JavaScript is disabled in your browser. Please enable JavaScript to view this website.
AB93678

Antigen Retrieval缓冲液(100X Citrate缓冲液)

Antigen Retrieval Buffer (100X Citrate Buffer)

5

(2 Reviews)

|

(124 Publications)

Antigen retrieval (100X citrate buffer) (ab93678) is used in heat-induced antigen retrieval (HIER) to enhance staining on formalin-fixed, paraffin-embedded tissue sections with our primary antibody range during IHC. Part of our Lab essentials imaging workflow offering.

- Provided in 100X solution (pH 5.1-5.5) for easy dilution preparation
- Optimized for citrate buffer-treated antibodies
- Available in different sizes to fit your experimental needs
- Proven performance: cited in over 120 publications
9 Images
Immunohistochemistry (Formalin/PFA-fixed paraffin-embedded sections) - Antigen Retrieval Buffer (100X Citrate Buffer) (AB93678)
  • IHC-P

Supplier Data

Immunohistochemistry (Formalin/PFA-fixed paraffin-embedded sections) - Antigen Retrieval Buffer (100X Citrate Buffer) (AB93678)

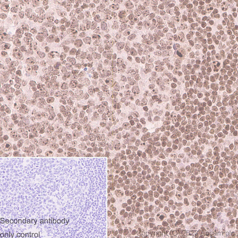
Immunohistochemical analysis of paraffin-embedded Human tonsil tissue labeling Fibrillarin with ab314506 at 1/2000 (0.249 ug/ml) followed by a ready to use Goat Anti-Rabbit IgG H&L (HRP polymer) (ab214880). Nucleolus staining on human tonsil The section was incubated with ab314506 at 4°C overnight. Counterstained with Hematoxylin. Secondary antibody only control : Secondary antibody is a ready to use Goat Anti-Rabbit IgG H&L (HRP polymer) (ab214880). Heat mediated antigen retrieval was performed using ab93678 (citrate buffer, pH 6.0)

Immunohistochemistry (Formalin/PFA-fixed paraffin-embedded sections) - Antigen Retrieval Buffer (100X Citrate Buffer) (AB93678)
  • IHC-P

Supplier Data

Immunohistochemistry (Formalin/PFA-fixed paraffin-embedded sections) - Antigen Retrieval Buffer (100X Citrate Buffer) (AB93678)

Immunohistochemistry analysis of paraffin-embedded human cerebellum tissue sections labelling GFAP with ab4648 at 1/500 dilution (1 mg/mL). Sections were stained with ab4648 using the HRP/DAB staining. Sections were counterstained with hematoxylin/eosin. Antigen retrieval was heat mediated using Antigen retrieval buffer (100X citrate buffer) (pH 6.0) (ab93678) for 15 minutes. To the right is a region of cerebellar molecular layer containing the prominent cytoskeletal fibers of Bergmann glia which are strongly positive for GFAP. The middle shows a region of the granular layer and to the left is white matter, both of which contain GFAP positive astrocytes.The immunostaining was performed with the Vector ImmPress rat adsorbed horse anti-mouse IgG detection kit.

Immunohistochemistry (Formalin/PFA-fixed paraffin-embedded sections) - Antigen Retrieval Buffer (100X Citrate Buffer) (AB93678)
  • IHC-P

Supplier Data

Immunohistochemistry (Formalin/PFA-fixed paraffin-embedded sections) - Antigen Retrieval Buffer (100X Citrate Buffer) (AB93678)

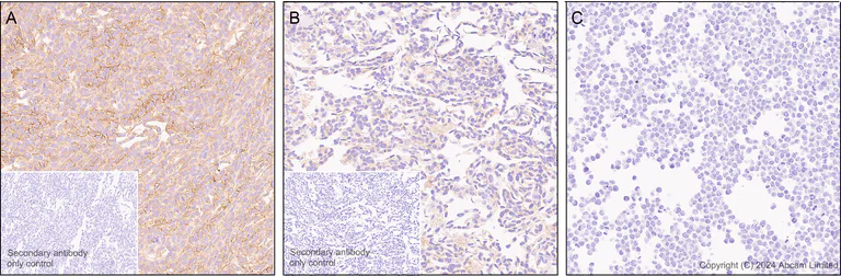
Immunohistochemical analysis of paraffin-embedded (A) FaDu (human pharyngeal carcinoma epithelial cell) cell pellet, (B) A431 (human epidermoid carcinoma epithelial cell) cell pellet and (C) K-562 (human chronic myelogenous leukemia lymphoblast) cell pellet labeling CELSR1 with ab322043 at 1/50 (10.36 μg/ml) dilution, followed by a ready to use Goat Anti-Rabbit IgG H&L (HRP).

Positive staining on (A) FaDu cell pellet and (B) A431 cell pellet, no staining on (C) K-562 cell pellet.
The section was incubated with ab322043 at 4°C overnight.

Counterstained with Hematoxylin.

Secondary antibody only control : Secondary antibody is a ready to use Goat Anti-Rabbit IgG H&L (HRP).

Heat mediated antigen retrieval was performed with ab93678 (citrate buffer, pH 6.0)

Immunohistochemistry (Formalin/PFA-fixed paraffin-embedded sections) - Antigen Retrieval Buffer (100X Citrate Buffer) (AB93678)
  • IHC-P

Supplier Data

Immunohistochemistry (Formalin/PFA-fixed paraffin-embedded sections) - Antigen Retrieval Buffer (100X Citrate Buffer) (AB93678)

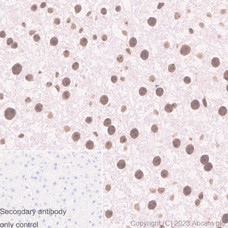
Immunohistochemical analysis of paraffin-embedded Mouse liver tissue labeling Fibrillarin with ab314506 at 1/2000 (0.249 ug/ml) followed by a ready to use Goat Anti-Rabbit IgG H&L (HRP polymer) (ab214880). Nucleolus staining on mouse liver. The section was incubated with ab314506 at 4°C overnight. Counterstained with Hematoxylin. Secondary antibody only control : Secondary antibody is a ready to use Goat Anti-Rabbit IgG H&L (HRP polymer) (ab214880). Heat mediated antigen retrieval was performed using ab93678 (citrate buffer, pH 6.0)

Immunohistochemistry (Formalin/PFA-fixed paraffin-embedded sections) - Antigen Retrieval Buffer (100X Citrate Buffer) (AB93678)
  • IHC-P

Supplier Data

Immunohistochemistry (Formalin/PFA-fixed paraffin-embedded sections) - Antigen Retrieval Buffer (100X Citrate Buffer) (AB93678)

Immunohistochemical analysis of paraffin-embedded Rat liver tissue labeling Fibrillarin with ab314506 at 1/2000 (0.249 ug/ml) followed by a ready to use Goat Anti-Rabbit IgG H&L (HRP polymer) (ab214880). Nucleolus staining on rat liver. The section was incubated with ab314506 at 4°C overnight. Counterstained with Hematoxylin. Secondary antibody only control : Secondary antibody is a ready to use Goat Anti-Rabbit IgG H&L (HRP polymer) (ab214880). Heat mediated antigen retrieval was performed using ab93678 (citrate buffer, pH 6.0)

Immunohistochemistry (Formalin/PFA-fixed paraffin-embedded sections) - Antigen Retrieval Buffer (100X Citrate Buffer) (AB93678)
  • IHC-P

Supplier Data

Immunohistochemistry (Formalin/PFA-fixed paraffin-embedded sections) - Antigen Retrieval Buffer (100X Citrate Buffer) (AB93678)

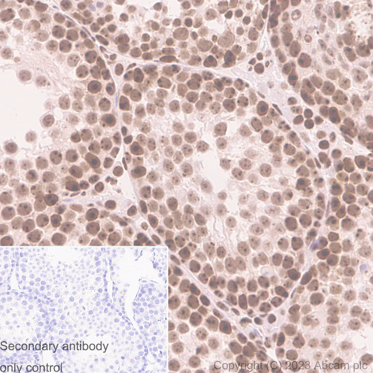
Immunohistochemical analysis of paraffin-embedded Mouse testis tissue labeling Fibrillarin with ab314506 at 1/2000 (0.249 ug/ml) followed by a ready to use Goat Anti-Rabbit IgG H&L (HRP polymer) (ab214880). Nucleolus staining on mouse testis. The section was incubated with ab314506 at 4°C overnight. Counterstained with Hematoxylin. Secondary antibody only control : Secondary antibody is a ready to use Goat Anti-Rabbit IgG H&L (HRP polymer) (ab214880). Heat mediated antigen retrieval was performed using ab93678 (citrate buffer, pH 6.0)

Immunohistochemistry (Formalin/PFA-fixed paraffin-embedded sections) - Antigen Retrieval Buffer (100X Citrate Buffer) (AB93678)
  • IHC-P

Unknown

Immunohistochemistry (Formalin/PFA-fixed paraffin-embedded sections) - Antigen Retrieval Buffer (100X Citrate Buffer) (AB93678)

ab93678 Antigen Retrieval Bufer 100X Citrate Buffer

Immunohistochemistry (Formalin/PFA-fixed paraffin-embedded sections) - Antigen Retrieval Buffer (100X Citrate Buffer) (AB93678)
  • IHC-P

PubMed

Immunohistochemistry (Formalin/PFA-fixed paraffin-embedded sections) - Antigen Retrieval Buffer (100X Citrate Buffer) (AB93678)

Nuclear OPN expression in explanted hearts but not endomyocardial biopsies (EMBs)In Patient #1, nuclear OPN (shown in white) in ACTA1-positive cardiomyocytes (shown in red) is visible in failing native and transplanted hearts, but in none of the three serial follow-up EMB samples collected at 1 week, 1 month, and 1 year post first transplant. Representative confocal z-stack images are shown. Scale bar = 20 μm.

Image from Irion et al., Front Physiol., 11:928; doi: 10.3389/fphys.2020.00928. Reproduced under the Creative Commons license https://creativecommons.org/licenses/by/4.0/

Immunohistochemistry (Formalin/PFA-fixed paraffin-embedded sections) - Antigen Retrieval Buffer (100X Citrate Buffer) (AB93678)
  • IHC-P

PubMed

Immunohistochemistry (Formalin/PFA-fixed paraffin-embedded sections) - Antigen Retrieval Buffer (100X Citrate Buffer) (AB93678)

Immunohistochemical staining of GFP in the indicated genotypes (n=5 mice per group) : Immunohistochemical staining of GFP in the indicated genotypes (n=5 mice per group) : The paraffin-embedded sections were deparaffinized with xylene and alcohol and subjected to antigen retrieval by citrate buffer (Abcam, Cat# ab93678), Tris-EDTA buffer (Abcam, Cat# ab93684), EDTA buffer (Abcam, Cat# ab93680), or Tris buffer (Abcam, Cat# ab93682) in a 100°C cooker for 30 min. After blocking, the sections were incubated with primary antibodies at 4°C overnight. 1 : 500, Chicken anti-GFP, Abcam, Cat#ab13970. the mouse tissue sections were developed with an IHC Detection kit (Thermo Fisher, Cat#3600) according to the manufacturer's instructions.

Image from Wang et al., Nat Commun., 11(1):220. doi: 10.1038/s41467-019-14046-9. Reproduced under the Creative Commons license https://creativecommons.org/licenses/by/4.0/

关键信息

应用

IHC-P

applications

形式

Liquid

form

存储溶液

pH: 5.1 - 5.5 Constituents: Citrate Buffer, 1.5% 2-butoxyethanol, 1% Hydrochloric acid

storage-buffer

反应性数据

{ "title": "Reactivity Data", "filters": { "stats": ["", "Reactivity", "Dilution Info", "Notes"] }, "values": { "IHC-P": { "reactivity":"TESTED_AND_REACTS", "dilution-info":"", "notes":"<p></p>" } } }

产品详情

Antigen Retrieval Buffer (100X Citrate Buffer) is a special solution that enables rehydration and antigen retrieval to be performed in formalin-fixed, paraffin-embedded tissue sections with one step. It is optimal for use with primary antibodies that require citrate buffer pretreatment.

This product contains detergent for emulsification of the paraffin.

1X Dilution: The 100X stock solution should be diluted 100-fold with distilled water before use.

Protocol:
1. Place paraffin-embedded slides in 1x Antigen Retrieval Buffer; cover with a vented plastic wrap, place in microwave and set high power to boil and then set low power to keep it boiling for 10 min. Let the sections cool in the microwave for at least 20 min.
2. Wash sections with hot tap water for 1 min.
3. Wash sections in buffer for 2 x 3 minutes.
4. Continue with IHC protocol as normal.

Other kits and reagents for IHC

Other antigen retrieval buffers include: Tris-EDTA buffer pH 9.0 ab93684, EDTA buffer pH 8.0 ab93680, Tris buffer pH 10.0 ab93682, or see the full list of antigen retrieval buffers and enzymes.

Find more kits and reagents for antigen retrieval, blocking, signal amplification, visualization, counterstaining, and mounting in the IHC kits and reagents guide.

性能和储存信息

运输条件
Ambient - Can Ship with Ice
推荐的短期储存条件
Ambient
推荐的长期储存条件
Ambient

产品实验方案

靶点信息

文献 (124)

Recent publications for all applications. Explore the full list and refine your search

Frontiers in immunology 16:1595319 PubMed40607410

2025

Evaluating the immunogenicity of a mouse partial hindlimb for composite allotransplantation.

Applications

Unspecified application

Species

Unspecified reactive species

Jia Hui Angela Sun,Samantha Ligi,Felor Biniazan,Siba Haykal

Breast cancer research : BCR 27:112 PubMed40551171

2025

In vivo imaging of the spatial heterogeneity of intratumoral acidosis (pH) as a marker of the metastatic phenotype in breast cancer.

Applications

Unspecified application

Species

Unspecified reactive species

Alessia Corrado,Nicla Lorito,Annasofia Anemone,Antonella Carella,Daisy Villano,Elisa Pirotta,Francesco Gammaraccio,Angela Subbiani,Marina Bacci,Walter Dastrù,Andrea Morandi,Dario Livio Longo

Gastro hep advances 4:100660 PubMed40486267

2025

The Involvement of Oral Pathogenic Bacteria, Subspecies in the Pathogenesis of Human Esophageal Adenocarcinoma.

Applications

Unspecified application

Species

Unspecified reactive species

Taku Kitano,Shintaro Okumura,Tomonori Matsumoto,Shigeru Tsunoda,Tatsuto Nishigori,Kazutaka Obama,Eiji Hara

Nature neuroscience 28:1174-1184 PubMed40456907

2025

Neuronal aging causes mislocalization of splicing proteins and unchecked cellular stress.

Applications

Unspecified application

Species

Unspecified reactive species

Kevin Rhine,Rachel Li,Hema M Kopalle,Katherine Rothamel,Xuezhen Ge,Elle Epstein,Orel Mizrahi,Assael A Madrigal,Hsuan-Lin Her,Trent A Gomberg,Anita Hermann,Joshua L Schwartz,Amanda J Daniels,Uri Manor,John Ravits,Robert A J Signer,Eric J Bennett,Gene W Yeo

International journal of biological sciences 21:2957-2972 PubMed40384865

2025

Pharmacological Activation of AMP-activated Protein Kinase Ameliorates Liver Fibrosis in a Metabolic Dysfunction-Associated Steatohepatitis Mouse Model.

Applications

Unspecified application

Species

Unspecified reactive species

Seojeong Kim,Jae-Ho Shin,Minjung Seo,Eun Seon Pak,Kyung-Hwa Jeon,Inhye Moon,Jisoo Kang,Wonhyo Seo,Younghwa Na,Youngjoo Kwon

Advanced science (Weinheim, Baden-Wurttemberg, Germany) 12:e2417605 PubMed40349174

2025

SCORT-Cas13d Nanotherapy Precisely Targets the 'Undruggable' Transcription Factor HoxB13 in Metastatic Prostate Cancer In Vivo.

Applications

Unspecified application

Species

Unspecified reactive species

Zhifen Cui,Furong Huang,Kun Fang,Jingyue Yan,Yuebao Zhang,Diana D Kang,Yufan Zhou,Yue Zhao,Jeffrey I Everitt,William Hankey,Andrew J Armstrong,Jiaoti Huang,Hongyan Wang,Victor X Jin,Yizhou Dong,Qianben Wang

Cell death discovery 11:228 PubMed40346052

2025

CCNE1 stabilizes ANLN by counteracting FZR1-mediated the ubiquitination modification to promotes triple negative breast cancer cell stemness and progression.

Applications

Unspecified application

Species

Unspecified reactive species

Sujuan Dai,Lin Li,Guangxiu Guo,Yun Peng,Huozhong Yuan,Juntao Li

Experimental hematology & oncology 14:64 PubMed40317079

2025

IL-6-mediated tumorigenicity and antioxidant state in squamous cell carcinoma cells are driven by CD109 via stabilization of IL-6 receptor-alpha and activation of STAT3/NRF2 pathway.

Applications

Unspecified application

Species

Unspecified reactive species

Amani Hassan,Tenzin Kungyal,Shufeng Zhou,Meryem Blati,Kenneth Finnson,Nick Bertos,Nahid Golabi,Nader Sadeghi,Sampath Loganathan,Anie Philip

European journal of dentistry 19:1063-1070 PubMed40311635

2025

YAP Expression is Related to the Aggressive Behavior of Odontogenic Cysts.

Applications

Unspecified application

Species

Unspecified reactive species

Jutamas Uttagomol,Adjabhak Wongviriya,Ariya Chantaramanee,Thanit Prasitsak

Nature communications 16:3906 PubMed40295482

2025

Non-human primate seasonal transcriptome atlas reveals seasonal changes in physiology and diseases.

Applications

Unspecified application

Species

Unspecified reactive species

Junfeng Chen,Kousuke Okimura,Liang Ren,Yusuke Nakane,Tomoya Nakayama,Yang Chen,Kai Fukawa,Soutarou Sugiyama,Takayoshi Natsume,Naoko Suda-Hashimoto,Mayumi Morimoto,Takako Miyabe-Nishiwaki,Takao Oishi,Yuma Katada,Manhui Zhang,Kohei Kobayashi,Shoko Matsumoto,Taiki Yamaguchi,Ying-Jey Guh,Issey Takahashi,Taeko Nishiwaki-Ohkawa,Daiki X Sato,Yoshiharu Murata,Kenta Sumiyama,Atsushi J Nagano,Hiroo Imai,Takashi Yoshimura
View all publications

Abcam Product Promise

我们致力于为您的研究提供高质量的试剂,为您科研的每一步提供支持。若我们的产品未能达到预期性能,我们向您提供 Abcam Product Promise 保障。
详情请参阅我们的条款与条件。

Please note: All products are 'FOR RESEARCH USE ONLY. NOT FOR USE IN DIAGNOSTIC OR THERAPEUTIC PROCEDURES'.

For licensing inquiries, please contact partnerships@abcam.com