JavaScript is disabled in your browser. Please enable JavaScript to view this website.
AB245886

PAS Stain试剂盒(Fungus,Periodic Acid Schiff Stain)

PAS Stain Kit (Fungus, Periodic Acid Schiff Stain)

Be the first to review this product! Submit a review

|

(3 Publications)

PAS Stain Kit (Fungus, Periodic Acid Schiff Stain) ab245886 is intended for use in histological demonstration of fungal organisms in tissue sections.
1 Images
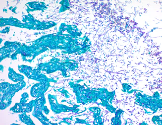
Immunohistochemistry (Formalin/PFA-fixed paraffin-embedded sections) - PAS Stain Kit (Fungus, Periodic Acid Schiff Stain) (AB245886)
  • IHC-P

Supplier Data

Immunohistochemistry (Formalin/PFA-fixed paraffin-embedded sections) - PAS Stain Kit (Fungus, Periodic Acid Schiff Stain) (AB245886)

ab245886 PAS Stain Kit (Fungus, Periodic Acid Schiff Stain) staining in formalin-fixed-paraffin embedded tissue section.

关键信息

样品类型

Tissue sections

产品详情

PAS Stain Kit (Fungus, Periodic Acid Schiff Stain) ab245886 is intended for use in histological demonstration of fungal organisms in tissue sections. The PAS reaction is also useful in the demonstration of lymphocytes and mucopolysaccharides. The staining patterns of the lymphocytes are helpful in making therapeutic decisions in established cases of lymphocytic leukemia.Fungal Organisms: MagentaPAS Positive Material: MagentaOther Tissue Components: Green/Blue**Control Tissue:** Any fungal infected tissue. Kidney. Intestine. Liver.**Other products for staining tissue sections**Find more kits and reagents in the , or products for antigen retrieval, blocking, signal amplification, visualization, counterstaining, and mounting in the .

规格

{ "values": { "1Kit": { "sellingSize": "1 Kit", "publicAssetCode":"ab245886-1Kit", "assetComponentDetails": [ { "size":"1 x 250 mL", "name":"Schiff's solution", "number":"AB245886-CMP03", "productcode":"" }, { "size":"1 x 250 mL", "name":"Periodic acid solution", "number":"AB245886-CMP02", "productcode":"" }, { "size":"1 x 125 mL", "name":"Light Green Solution", "number":"AB245886-CMP01", "productcode":"" } ] } } }

性能和储存信息

运输条件
Blue Ice
推荐的短期储存条件
+4°C
推荐的长期储存条件
Multi
储存信息
Please refer to protocols

补充信息

This supplementary information is collated from multiple sources and compiled automatically.

The target often referred to by scientists as the fungal stain or PAS stain marks fungi and other polysaccharide-rich components. This target does not hold a specific molecular mass as it focuses on staining rather than a singular protein or molecule. It is expressed on the cell walls of fungi where complex carbohydrates are located. The PAS (Periodic Acid-Schiff) technique a popular method as kit fungus highlights these elements within specimens by staining them intensely.
Biological function summary

The PAS fungal stain method identifies fungi within biological tissues by reacting with glycol groups and converting them into aldehydes. It does not form part of a single protein complex but rather interacts with polysaccharides broadly distributed in various organisms. The technique is significant in studying the presence of fungal structures within samples especially in pathologic studies for disease diagnostics due to its specific interaction with carbohydrates.

Pathways

The PAS staining technique holds significance for identifying structures within the metabolic pathways that synthesize or degrade polysaccharides. This process aids in understanding how organisms like fungi utilize glycolysis and gluconeogenesis pathways. During these processes proteins such as glycosyltransferases are closely related as these proteins participate in the modification of polysaccharides which are important for the fungal stain's effectiveness.

The PAS stain method helps immensely in identifying fungal infections and certain types of neuromuscular disorders. For instance it is important for visualizing fungal elements in patient samples diagnosed with infections like candidiasis. Also it helps in detecting glycogen storage disorder-related conditions by identifying abnormal glycogen storage patterns. The association with the target involves proteins like glycogen phosphorylase related to glycogen breakdown which closely relate to how the PAS staining detects abnormal accumulations.

产品实验方案

靶点信息

文献 (3)

Recent publications for all applications. Explore the full list and refine your search

Foods (Basel, Switzerland) 13: PubMed38397588

2024

Extract Ameliorates Ovalbumin-Induced Allergic Rhinitis by Inhibiting the IL-33/ST2 Axis and Regulating Epithelial Cell Dysfunction.

Applications

Unspecified application

Species

Unspecified reactive species

Juan Jin,Yan Jing Fan,Thi Van Nguyen,Zhen Nan Yu,Chang Ho Song,So-Young Lee,Hee Soon Shin,Ok Hee Chai

International journal of molecular sciences 24: PubMed37569890

2023

Root Extract Ameliorates Ovalbumin-Induced Airway Inflammation in a CARAS Mouse Model by Modulating the IL-33/TSLP/NF-κB Signaling Pathway.

Applications

Unspecified application

Species

Unspecified reactive species

Juan Jin,Yan Jing Fan,Thi Van Nguyen,Zhen Nan Yu,Chang Ho Song,So-Yong Lee,Hee Soon Shin,Ok Hee Chai

Journal of the American Heart Association 12:e028215 PubMed36565196

2022

Proteolytic Degradation Is a Major Contributor to Bioprosthetic Heart Valve Failure.

Applications

Unspecified application

Species

Unspecified reactive species

Alexander E Kostyunin,Tatiana V Glushkova,Arseniy A Lobov,Evgeny A Ovcharenko,Bozhana R Zainullina,Leo A Bogdanov,Daria K Shishkova,Victoria E Markova,Maksim A Asanov,Rinat A Mukhamadiyarov,Elena A Velikanova,Tatiana N Akentyeva,Maria A Rezvova,Alexander N Stasev,Alexey V Evtushenko,Leonid S Barbarash,Anton G Kutikhin
View all publications
websiteProtocolBooklet
en

Abcam Product Promise

我们致力于为您的研究提供高质量的试剂,为您科研的每一步提供支持。若我们的产品未能达到预期性能,我们向您提供 Abcam Product Promise 保障。
详情请参阅我们的条款与条件。

Please note: All products are 'FOR RESEARCH USE ONLY. NOT FOR USE IN DIAGNOSTIC OR THERAPEUTIC PROCEDURES'.

For licensing inquiries, please contact partnerships@abcam.com