JavaScript is disabled in your browser. Please enable JavaScript to view this website.
AB133131

Hepatic Lipid Accumulation/ Steatosis Assay试剂盒

Hepatic Lipid Accumulation/ Steatosis Assay Kit

Be the first to review this product! Submit a review

|

(7 Publications)

Hepatic Lipid Accumulation/ Steatosis Assay Kit (ab133131) provides a convenient tool for evaluating steatosis risk of drug candidates using Oil Red O to stain neutral lipids in hepatocytes.
2 Images
Functional Studies - Hepatic Lipid Accumulation/ Steatosis Assay Kit (AB133131)
  • FuncS

Supplier Data

Functional Studies - Hepatic Lipid Accumulation/ Steatosis Assay Kit (AB133131)

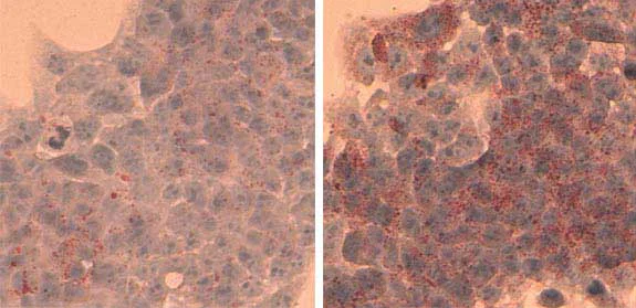
HepG2 cells were seeded at a density of 104 cells/well in a 96-well plate and grown in a 37°C incubator overnight. The next day, cells were treated with vehicle or different doses of chloroquine for three days. At the end of this incubation, cells were stained with Oil Red O according to the product protocol. Lipid accumulation was assessed by extracting the Oil Red O and measuring the absorbance at 490 nm.

Functional Studies - Hepatic Lipid Accumulation/ Steatosis Assay Kit (AB133131)
  • FuncS

Supplier Data

Functional Studies - Hepatic Lipid Accumulation/ Steatosis Assay Kit (AB133131)

HepG2 cells were seeded at a density of 104 cells/well in a 96-well plate and grown in a 37°C incubator overnight. The next day, cells were treated with vehicle or different doses of chloroquine for three days. Left panel : HepG2 cells treated with vehicle. There are a few lipid droplets in the cells, appearing as red dots. Right panel : HepG2 cells treated with 25 µM chloroquine show significant accumulation of lipid droplets, evident by abundant appearance of red dots visualized by Oil Red O staining.

关键信息

检测方法

Colorimetric

样品类型

Adherent cells

检测类型

Cell-based

检测平台

Microplate reader

产品详情

Hepatic Lipid Accumulation/ Steatosis Assay Kit (ab133131) provides a convenient tool for evaluating steatosis risk of drug candidates using Oil Red O to stain neutral lipids in hepatocytes. Lipid accumulation can be quantified using a plate reader after the dye is extracted from the lipid droplets. Chloroquine is included in the kit as a positive control for screening pharmaceutical candidates that induce steatosis in hepatocytes.

Steatosis, also known as fatty liver, is a pathological process characterized by abnormal accumulation of lipid within cells. There are two distinct patterns of steatosis: macrovesicular and microvesicular. The former is frequently seen in alcohol-induced liver injury, as a complication of metabolic syndrome such as obesity and type II diabetes, and is a marker of the hepatotoxic side effect of certain drugs. Microvesicular steatosis is more commonly related to mitochondrial dysfunction and defects in b-oxidation responsible for fatty liver seen in pregnancy and Reye's syndrome. While simple steatosis may not be associated with significant impairment of liver function, extensive fat accumulation can lead to cirrhosis and even liver failure. Studies on alcohol-induced steatosis revealed a set of transcription factors which are thought to be involved in the process, including SREBP1, PPARa, and Erg-1. The mechanism of non-alcoholic steatosis formation is poorly understood and little information is available on the pathway(s) responsible for progressive hepatocellular damage following lipid accumulation.

Determining the hepatotoxicity of drug candidates is an essential component of the pharmaceutical discovery process. Steatosis is one of the parameters that is evaluated when determining the hepatoxicity of a drug candidate. In vitro liver models, such as the HepG2 cell line, are available for mechanism-based testing of the hepatotoxic effects of drug candidates. Chloroquine is a well known cationic amphiphilic drug that is known to induce steatosis which is often used as a positive control in drug screening for steatosis.

规格

{ "values": { "1Kit": { "sellingSize": "1 Kit", "publicAssetCode":"ab133131-1Kit", "assetComponentDetails": [ { "size":"6 x 30 mL", "name":"Lipid Droplets Assay Wash Solution", "number":"AB133131-CMP03", "productcode":"" }, { "size":"1 x 25 mL", "name":"Lipid Droplets Assay Oil Red O Solution", "number":"AB133131-CMP04", "productcode":"" }, { "size":"1 x 30 mL", "name":"Steatosis Assay Hematoxylin", "number":"AB133131-CMP06", "productcode":"" }, { "size":"1 x 30 mL", "name":"Lipid Droplets Assay Dye Extraction Solution", "number":"AB133131-CMP05", "productcode":"" }, { "size":"1 x 50 µL", "name":"Chloroquine Positive Control (25 mM)", "number":"AB133131-CMP01", "productcode":"" }, { "size":"1 x 10 mL", "name":"Fixative (10X)", "number":"AB133131-CMP02", "productcode":"" } ] } } }

性能和储存信息

运输条件
Blue Ice
推荐的短期储存条件
Multi
推荐的长期储存条件
Multi
储存信息
Please refer to protocols

产品实验方案

靶点信息

文献 (7)

Recent publications for all applications. Explore the full list and refine your search

Food research international (Ottawa, Ont.) 173:113364 PubMed37803704

2023

Anti-obesity potential of a yogurt functionalized with a CLNA-rich pomegranate oil.

Applications

Unspecified application

Species

Unspecified reactive species

Manuela Machado,Sérgio Sousa,Luís M Rodriguez-Alcalá,Ana Maria Gomes,Manuela Pintado

Marine drugs 20: PubMed36547884

2022

Can Growth of under Modulated Stress Enhance Its Lipid-Associated Biological Properties?

Applications

Unspecified application

Species

Unspecified reactive species

Sérgio C Sousa,Manuela Machado,Ana C Freitas,Ana M Gomes,Ana P Carvalho

Molecules (Basel, Switzerland) 27: PubMed35956908

2022

Pomegranate Oil's Potential as an Anti-Obesity Ingredient.

Applications

Unspecified application

Species

Unspecified reactive species

Manuela Machado,Eduardo M Costa,Sara Silva,Luís M Rodriguez-Alcalá,Ana M Gomes,Manuela Pintado

Non-coding RNA 8: PubMed35893239

2022

Systematic Analysis of Long Non-Coding RNA Genes in Nonalcoholic Fatty Liver Disease.

Applications

Unspecified application

Species

Unspecified reactive species

Mirolyuba Ilieva,James Dao,Henry E Miller,Jens Hedelund Madsen,Alexander J R Bishop,Sakari Kauppinen,Shizuka Uchida

International journal of molecular sciences 21: PubMed31940797

2020

Characterization of Human Induced Pluripotent Stem Cell-Derived Hepatocytes with Mature Features and Potential for Modeling Metabolic Diseases.

Applications

Unspecified application

Species

Unspecified reactive species

Gustav Holmgren,Benjamin Ulfenborg,Annika Asplund,Karin Toet,Christian X Andersson,Ann Hammarstedt,Roeland Hanemaaijer,Barbara Küppers-Munther,Jane Synnergren

Scientific reports 7:16710 PubMed29196750

2017

A Novel Y-Specific Long Non-Coding RNA Associated with Cellular Lipid Accumulation in HepG2 cells and Atherosclerosis-related Genes.

Applications

FuncS

Species

Human

Elsa Molina,Guat S Chew,Stephen A Myers,Elyse M Clarence,James M Eales,Maciej Tomaszewski,Fadi J Charchar

Oxidative medicine and cellular longevity 2014:469059 PubMed25544867

2014

Dietary blueberry and bifidobacteria attenuate nonalcoholic fatty liver disease in rats by affecting SIRT1-mediated signaling pathway.

Applications

Unspecified application

Species

Unspecified reactive species

Tingting Ren,Chao Huang,Mingliang Cheng
View all publications
websiteProtocolBooklet
en

Abcam Product Promise

我们致力于为您的研究提供高质量的试剂,为您科研的每一步提供支持。若我们的产品未能达到预期性能,我们向您提供 Abcam Product Promise 保障。
详情请参阅我们的条款与条件。

Please note: All products are 'FOR RESEARCH USE ONLY. NOT FOR USE IN DIAGNOSTIC OR THERAPEUTIC PROCEDURES'.

For licensing inquiries, please contact partnerships@abcam.com