IN DIAGNOSTIC OR THERAPEUTIC PROCEDURES'.

For licensing inquiries, please contact partnerships@abcam.com