JavaScript is disabled in your browser. Please enable JavaScript to view this website.
AB209101

兔specific IHC polymer detection试剂盒HRP/DAB

Rabbit specific IHC polymer detection kit HRP/DAB

Be the first to review this product! Submit a review

|

(21 Publications)

Rabbit specific IHC polymer detection kit HRP/DAB (ab209101) is a sensitive immunoenzymatic system for detecting antibodies bound to antigens in IHC.

- Signal amplification is achieved using an indirect polymer detection system and does not use avidin or biotin.
- Cited in over 20 publications
41 Images
Immunohistochemistry (Formalin/PFA-fixed paraffin-embedded sections) - Rabbit specific IHC polymer detection kit HRP/DAB (AB209101)
  • IHC-P

Supplier Data

Immunohistochemistry (Formalin/PFA-fixed paraffin-embedded sections) - Rabbit specific IHC polymer detection kit HRP/DAB (AB209101)

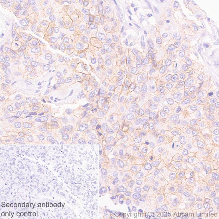
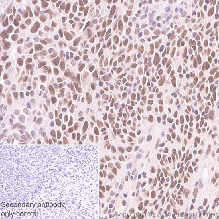
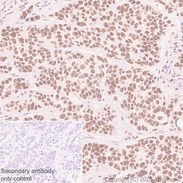
Immunohistochemical analysis of paraffin-embedded Human cervical squamous carcinoma tissue labeling ING4 with ab323509 at 1/50 (10.26 ug/ml) dilution, followed by a ready to use Rabbit specific IHC polymer detection kit HRP/DAB (ab209101).

Positive staining in human cervical squamous carcinoma.
The section was incubated with ab323509 for 30 mins at room temperature.
The immunostaining was performed on a Leica Biosystems BOND® RX instrument

Counterstained with Hematoxylin.

Secondary antibody only control : Secondary antibody is a ready to use Rabbit specific IHC polymer detection kit HRP/DAB (ab209101).

Heat mediated antigen retrieval was performed using ab93684 (Tris/EDTA buffer, pH 9.0)

Immunohistochemistry (Formalin/PFA-fixed paraffin-embedded sections) - Rabbit specific IHC polymer detection kit HRP/DAB (AB209101)
  • IHC-P

Supplier Data

Immunohistochemistry (Formalin/PFA-fixed paraffin-embedded sections) - Rabbit specific IHC polymer detection kit HRP/DAB (AB209101)
Immunohistochemistry (Formalin/PFA-fixed paraffin-embedded sections) - Rabbit specific IHC polymer detection kit HRP/DAB (AB209101)
  • IHC-P

Supplier Data

Immunohistochemistry (Formalin/PFA-fixed paraffin-embedded sections) - Rabbit specific IHC polymer detection kit HRP/DAB (AB209101)

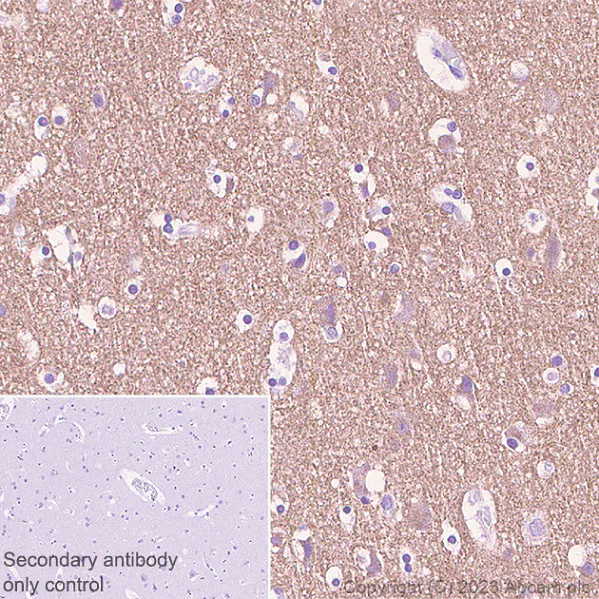
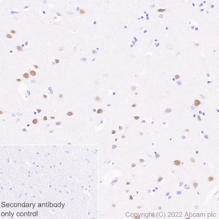
Immunohistochemical analysis of paraffin-embedded Human cerebrum tissue labeling IKKi/IKKe+NAK/TBK1 with ab289973 at 1/500 (1.088 ug/ml) followed by a ready to use Rabbit specific IHC polymer detection kit HRP/DAB (ab209101). Nuclear staining on human cerebrum (PMID : 21171089). The section was incubated with ab289973 for 30 mins at room temperature.The immunostaining was performed on a Leica Biosystems BOND® RX instrument Counterstained with Hematoxylin. Secondary antibody only control : Secondary antibody is a ready to use Rabbit specific IHC polymer detection kit HRP/DAB (ab209101). Heat mediated antigen retrieval with Tris-EDTA buffer (pH 9.0, epitope retrieval solution2) for 20 mins

Immunohistochemistry (Formalin/PFA-fixed paraffin-embedded sections) - Rabbit specific IHC polymer detection kit HRP/DAB (AB209101)
  • IHC-P

Supplier Data

Immunohistochemistry (Formalin/PFA-fixed paraffin-embedded sections) - Rabbit specific IHC polymer detection kit HRP/DAB (AB209101)

Immunohistochemical analysis of paraffin-embedded human cerebrum tissue labeling NTT4 with ab313747 at 1/500 (1.09 ug/ml) followed by a ready to use Rabbit specific IHC polymer detection kit HRP/DAB (ab209101). Positive staining on human cerebrum. The section was incubated with ab313747 for 30 mins at room temperature. The immunostaining was performed on a Leica Biosystems BOND® RX instrument. Counterstained with Hematoxylin. Secondary antibody only control : Secondary antibody is a ready to use Rabbit specific IHC polymer detection kit HRP/DAB (ab209101). Heat mediated antigen retrieval was performed with Citrate buffer (pH 6.0, Epitope Retrieval Solution 1) for 20 mins.

Immunohistochemistry (Formalin/PFA-fixed paraffin-embedded sections) - Rabbit specific IHC polymer detection kit HRP/DAB (AB209101)
  • IHC-P

Supplier Data

Immunohistochemistry (Formalin/PFA-fixed paraffin-embedded sections) - Rabbit specific IHC polymer detection kit HRP/DAB (AB209101)

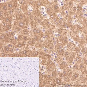
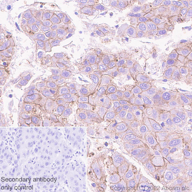
Immunohistochemical analysis of paraffin-embedded Human hepatocellular tissue lABeling Flotillin 2/ESA with ab307422 at 1/1000 (0.535 ug/ml) followed by a ready to use RABbit specific IHC polymer detection kit HRP/DAB (ab209101). Positive staining on human hepatocellular carcinoma (PMID : 28560058). The section was incubated with ab307422 for 30 mins at room temperature.The immunostaining was performed on a Leica Biosystems BOND? RX instrument Counterstained with Hematoxylin. Secondary antibody only control : Secondary antibody is a ready to use RABbit specific IHC polymer detection kit HRP/DAB (ab209101). Heat mediated antigen retrieval was performed with Tris-EDTA buffer (pH 9.0, Epitope Retrieval Solution2) for 20 mins

Immunohistochemistry (Formalin/PFA-fixed paraffin-embedded sections) - Rabbit specific IHC polymer detection kit HRP/DAB (AB209101)
  • IHC-P

Supplier Data

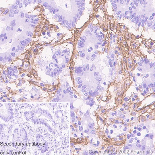
Immunohistochemistry (Formalin/PFA-fixed paraffin-embedded sections) - Rabbit specific IHC polymer detection kit HRP/DAB (AB209101)

Immunohistochemical analysis of paraffin-embedded Human gastric carcinoma tissue labeling RanBP2 with ab316336 at 1/500 (1.002 ug/ml) dilution, followed by a ready to use Rabbit specific IHC polymer detection kit HRP/DAB (ab209101).

Positive staining on human gastric carcinoma. The section was incubated with ab316336 for 30 mins at room temperature.
The immunostaining was performed on a Leica Biosystems BOND® RX instrument

Counterstained with Hematoxylin.

Secondary antibody only control : Secondary antibody is a ready to use Rabbit specific IHC polymer detection kit HRP/DAB (ab209101).

Heat mediated antigen retrieval was performed with Tris-EDTA buffer (pH 9.0, Epitope Retrieval Solution2) for 20 mins

Immunohistochemistry (Formalin/PFA-fixed paraffin-embedded sections) - Rabbit specific IHC polymer detection kit HRP/DAB (AB209101)
  • IHC-P

Supplier Data

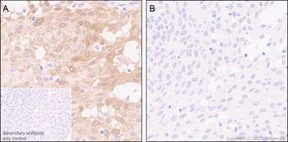
Immunohistochemistry (Formalin/PFA-fixed paraffin-embedded sections) - Rabbit specific IHC polymer detection kit HRP/DAB (AB209101)

Immunohistochemical analysis of paraffin-embedded cell pellets labeling CD116 with ab308294 at 1/100 dilution (5.04 ug/ml) followed by ready to use Rabbit specific IHC polymer detection kit HRP/DAB (ab209101). Positive staining on SK-MEL-2 (image A), no staining on MCF7 (image B) and HT-29 (image C). The section was incubated with ab308294 for 30 mins at room temperature. The immunostaining was performed on a Leica Biosystems BOND® RX instrument. Counterstained with Hematoxylin. Secondary antibody only control : Secondary antibody is ready to use Rabbit specific IHC polymer detection kit HRP/DAB (ab209101). Heat mediated antigen retrieval was performed with Tris-EDTA buffer (pH 9.0, Epitope Retrieval Solution2) for 20 mins.

Immunohistochemistry (Formalin/PFA-fixed paraffin-embedded sections) - Rabbit specific IHC polymer detection kit HRP/DAB (AB209101)
  • IHC-P

Lab

Immunohistochemistry (Formalin/PFA-fixed paraffin-embedded sections) - Rabbit specific IHC polymer detection kit HRP/DAB (AB209101)

Immunohistochemical analysis of Paraffin-embedded sections Human tonsil tissue labelling CD2 with ab131276 at 1/1000 dilution, followed by a ready to use secondary Rabbit specific IHC polymer detection kit HRP/DAB (ab209101). Staining on Human tonsil tissue is observed. Counter stained with Haematoxylin. Secondary antibody only control : Used PBS instead of primary antibody, secondary antibody is ready to use Rabbit specific IHC polymer detection kit HRP/DAB (ab209101). Heat mediated antigen retrieval using Bond™ Epitope Retrieval Solution 2 (pH 9.0). The immunostaining was performed on a Leica Biosystems BOND® RX instrument.

Immunohistochemistry (Formalin/PFA-fixed paraffin-embedded sections) - Rabbit specific IHC polymer detection kit HRP/DAB (AB209101)
  • IHC-P

Supplier Data

Immunohistochemistry (Formalin/PFA-fixed paraffin-embedded sections) - Rabbit specific IHC polymer detection kit HRP/DAB (AB209101)

Immunohistochemical analysis of paraffin-embedded Human hepatocellular tissue labeling PUS10 with ab313622 at 1/2000 (0.252 ug/ml) followed by a ready to use Rabbit specific IHC polymer detection kit HRP/DAB (ab209101). Positive staining on human hepatocellular carcinoma. The section was incubated with ab313622 for 30 mins at room temperature.The immunostaining was performed on a Leica Biosystems BOND® RX instrument Counterstained with Hematoxylin. Secondary antibody only control : Secondary antibody is a ready to use Rabbit specific IHC polymer detection kit HRP/DAB (ab209101). Heat mediated antigen retrieval was performed with Tris-EDTA buffer (pH 9.0, Epitope Retrieval Solution2) for 20 mins

Immunohistochemistry (Formalin/PFA-fixed paraffin-embedded sections) - Rabbit specific IHC polymer detection kit HRP/DAB (AB209101)
  • IHC-P

Supplier Data

Immunohistochemistry (Formalin/PFA-fixed paraffin-embedded sections) - Rabbit specific IHC polymer detection kit HRP/DAB (AB209101)

Immunohistochemical analysis of paraffin-embedded (A) KM-12 (human colon epithelial cell) untreated; (B) KM-12 treated with LOXO-101(10nM 2h); (C) KM-12 treated with alkaline phosphatase (after fixation and paraffin embedding).

A-C : whole cell pellet labeling with ab316756 at 1/2000 (0.263 ug/ml) dilution, followed by a ready to use Rabbit specific IHC polymer detection kit HRP/DAB (ab209101). The section was incubated with ab316756 for 30 mins at room temperature.
The immunostaining was performed on a Leica Biosystems BOND® RX instrument counterstained with Hematoxylin.

KM-12 express the constitutively active TPM3-NTRK1 fusion. Positive staining on (A) untreated KM-12. Reduced staining after (B) LOXO-101(10nM 2h) and (C) alkaline phosphatase treatment.

Secondary antibody only control : Secondary antibody is a ready to use Rabbit specific IHC polymer detection kit HRP/DAB (ab209101).

Heat mediated antigen retrieval was performed with Tris-EDTA buffer (pH 9.0, Epitope Retrieval Solution2) for 20 mins.

Immunohistochemistry (Formalin/PFA-fixed paraffin-embedded sections) - Rabbit specific IHC polymer detection kit HRP/DAB (AB209101)
  • IHC-P

Supplier Data

Immunohistochemistry (Formalin/PFA-fixed paraffin-embedded sections) - Rabbit specific IHC polymer detection kit HRP/DAB (AB209101)

Immunohistochemical analysis of paraffin-embedded Human tonsil tissue lABeling Flotillin 2/ESA with ab307422 at 1/1000 (0.535 ug/ml) followed by a ready to use RABbit specific IHC polymer detection kit HRP/DAB (ab209101). Positive staining on human tonsil. The section was incubated with ab307422 for 30 mins at room temperature.The immunostaining was performed on a Leica Biosystems BOND? RX instrument Counterstained with Hematoxylin. Secondary antibody only control : Secondary antibody is a ready to use RABbit specific IHC polymer detection kit HRP/DAB (ab209101). Heat mediated antigen retrieval was performed with Tris-EDTA buffer (pH 9.0, Epitope Retrieval Solution2) for 20 mins

Immunohistochemistry (Formalin/PFA-fixed paraffin-embedded sections) - Rabbit specific IHC polymer detection kit HRP/DAB (AB209101)
  • IHC-P

Lab

Immunohistochemistry (Formalin/PFA-fixed paraffin-embedded sections) - Rabbit specific IHC polymer detection kit HRP/DAB (AB209101)

Immunohistochemical analysis of paraffin-embedded Human tonsil tissue labelling CD90 / Thy1 with ab92574 at 1/400 dilution (0.26 μg/ml) followed by Rabbit specific IHC polymer detection kit HRP/DAB (ab209101) secondary antibody at a ready to use concentration. Positive staining on human tonsil. The section was incubated with ab92574 for 30 mins at room temperature. The immunostaining was performed on a Leica Biosystems BOND® RX instrument. Counterstained with Hematoxylin. Heat mediated antigen retrieval using Bond™ Epitope Retrieval Solution 2 (pH 9.0) for 20 minutes.

Immunohistochemistry (Formalin/PFA-fixed paraffin-embedded sections) - Rabbit specific IHC polymer detection kit HRP/DAB (AB209101)
  • IHC-P

Lab

Immunohistochemistry (Formalin/PFA-fixed paraffin-embedded sections) - Rabbit specific IHC polymer detection kit HRP/DAB (AB209101)

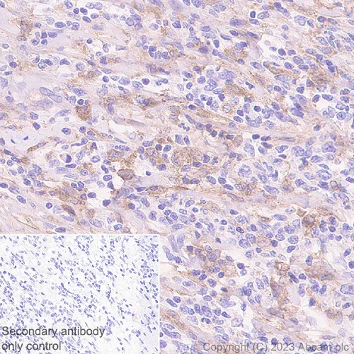
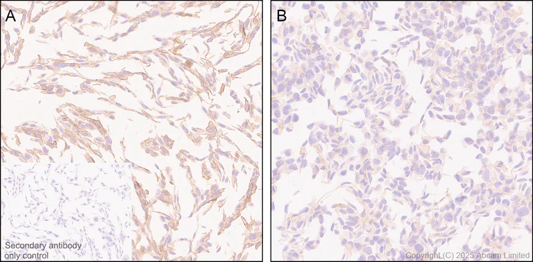
Immunohistochemical analysis of paraffin-embedded Human colon carcinoma tissue labelling CD90 / Thy1 with ab92574 at 1/400 dilution (0.26 μg/ml) followed by Rabbit specific IHC polymer detection kit HRP/DAB (ab209101) secondary antibody at a ready to use concentration. Positive staining on the stroma in human colon carcinoma. The section was incubated with ab92574 for 30 mins at room temperature. The immunostaining was performed on a Leica Biosystems BOND® RX instrument. Counterstained with Hematoxylin. Heat mediated antigen retrieval using Bond™ Epitope Retrieval Solution 2 (pH 9.0) for 20 minutes.

Immunohistochemistry (Formalin/PFA-fixed paraffin-embedded sections) - Rabbit specific IHC polymer detection kit HRP/DAB (AB209101)
  • IHC-P

Supplier Data

Immunohistochemistry (Formalin/PFA-fixed paraffin-embedded sections) - Rabbit specific IHC polymer detection kit HRP/DAB (AB209101)

Immunohistochemical analysis of paraffin-embedded (A) U-87 MG (human glioblastoma-astrocytoma epithelial cell). (B) PC-3 (human prostate adenocarcinoma epithelial cell). (C) MCF7 (human breast adenocarcinoma epithelial cell). (D) T-47D (human breast adenocarcinoma epithelial cell). tissue labeling ER81/ETV1 with ab322139 at 1/500 (0.994 ug/ml) dilution, followed by a ready to use Rabbit specific IHC polymer detection kit HRP/DAB (ab209101).

Positive staining in (A) U-87 MG and (B) PC-3; no staining in (C) MCF7 and (D) T-47D.
The section was incubated with ab322139 for 30 mins at room temperature.
The immunostaining was performed on a Leica Biosystems BOND® RX instrument

Counterstained with Hematoxylin.

Secondary antibody only control : Secondary antibody is a ready to use Rabbit specific IHC polymer detection kit HRP/DAB (ab209101).

Heat mediated antigen retrieval was performed with Tris-EDTA buffer (pH 9.0, Epitope Retrieval Solution2) for 20 mins

Immunohistochemistry (Formalin/PFA-fixed paraffin-embedded sections) - Rabbit specific IHC polymer detection kit HRP/DAB (AB209101)
  • IHC-P

Supplier Data

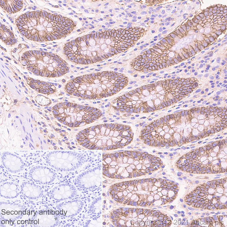
Immunohistochemistry (Formalin/PFA-fixed paraffin-embedded sections) - Rabbit specific IHC polymer detection kit HRP/DAB (AB209101)

Immunohistochemical analysis of paraffin-embedded human colon tissue labeling ZC3H13 with ab314638 at 1/100 (4.99 ug/ml) followed by a ready to use rabbit specific IHC polymer detection kit HRP/DAB (ab209101). Positive staining on human colon. The section was incubated with ab314638 for 30 mins at room temperature. The immunostaining was performed on a Leica Biosystems BOND® RX instrument .Counterstained with Hematoxylin. Secondary antibody only control : Secondary antibody is a ready to use Rabbit specific IHC polymer detection kit HRP/DAB (ab209101). Heat mediated antigen retrieval was performed with Tris-EDTA buffer (pH 9.0, Epitope Retrieval Solution2) for 20 mins.

Immunohistochemistry (Formalin/PFA-fixed paraffin-embedded sections) - Rabbit specific IHC polymer detection kit HRP/DAB (AB209101)
  • IHC-P

Supplier Data

Immunohistochemistry (Formalin/PFA-fixed paraffin-embedded sections) - Rabbit specific IHC polymer detection kit HRP/DAB (AB209101)

Immunohistochemical analysis of paraffin-embedded (A) Human lung without alkaline phosphatase treatment; (B) Human lung with alkaline phosphatase treatment tissue labeling Phosphoserine with ab322140 at 1/100 (4.9 ug/ml) dilution, followed by a ready to use Rabbit specific IHC polymer detection kit HRP/DAB (ab209101). Positive staining on (A) human lung without alkaline phosphatase treatment; negative staining on (B) human lung with alkaline phosphatase treatment. The section was incubated with ab322140 for 30 mins at room temperature. The immunostaining was performed on a Leica Biosystems BOND® RX instrument. Counterstained with Hematoxylin. Secondary antibody only control : Secondary antibody is a ready to use Rabbit specific IHC polymer detection kit HRP/DAB (ab209101). Heat mediated antigen retrieval was performed with Citrate buffer (pH 6.0, Epitope Retrieval Solution 1) for 20 mins.

Immunohistochemistry (Formalin/PFA-fixed paraffin-embedded sections) - Rabbit specific IHC polymer detection kit HRP/DAB (AB209101)
  • IHC-P

Supplier Data

Immunohistochemistry (Formalin/PFA-fixed paraffin-embedded sections) - Rabbit specific IHC polymer detection kit HRP/DAB (AB209101)

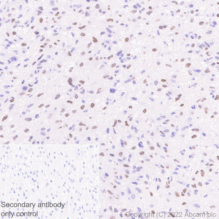
Immunohistochemical analysis of paraffin-embedded Human glioma tissue labeling IKKi/IKKe+NAK/TBK1 with ab289973 at 1/500 (1.088 ug/ml) followed by a ready to use Rabbit specific IHC polymer detection kit HRP/DAB (ab209101). Nuclear staining on human glioma (PMID : 21171089). The section was incubated with ab289973 for 30 mins at room temperature.The immunostaining was performed on a Leica Biosystems BOND® RX instrument Counterstained with Hematoxylin. Secondary antibody only control : Secondary antibody is a ready to use Rabbit specific IHC polymer detection kit HRP/DAB (ab209101). Heat mediated antigen retrieval with Tris-EDTA buffer (pH 9.0, epitope retrieval solution2) for 20 mins

Immunohistochemistry (Formalin/PFA-fixed paraffin-embedded sections) - Rabbit specific IHC polymer detection kit HRP/DAB (AB209101)
  • IHC-P

Supplier Data

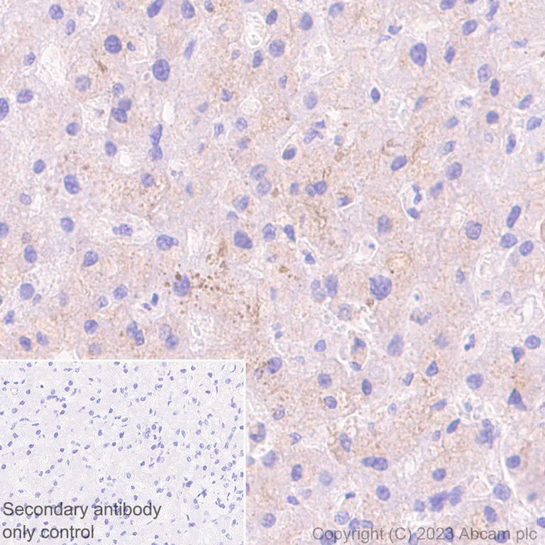
Immunohistochemistry (Formalin/PFA-fixed paraffin-embedded sections) - Rabbit specific IHC polymer detection kit HRP/DAB (AB209101)

Immunohistochemical analysis of paraffin-embedded human liver tissue labeling CFHR4 with ab314305 at 1/500 (1.038 ug/ml) followed by a ready to use Rabbit specific IHC polymer detection kit HRP/DAB (ab209101). Weakly cytoplasmic staining on human liver (PMID : 36338737, PMID : 36338737). The section was incubated with ab314305 for 30 mins at room temperature. The immunostaining was performed on a Leica Biosystems BOND® RX instrument. Counterstained with Hematoxylin. Secondary antibody only control : Secondary antibody is a ready to use Rabbit specific IHC polymer detection kit HRP/DAB (ab209101). Heat mediated antigen retrieval was performed with Tris-EDTA buffer (pH 9.0, Epitope Retrieval Solution2) for 20 mins.

Immunohistochemistry (Formalin/PFA-fixed paraffin-embedded sections) - Rabbit specific IHC polymer detection kit HRP/DAB (AB209101)
  • IHC-P

Supplier Data

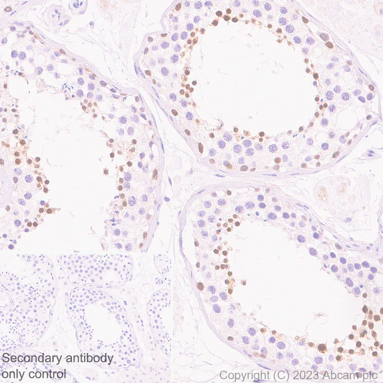
Immunohistochemistry (Formalin/PFA-fixed paraffin-embedded sections) - Rabbit specific IHC polymer detection kit HRP/DAB (AB209101)

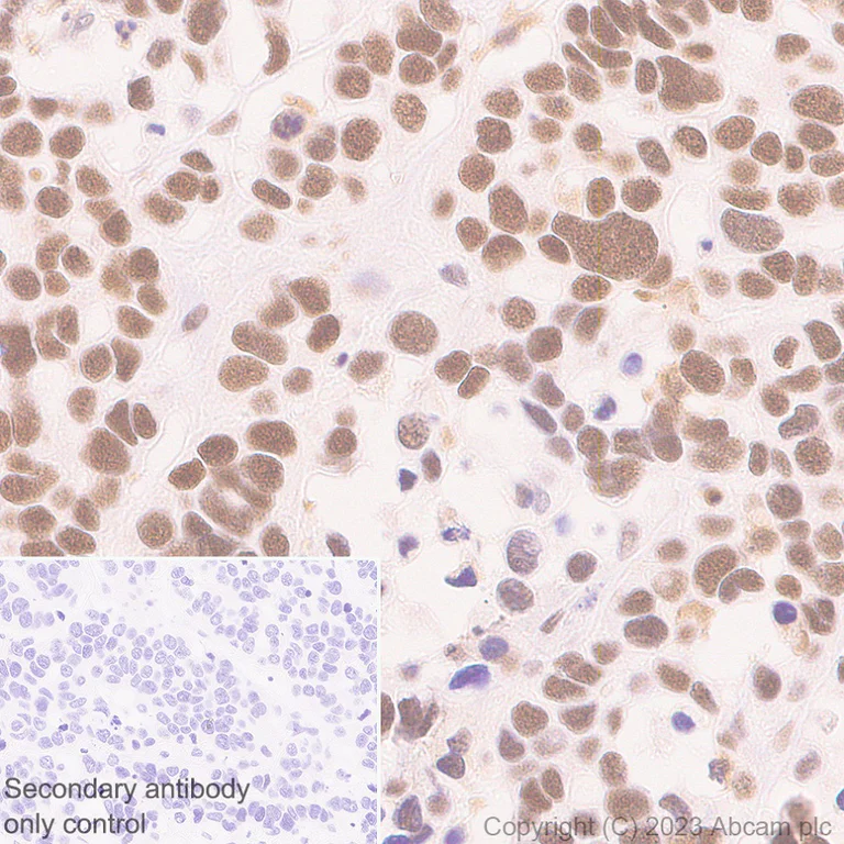
Immunohistochemical analysis of paraffin-embedded human testis tissue labeling CHD5 with ab300437 at 1/2000 dilution (0.237 µg/mL) followed by a ready to use Rabbit specific IHC polymer detection kit HRP/DAB (ab209101). Nuclear staining on human testis. The section was incubated with ab300437 at 4°C overnight. Counterstained with Hematoxylin. Secondary antibody only control : Secondary antibody is a ready to use Rabbit specific IHC polymer detection kit HRP/DAB (ab209101). Heat mediated antigen retrieval using ab208572 (Universal HIER antigen retrieval reagent)

Immunohistochemistry (Formalin/PFA-fixed paraffin-embedded sections) - Rabbit specific IHC polymer detection kit HRP/DAB (AB209101)
  • IHC-P

Supplier Data

Immunohistochemistry (Formalin/PFA-fixed paraffin-embedded sections) - Rabbit specific IHC polymer detection kit HRP/DAB (AB209101)

Immunohistochemical analysis of paraffin-embedded Tissue Microarray tissue labeling NUT with ab315460, followed by a ready to use Rabbit specific IHC polymer detection kit HRP/DAB (ab209101).

Table of the human normal TMA tissue depending on the staining. The section was incubated with ab315460 for 30 mins at room temperature. The immunostaining was performed on a Leica Biosystems BOND® RX instrument.

Counterstained with Hematoxylin.

Secondary antibody only control : Secondary antibody is a ready to use Rabbit specific IHC polymer detection kit HRP/DAB (ab209101).

Heat mediated antigen retrieval was performed with Tris-EDTA buffer (pH 9.0, Epitope Retrieval Solution2) for 20 mins

Immunohistochemistry (Formalin/PFA-fixed paraffin-embedded sections) - Rabbit specific IHC polymer detection kit HRP/DAB (AB209101)
  • IHC-P

Supplier Data

Immunohistochemistry (Formalin/PFA-fixed paraffin-embedded sections) - Rabbit specific IHC polymer detection kit HRP/DAB (AB209101)

Immunohistochemical analysis of paraffin-embedded Human cerebellum tissue labeling ER81/ETV1 with ab322139 at 1/500 (0.994 ug/ml) dilution, followed by a ready to use Rabbit specific IHC polymer detection kit HRP/DAB (ab209101).

Positive staining in human cerebellum.
The section was incubated with ab322139 for 30 mins at room temperature.
The immunostaining was performed on a Leica Biosystems BOND® RX instrument

Counterstained with Hematoxylin.

Secondary antibody only control : Secondary antibody is a ready to use Rabbit specific IHC polymer detection kit HRP/DAB (ab209101).

Heat mediated antigen retrieval was performed with Tris-EDTA buffer (pH 9.0, Epitope Retrieval Solution2) for 20 mins

Immunohistochemistry - Rabbit specific IHC polymer detection kit HRP/DAB (AB209101)
  • IHC

Supplier Data

Immunohistochemistry - Rabbit specific IHC polymer detection kit HRP/DAB (AB209101)

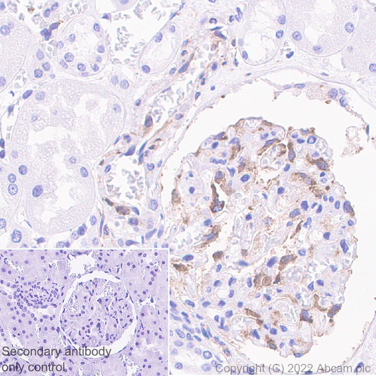
Immunohistochemical analysis of paraffin-embedded human kidney tissue labeling MAP1B with ab307286 at 1/1000 (0.496 ug/ml) followed by ready to use Rabbit specific IHC polymer detection kit HRP/DAB (ab209101). Positive staining on human glomeruli (PMID : 26448484). The section was incubated with ab307286 for 30 mins at room temperature. The immunostaining was performed on a Leica Biosystems BOND® RX instrument. Counterstained with Hematoxylin. Secondary antibody only control : Secondary antibody is ready to use Rabbit specific IHC polymer detection kit HRP/DAB (ab209101). Heat mediated antigen retrieval was performed with Tris-EDTA buffer (pH 9.0, Epitope Retrieval Solution2) for 20 mins.

Immunohistochemistry (Formalin/PFA-fixed paraffin-embedded sections) - Rabbit specific IHC polymer detection kit HRP/DAB (AB209101)
  • IHC-P

Supplier Data

Immunohistochemistry (Formalin/PFA-fixed paraffin-embedded sections) - Rabbit specific IHC polymer detection kit HRP/DAB (AB209101)

Immunohistochemical analysis of paraffin-embedded (A) SK-BR-3 (human breast adenocarcinoma epithelial cell) cell pellet. (B) NCI-H929 (human Bone B lymphocyte) cell pellet. (C) SUM149PT (human breast adenocarcinoma cell) cell pellet. (D) HeLa (human cervical adenocarcinoma epithelial cell) cell pellet. tissue labeling Adenosine Receptor A2a with ab325013 at 1/500 (1.04 ug/ml) dilution, followed by a ready to use Rabbit specific IHC polymer detection kit HRP/DAB (ab209101).

Positive staining on (A) SK-BR-3 and (B) NCI-H929, no staining on (C) SUM149PT and (C) HeLa. The primary antibody was incubated for 30 mins at room temperature.
The immunostaining was performed on a Leica Biosystems BOND® RX instrument

Counterstained with Hematoxylin.

Secondary antibody only control : Secondary antibody is a ready to use Rabbit specific IHC polymer detection kit HRP/DAB (ab209101).

Heat mediated antigen retrieval was performed with Citrate buffer (pH 6.0, Epitope Retrieval Solution 1) for 20 mins

Immunohistochemistry (Formalin/PFA-fixed paraffin-embedded sections) - Rabbit specific IHC polymer detection kit HRP/DAB (AB209101)
  • IHC-P

Supplier Data

Immunohistochemistry (Formalin/PFA-fixed paraffin-embedded sections) - Rabbit specific IHC polymer detection kit HRP/DAB (AB209101)

Immunohistochemical analysis of paraffin-embedded Human testis tissue labeling NUT with ab315460 at 1/5000 (0.103 ug/ml) dilution, followed by a ready to use Rabbit specific IHC polymer detection kit HRP/DAB (ab209101).

Positive staining on human testis. The section was incubated with ab315460 for 30 mins at room temperature.
The immunostaining was performed on a Leica Biosystems BOND® RX instrument

Counterstained with Hematoxylin.

Secondary antibody only control : Secondary antibody is a ready to use Rabbit specific IHC polymer detection kit HRP/DAB (ab209101).

Heat mediated antigen retrieval was performed with Tris-EDTA buffer (pH 9.0, Epitope Retrieval Solution2) for 20 mins

Immunohistochemistry (Formalin/PFA-fixed paraffin-embedded sections) - Rabbit specific IHC polymer detection kit HRP/DAB (AB209101)
  • IHC-P

Supplier Data

Immunohistochemistry (Formalin/PFA-fixed paraffin-embedded sections) - Rabbit specific IHC polymer detection kit HRP/DAB (AB209101)

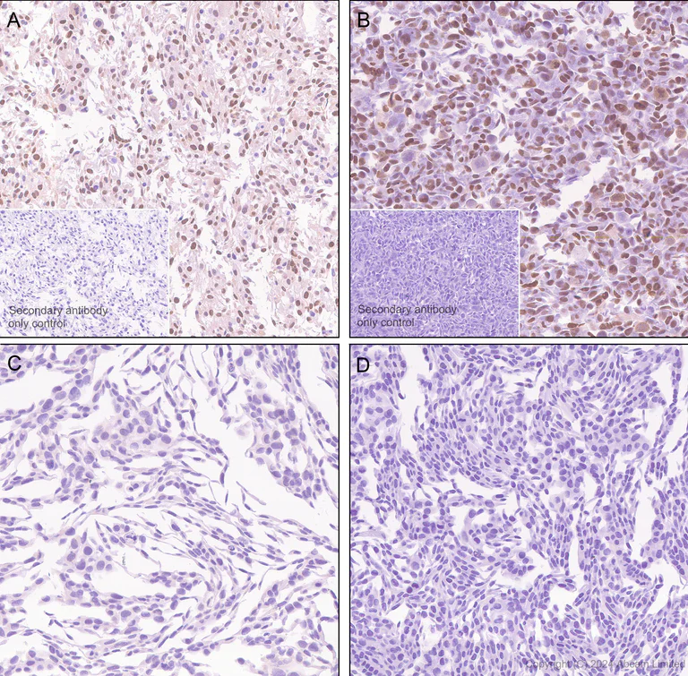
Immunohistochemical analysis of paraffin-embedded (A) HeLa (human cervix adenocarcinoma epithelial cell) without alkaline phosphatase treatment cell pellet; (B) HeLa+Calyculin A(100nM 30min) without alkaline phosphatase treatment cell pellet ; (C) HeLa with alkaline phosphatase treatment cell pellet; (D) HeLa +Calyculin A(100nM 30min) with alkaline phosphatase treatment cell pellet tissue labeling Phosphoserine with ab322140 at 1/500 (0.98 ug/ml) dilution, followed by a ready to use Rabbit specific IHC polymer detection kit HRP/DAB (ab209101). Positive staining on cell pellets of (A) untreated HeLa (human cervix adenocarcinoma epithelial cell), (B) HeLa+Calyculin A(100nM 30min), no staining on cell pellets of (C) HeLa with alkaline phosphatase treatment and (D) HeLa +Calyculin A(100nM 30min) with alkaline phosphatase treatment. The section was incubated with ab322140 for 30 mins at room temperature. The immunostaining was performed on a Leica Biosystems BOND® RX instrument. Counterstained with Hematoxylin. Secondary antibody only control : Secondary antibody is a ready to use Rabbit specific IHC polymer detection kit HRP/DAB (ab209101). Heat mediated antigen retrieval was performed with Citrate buffer (pH 6.0, Epitope Retrieval Solution 1) for 20 mins.

Immunohistochemistry (Formalin/PFA-fixed paraffin-embedded sections) - Rabbit specific IHC polymer detection kit HRP/DAB (AB209101)
  • IHC-P

Supplier Data

Immunohistochemistry (Formalin/PFA-fixed paraffin-embedded sections) - Rabbit specific IHC polymer detection kit HRP/DAB (AB209101)

Immunohistochemical analysis of paraffin-embedded Human cerebral cortex tissue labeling ER81/ETV1 with ab322139 at 1/500 (0.994 ug/ml) dilution, followed by a ready to use Rabbit specific IHC polymer detection kit HRP/DAB (ab209101).

Positive staining in human cerebral cortex.
The section was incubated with ab322139 for 30 mins at room temperature.
The immunostaining was performed on a Leica Biosystems BOND® RX instrument

Counterstained with Hematoxylin.

Secondary antibody only control : Secondary antibody is a ready to use Rabbit specific IHC polymer detection kit HRP/DAB (ab209101).

Heat mediated antigen retrieval was performed with Tris-EDTA buffer (pH 9.0, Epitope Retrieval Solution2) for 20 mins

Immunohistochemistry (Formalin/PFA-fixed paraffin-embedded sections) - Rabbit specific IHC polymer detection kit HRP/DAB (AB209101)
  • IHC-P

Supplier Data

Immunohistochemistry (Formalin/PFA-fixed paraffin-embedded sections) - Rabbit specific IHC polymer detection kit HRP/DAB (AB209101)

Immunohistochemistry (Formalin/PFA-fixed paraffin-embedded sections) analysis of Human breast cancer tissue sections labeling Progesterone Receptor with ab101688 at 1/400 dilution. Heat mediated antigen retrieval with sodium citrate buffer (pH 6.0, epitope retrieval solution 1) for 10mins. Rabbit specific IHC polymer detection kit HRP/DAB (ab209101) was used as the secondary antibody. Hematoxylin was used as a counterstain. Nuclear staining on human breast cancer tissue, performed on a Leica Biosystems BOND® RX instrument.

Immunohistochemistry (Formalin/PFA-fixed paraffin-embedded sections) - Rabbit specific IHC polymer detection kit HRP/DAB (AB209101)
  • IHC-P

Supplier Data

Immunohistochemistry (Formalin/PFA-fixed paraffin-embedded sections) - Rabbit specific IHC polymer detection kit HRP/DAB (AB209101)

Immunohistochemical analysis of paraffin-embedded human gastric adenocarcinoma tissue labeling ZC3H13 with ab314638 at 1/100 (4.99 ug/ml) followed by a ready to use Rabbit specific IHC polymer detection kit HRP/DAB (ab209101). Positive staining on human gastric adenocarcinoma. The section was incubated with ab314638 for 30 mins at room temperature. The immunostaining was performed on a Leica Biosystems BOND® RX instrument. Counterstained with Hematoxylin. Secondary antibody only control : Secondary antibody is a ready to use Rabbit specific IHC polymer detection kit HRP/DAB (ab209101). Heat mediated antigen retrieval was performed with Tris-EDTA buffer (pH 9.0, Epitope Retrieval Solution2) for 20 mins.

Immunohistochemistry (Formalin/PFA-fixed paraffin-embedded sections) - Rabbit specific IHC polymer detection kit HRP/DAB (AB209101)
  • IHC-P

Lab

Immunohistochemistry (Formalin/PFA-fixed paraffin-embedded sections) - Rabbit specific IHC polymer detection kit HRP/DAB (AB209101)

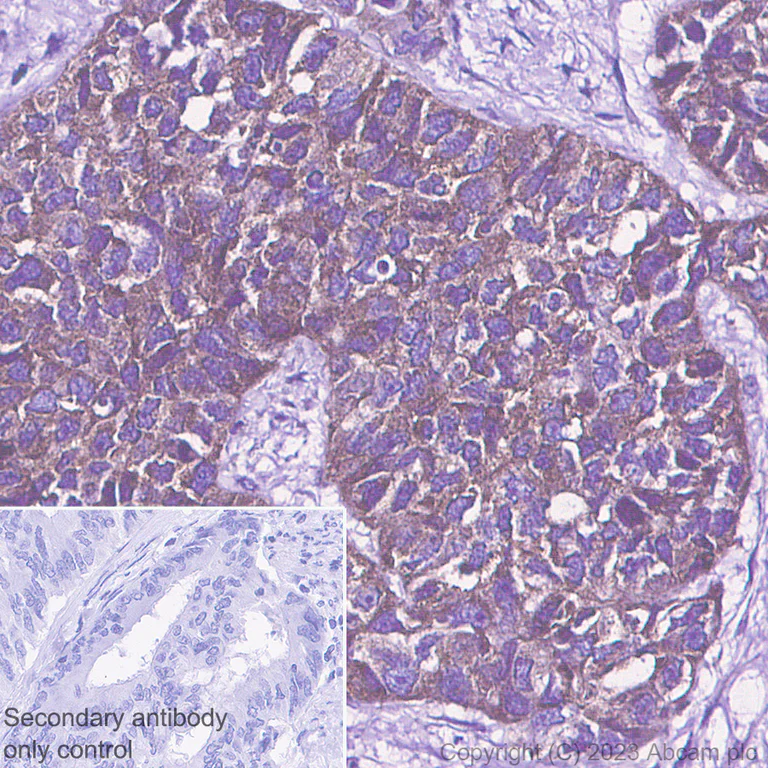
Immunohistochemical analysis of Paraffin-embedded sections human gastric carcinoma tissue labelling PKC beta 2 with ab32026 at 1/300 dilution, followed by a ready to use secondary Rabbit specific IHC polymer detection kit HRP/DAB (ab209101). Staining on human gastric carcinoma tissue is observed. Counter stained with Haematoxylin. Secondary antibody only control : Used PBS instead of primary antibody, secondary antibody is ready to use Rabbit specific IHC polymer detection kit HRP/DAB (ab209101). Heat mediated antigen retrieval using Bond™ Epitope Retrieval Solution 2 (pH 9.0). The immunostaining was performed on a Leica Biosystems BOND® RX instrument.

Immunohistochemistry (Formalin/PFA-fixed paraffin-embedded sections) - Rabbit specific IHC polymer detection kit HRP/DAB (AB209101)
  • IHC-P

Supplier Data

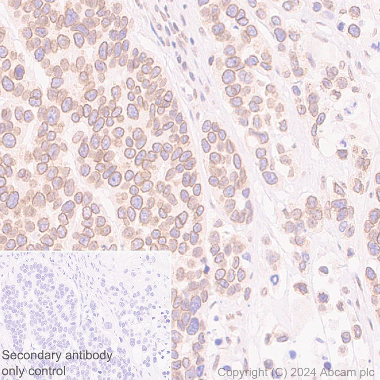
Immunohistochemistry (Formalin/PFA-fixed paraffin-embedded sections) - Rabbit specific IHC polymer detection kit HRP/DAB (AB209101)

Immunohistochemical analysis of paraffin-embedded human endometrial carcinoma tissue labeling PAK4 with ab314765 at 1/50 (10.52 ug/ml) dilution, followed by a ready to use Rabbit specific IHC polymer detection kit HRP/DAB (ab209101). Positive staining on human endometrial carcinoma. The section was incubated with ab314765 for 30 mins at room temperature. The immunostaining was performed on a Leica Biosystems BOND® RX instrument. Counterstained with Hematoxylin. Secondary antibody only control : Secondary antibody is a ready to use Rabbit specific IHC polymer detection kit HRP/DAB (ab209101). Heat mediated antigen retrieval was performed with Tris-EDTA buffer (pH 9.0, Epitope Retrieval Solution2) for 20 mins.

Immunohistochemistry (Formalin/PFA-fixed paraffin-embedded sections) - Rabbit specific IHC polymer detection kit HRP/DAB (AB209101)
  • IHC-P

Supplier Data

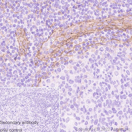
Immunohistochemistry (Formalin/PFA-fixed paraffin-embedded sections) - Rabbit specific IHC polymer detection kit HRP/DAB (AB209101)

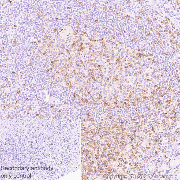
Immunohistochemical analysis of paraffin-embedded Human tonsil tissue labeling CSF-1-R with ab315490 at 1/2000 (0.248 ug/ml) dilution, followed by a ready to use Rabbit specific IHC polymer detection kit HRP/DAB (ab209101).

Positive staining on human tonsil. The section was incubated with ab315490 for 30 mins at room temperature.
The immunostaining was performed on a Leica Biosystems BOND® RX instrument.

Counterstained with Hematoxylin.

Secondary antibody only control : Secondary antibody is a ready to use Rabbit specific IHC polymer detection kit HRP/DAB (ab209101).

Heat mediated antigen retrieval was performed with Tris-EDTA buffer (pH 9.0, Epitope Retrieval Solution2) for 20 mins.

Immunohistochemistry (Formalin/PFA-fixed paraffin-embedded sections) - Rabbit specific IHC polymer detection kit HRP/DAB (AB209101)
  • IHC-P

Supplier Data

Immunohistochemistry (Formalin/PFA-fixed paraffin-embedded sections) - Rabbit specific IHC polymer detection kit HRP/DAB (AB209101)

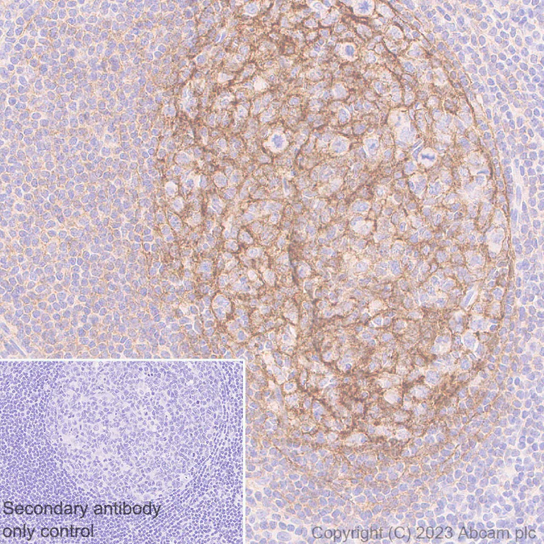
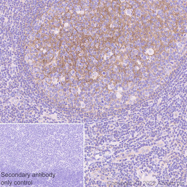
Immunohistochemical analysis of paraffin-embedded Human tonsil tissue labeling CD21 with ab315160 at 1/50 (10.56 ug/ml) dilution, followed by a ready to use Rabbit specific IHC polymer detection kit HRP/DAB (ab209101).

Positive staining on germinal center of human tonsil. The section was incubated with ab315160 for 30 mins at room temperature. The immunostaining was performed on a Leica Biosystems BOND® RX instrument Counterstained with Hematoxylin.

Secondary antibody only control : Secondary antibody is a ready to use Rabbit specific IHC polymer detection kit HRP/DAB (ab209101).

Heat mediated antigen retrieval was performed with Tris-EDTA buffer (pH 9.0, Epitope Retrieval Solution2) for 20 mins

Immunohistochemistry (Formalin/PFA-fixed paraffin-embedded sections) - Rabbit specific IHC polymer detection kit HRP/DAB (AB209101)
  • IHC-P

Supplier Data

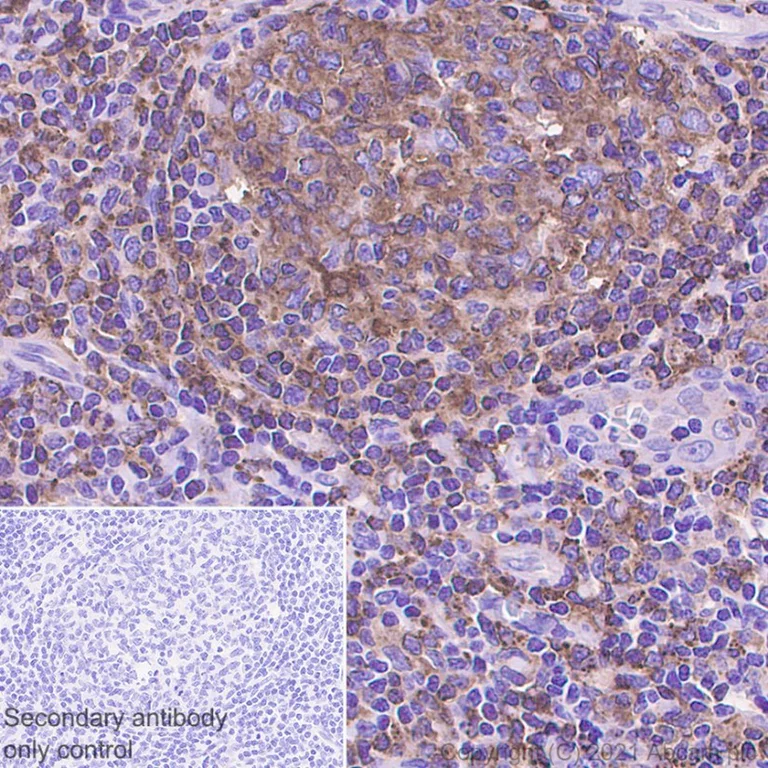
Immunohistochemistry (Formalin/PFA-fixed paraffin-embedded sections) - Rabbit specific IHC polymer detection kit HRP/DAB (AB209101)

Immunohistochemical analysis of paraffin-embedded human diffuse large B-cell lymphoma tissue labeling CD116 with ab308294 at 1/100 dilution (5.04 ug/ml) followed by ready to use Rabbit specific IHC polymer detection kit HRP/DAB (ab209101). Positive staining on human diffuse large B-cell lymphoma. The section was incubated with ab308294 for 30 mins at room temperature. The immunostaining was performed on a Leica Biosystems BOND® RX instrument. Counterstained with Hematoxylin. Secondary antibody only control : Secondary antibody is ready to use Rabbit specific IHC polymer detection kit HRP/DAB (ab209101). Heat mediated antigen retrieval was performed with Tris-EDTA buffer (pH 9.0, Epitope Retrieval Solution2) for 20 mins.

Immunohistochemistry (Formalin/PFA-fixed paraffin-embedded sections) - Rabbit specific IHC polymer detection kit HRP/DAB (AB209101)
  • IHC-P

Lab

Immunohistochemistry (Formalin/PFA-fixed paraffin-embedded sections) - Rabbit specific IHC polymer detection kit HRP/DAB (AB209101)

Immunohistochemical analysis of Paraffin-embedded sections human tonsil tissue labelling MHC Class II beta with ab170867 at 1/2000 dilution, followed by a ready to use Rabbit specific IHC polymer detection kit HRP/DAB (ab209101). Counter stained with Haematoxylin. Secondary antibody only control : Used PBS instead of primary antibody, secondary antibody is ready to use Rabbit specific IHC polymer detection kit HRP/DAB (ab209101). Heat mediated antigen retrieval using Bond™ Epitope Retrieval Solution 2 (pH 9.0) for 20 minutes. Positive staining on human tonsil. The section was incubated with ab170867 for 30 mins at room temperature. The immunostaining was performed on a Leica Biosystems BOND® RX instrument

Immunohistochemistry (Formalin/PFA-fixed paraffin-embedded sections) - Rabbit specific IHC polymer detection kit HRP/DAB (AB209101)
  • IHC-P

Supplier Data

Immunohistochemistry (Formalin/PFA-fixed paraffin-embedded sections) - Rabbit specific IHC polymer detection kit HRP/DAB (AB209101)

Immunohistochemical analysis of paraffin-embedded Human small intestin tissue labeling ENPP3/B10 with ab313376 at 1/100 (5.27 ug/ml) followed by a ready to use Rabbit specific IHC polymer detection kit HRP/DAB (ab209101). Positive staining on human small intestine (PMID : 26589436). The section was incubated with ab313376 for 30 mins at room temperature.The immunostaining was performed on a Leica Biosystems BOND® RX instrument Counterstained with Hematoxylin. Secondary antibody only control : Secondary antibody is a ready to use Rabbit specific IHC polymer detection kit HRP/DAB (ab209101). Heat mediated antigen retrieval was performed with Tris-EDTA buffer (pH 9.0, Epitope Retrieval Solution2) for 20 mins

Immunohistochemistry (Formalin/PFA-fixed paraffin-embedded sections) - Rabbit specific IHC polymer detection kit HRP/DAB (AB209101)
  • IHC-P

Unknown

Immunohistochemistry (Formalin/PFA-fixed paraffin-embedded sections) - Rabbit specific IHC polymer detection kit HRP/DAB (AB209101)

Immunohistochemical analysis of paraffin-embedded human cerebrum tissue labeling SIRP alpha with ab260039 at 1/500 followed by a ready to use Rabbit specific IHC polymer detection kit HRP/DAB (ab209101). Positive staining on the human cerebrum (PMID : 9062191) is observed. The section was incubated with ab260039 for 15 mins at room temperature. The immunostaining staining was performed on a Leica Biosystems BOND® RX instrument. Counterstained with hematoxylin.

Secondary antibody only control : Ready to use Rabbit specific IHC polymer detection kit HRP/DAB (ab209101).

Heat mediated antigen retrieval was performed with Tris-EDTA buffer (pH 9.0, Epitope Retrieval Solution2) for 20 mins.

Immunohistochemistry (Formalin/PFA-fixed paraffin-embedded sections) - Rabbit specific IHC polymer detection kit HRP/DAB (AB209101)
  • IHC-P

Supplier Data

Immunohistochemistry (Formalin/PFA-fixed paraffin-embedded sections) - Rabbit specific IHC polymer detection kit HRP/DAB (AB209101)

Immunohistochemical analysis of paraffin-embedded Human breast carcinoma tissue labeling Adenosine Receptor A2a with ab325013 at 1/500 (1.04 ug/ml) dilution, followed by a ready to use Rabbit specific IHC polymer detection kit HRP/DAB (ab209101).

Positive staining on human breast carcinoma. The primary antibody was incubated for 30 mins at room temperature.
The immunostaining was performed on a Leica Biosystems BOND® RX instrument

Counterstained with Hematoxylin.

Secondary antibody only control : Secondary antibody is a ready to use Rabbit specific IHC polymer detection kit HRP/DAB (ab209101).

Heat mediated antigen retrieval was performed with Citrate buffer (pH 6.0, Epitope Retrieval Solution 1) for 20 mins

Immunohistochemistry (Formalin/PFA-fixed paraffin-embedded sections) - Rabbit specific IHC polymer detection kit HRP/DAB (AB209101)
  • IHC-P

Lab

Immunohistochemistry (Formalin/PFA-fixed paraffin-embedded sections) - Rabbit specific IHC polymer detection kit HRP/DAB (AB209101)

Immunohistochemical analysis of paraffin-embedded Human liver tissue labeling ALDH7A1 with ab68192 at 1/4000 (0.08 ug/ml) dilution, followed by a ready to use Rabbit specific IHC polymer detection kit HRP/DAB (ab209101).

The section was incubated with ab68192 for 30 mins at room temperature. The immunostaining was performed on a Leica Biosystems BOND® RX instrument

Counterstained with Hematoxylin.

Secondary antibody only control : Secondary antibody is a ready to use Rabbit specific IHC polymer detection kit HRP/DAB (ab209101).

Heat mediated antigen retrieval was performed with Citrate buffer (pH 6.0, epitope retrieval solution 1) for 20 mins

Immunohistochemistry (Formalin/PFA-fixed paraffin-embedded sections) - Rabbit specific IHC polymer detection kit HRP/DAB (AB209101)
  • IHC-P

Lab

Immunohistochemistry (Formalin/PFA-fixed paraffin-embedded sections) - Rabbit specific IHC polymer detection kit HRP/DAB (AB209101)

Immunohistochemical analysis of Paraffin-embedded sections human colon tissue labelling NDRG1 with ab124689 at 1/1000 dilution, followed by a ready to use secondary Rabbit specific IHC polymer detection kit HRP/DAB (ab209101). Staining on human colon tissue is observed. Counter stained with Haematoxylin. Secondary antibody only control : Used PBS instead of primary antibody, secondary antibody is ready to use Rabbit specific IHC polymer detection kit HRP/DAB (ab209101). Heat mediated antigen retrieval using Bond™ Epitope Retrieval Solution 2 (pH 9.0). The immunostaining was performed on a Leica Biosystems BOND® RX instrument.

Immunohistochemistry (Formalin/PFA-fixed paraffin-embedded sections) - Rabbit specific IHC polymer detection kit HRP/DAB (AB209101)
  • IHC-P

Supplier Data

Immunohistochemistry (Formalin/PFA-fixed paraffin-embedded sections) - Rabbit specific IHC polymer detection kit HRP/DAB (AB209101)

Immunohistochemical analysis of paraffin-embedded (A) NCI-H1975 (human adenocarcinoma lung epithelial cell) cell pellet and (B) NCI-H1299 (human lung carcinoma epithelial cell) cell pellet labeling Ninjurin-1 with ab325137 at 1/500 (0.978 ug/ml) dilution, followed by a ready to use Rabbit specific IHC polymer detection kit HRP/DAB (ab209101).

Positive staining on (A) NCI-H1975 cell pellet, weak staining on (B) NCI-H1299 cell pellet (PMID : 35395804).
The primary antibody was incubated for 30 mins at room temperature.
The immunostaining was performed on a Leica Biosystems BOND® RX instrument

Counterstained with Hematoxylin.

Secondary antibody only control : Secondary antibody is a ready to use Rabbit specific IHC polymer detection kit HRP/DAB (ab209101).

Heat mediated antigen retrieval was performed with Tris-EDTA buffer (pH 9.0, Epitope Retrieval Solution2) for 20 mins.

Immunohistochemistry (Formalin/PFA-fixed paraffin-embedded sections) - Rabbit specific IHC polymer detection kit HRP/DAB (AB209101)
  • IHC-P

Supplier Data

Immunohistochemistry (Formalin/PFA-fixed paraffin-embedded sections) - Rabbit specific IHC polymer detection kit HRP/DAB (AB209101)

Immunohistochemical analysis of paraffin-embedded Human stomach cancer tissue labeling ZCWCC1 with ab315903 at 1/100 (5.03 ug/ml) dilution, followed by a ready to use Rabbit specific IHC polymer detection kit HRP/DAB (ab209101).

Nuclear staining on human stomach cancer (PMID : 26098774). The section was incubated with ab315903 for 30 mins at room temperature.
The immunostaining was performed on a Leica Biosystems BOND® RX instrument

Counterstained with Hematoxylin.

Secondary antibody only control : Secondary antibody is a ready to use Rabbit specific IHC polymer detection kit HRP/DAB (ab209101).

Heat mediated antigen retrieval was performed with Tris-EDTA buffer (pH 9.0, Epitope Retrieval Solution2) for 20 mins

关键信息

反应性数据

{ "title": "Reactivity Data", "filters": { "stats": ["", "Reactivity", "Dilution Info", "Notes"] }, "values": { "IHC": { "reactivity":"TESTED_AND_REACTS", "dilution-info":"", "notes":"<p></p>" } } }

产品详情

Rabbit specific IHC polymer detection kit HRP/DAB (ab209101) is a sensitive immunoenzymatic system for detecting antibodies bound to antigens within tissue sections by light microscopy. Signal amplification is achieved using an indirect polymer detection system.

As Rabbit specific IHC polymer detection kit HRP/DAB does not use avidin or biotin, nonspecific staining from endogenous avidin-biotin activity is eliminated and there is no need for additional steps to block endogenous biotin.

How the kit works
- Primary antibody specific to an antigen on the tissue section is detected by primary antibody Amplifier.
- HRP polymer is added to enable detection with signal amplification.
- Antibody-bound antigen sites are visualized by adding an appropriate substrate/chromogen (not provided). We recommend the DAB Substrate Kit (ab64238).

Find complete IHC kits, and reagents for antigen retrieval, blocking, signal amplification, visualization, counterstaining, and mounting in the IHC kits and reagents guide.

规格

{ "values": { "15mL": { "sellingSize": "15 mL", "publicAssetCode":"ab209101-15mL", "assetComponentDetails": [ { "size":"1 x 15 mL", "name":"Amplifier", "number":"AB209101-CMP01", "productcode":"" }, { "size":"1 x 15 mL", "name":"Detector", "number":"AB209101-CMP02", "productcode":"" } ] } } }

性能和储存信息

运输条件
Blue Ice
推荐的短期储存条件
+4°C
推荐的长期储存条件
+4°C
储存信息
+4°C

产品实验方案

靶点信息

文献 (21)

Recent publications for all applications. Explore the full list and refine your search

Journal of nanobiotechnology 21:431 PubMed37978538

2023

Fe-doped carbon dots: a novel biocompatible nanoplatform for multi-level cancer therapy.

Applications

Unspecified application

Species

Unspecified reactive species

Mingxi Yang,Haiqiu Li,Xinchen Liu,Lei Huang,Boya Zhang,Kexuan Liu,Wangni Xie,Jing Cui,Daowei Li,Laijin Lu,Hongchen Sun,Bai Yang

Cells 12: PubMed37947632

2023

Myocardial Mitochondrial DNA Drives Macrophage Inflammatory Response through STING Signaling in Coxsackievirus B3-Induced Viral Myocarditis.

Applications

Unspecified application

Species

Unspecified reactive species

Andong Qin,Zhenke Wen,Sidong Xiong

International journal of general medicine 15:7383-7393 PubMed36164284

2022

The Clinical Significance of Deglycosylated PD-L1 Level Detection Using 28-8 Monoclonal Antibody in Lung Adenocarcinoma.

Applications

Unspecified application

Species

Unspecified reactive species

Huiyu Wang,Dingyi Gu,Datian Chen,Jie Mei,Xuejing Yang,Junli Ding,Junying Xu,Meilin Wang,Chaoying Liu,Dong Hua

International journal of molecular sciences 23: PubMed36012579

2022

Nebulized Non-Immunogenic Staphylokinase in the Mice Acute Lung Injury Model.

Applications

Unspecified application

Species

Unspecified reactive species

Sergey S Markin,Roman D Lapshin,Olga S Baskina,Svetlana A Korotchenko,Irina V Mukhina,Sergei V Ivanov,Mikhail P Semenov,Valerii V Beregovykh,Andrey M Semenov

ACS nano 16:12695-12710 PubMed35939651

2022

Lipid Nanoparticle Delivery of Fas Plasmid Restores Fas Expression to Suppress Melanoma Growth .

Applications

Unspecified application

Species

Unspecified reactive species

Zeinab Y Al Subeh,Dakota B Poschel,Priscilla S Redd,John D Klement,Alyssa D Merting,Dafeng Yang,Megh Mehta,Huidong Shi,Yolonda L Colson,Nicholas H Oberlies,Cedric J Pearce,Aaron H Colby,Mark W Grinstaff,Kebin Liu

Quantitative imaging in medicine and surgery 12:3300-3313 PubMed35655844

2022

Immuno-PET imaging of PD-L1 expression in patient-derived lung cancer xenografts with [Ga]Ga-NOTA-Nb109.

Applications

Unspecified application

Species

Unspecified reactive species

Qingzhu Liu,Xiaodan Wang,Yanling Yang,Chao Wang,Jian Zou,Jianguo Lin,Ling Qiu

International journal of molecular sciences 23: PubMed35408778

2022

Inhaled Placental Mesenchymal Stromal Cell Secretome from Two- and Three-Dimensional Cell Cultures Promotes Survival and Regeneration in Acute Lung Injury Model in Mice.

Applications

Unspecified application

Species

Unspecified reactive species

Vasily A Kudinov,Rafael I Artyushev,Irina M Zurina,Elena S Zorina,Roman D Lapshin,Ludmila B Snopova,Irina V Mukhina,Irina N Saburina

Nephron 146:528-538 PubMed35176745

2022

Losartan Attenuates Atherosclerosis in Uremic Mice by Regulating Treg/Th17 Balance via Mediating PTEN/PI3K/Akt Pathway.

Applications

Unspecified application

Species

Unspecified reactive species

Shanzhai Wei,Jie Sun,Yibei Li,Kangchun Xu,Man Wang,Yilai Zhang

mBio 12:e0160821 PubMed34465030

2021

Signaling through Syk or CARD9 Mediates Species-Specific Anti- Protection in Bone Marrow Chimeric Mice.

Applications

Unspecified application

Species

Unspecified reactive species

Erik Zajta,Katalin Csonka,Adél Tóth,Laszló Tiszlavicz,Tamás Németh,Anita Orosz,Ádám Novák,Máté Csikós,Csaba Vágvölgyi,Attila Mócsai,Attila Gácser

Cancer communications (London, England) 41:851-866 PubMed34251762

2021

Nuclear Aurora kinase A triggers programmed death-ligand 1-mediated immune suppression by activating MYC transcription in triple-negative breast cancer.

Applications

Unspecified application

Species

Unspecified reactive species

Shulan Sun,Wei Zhou,Xiaoxi Li,Fei Peng,Min Yan,Yajing Zhan,Fan An,Xiaoyan Li,Yunyong Liu,Quentin Liu,Haozhe Piao
View all publications

Abcam Product Promise

我们致力于为您的研究提供高质量的试剂,为您科研的每一步提供支持。若我们的产品未能达到预期性能,我们向您提供 Abcam Product Promise 保障。
详情请参阅我们的条款与条件。
websiteProtocolBooklet
en

关联产品

Select an associated product type
Alternative Product
Assay Kits

AB176739

Fixable Cell Viability Assay Kit (Fluorometric - Green Ex 405 nm) - CytoPainter

assay-kits

fixable-cell-viability-assay-kit-fluorometric-green-ex-405-nm-cytopainter-ab176739

0

(0 reviews)

Alternative Product
Assay Kits

AB176740

Fixable Cell Viability Assay Kit (Fluorometric - Orange Ex 405 nm) - Cytopainter

assay-kits

fixable-cell-viability-assay-kit-fluorometric-orange-ex-405-nm-cytopainter-ab176740

0

(0 reviews)

Alternative Product
Assay Kits

AB176743

Fixable Cell Viability Assay Kit (Fluorometric - Orange Ex 488 nm) - Cytopainter

assay-kits

fixable-cell-viability-assay-kit-fluorometric-orange-ex-488-nm-cytopainter-ab176743

0

(0 reviews)

Please note: All products are 'FOR RESEARCH USE ONLY. NOT FOR USE IN DIAGNOSTIC OR THERAPEUTIC PROCEDURES'.

For licensing inquiries, please contact partnerships@abcam.com