JavaScript is disabled in your browser. Please enable JavaScript to view this website.
AB252204

ErbB2 / HER2 抗体 Panel (EP1045Y, EPR19547-12, SP3, SP101, CAL27)

ErbB2 / HER2 Antibody Panel (EP1045Y, EPR19547-12, SP3, SP101, CAL27)

Be the first to review this product! Submit a review

|

(1 Publication)

ErbB2 / HER2 Antibody Panel (EP1045Y, EPR19547-12, SP3, SP101, CAL27) (ab252204) is part of the multiplex kits range. Abcam offers high-quality biological reagents and tools including antibodies, proteins, assays, cell lines and lysates.
4 Images
Immunohistochemistry (Formalin/PFA-fixed paraffin-embedded sections) - ErbB2 / HER2 Antibody Panel (EP1045Y, EPR19547-12, SP3, SP101, CAL27) (AB252204)
  • IHC-P

Supplier Data

Immunohistochemistry (Formalin/PFA-fixed paraffin-embedded sections) - ErbB2 / HER2 Antibody Panel (EP1045Y, EPR19547-12, SP3, SP101, CAL27) (AB252204)

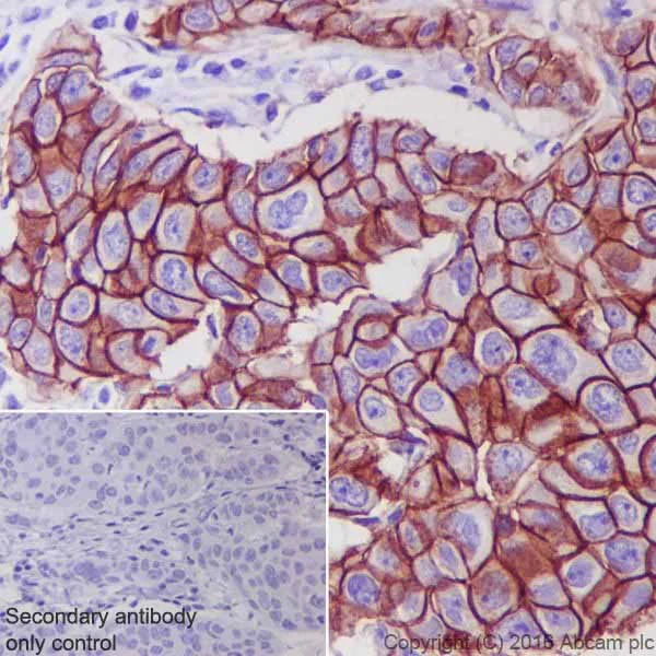
Immunohistochemical analysis of paraffin-embedded Human breast cancer tissue labeling ErbB2 / HER2 with ab214275 at 1/4000 dilution, followed by Goat Anti-Rabbit IgG H&L (HRP) (ab97051) at 1/500 dilution.

Membrane staining on Human breast cancer is observed [PMID : 18437174].

Counter stained with Hematoxylin.

Secondary antibody only control : Used PBS instead of primary antibody, secondary antibody is ab97051 at 1/500 dilution.

Immunohistochemistry (Formalin/PFA-fixed paraffin-embedded sections) - ErbB2 / HER2 Antibody Panel (EP1045Y, EPR19547-12, SP3, SP101, CAL27) (AB252204)
  • IHC-P

Supplier Data

Immunohistochemistry (Formalin/PFA-fixed paraffin-embedded sections) - ErbB2 / HER2 Antibody Panel (EP1045Y, EPR19547-12, SP3, SP101, CAL27) (AB252204)

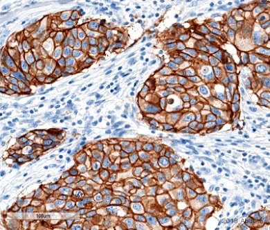
Formalin-fixed, paraffin-embedded human breast, invasive ductal carcinoma tissue stained for ErbB2 / HER2 using ab16662 at 1/200 dilution in immunohistochemical analysis, followed by Goat anti Rabbit IgG HRP.

Immunohistochemistry (Formalin/PFA-fixed paraffin-embedded sections) - ErbB2 / HER2 Antibody Panel (EP1045Y, EPR19547-12, SP3, SP101, CAL27) (AB252204)
  • IHC-P

Unknown

Immunohistochemistry (Formalin/PFA-fixed paraffin-embedded sections) - ErbB2 / HER2 Antibody Panel (EP1045Y, EPR19547-12, SP3, SP101, CAL27) (AB252204)

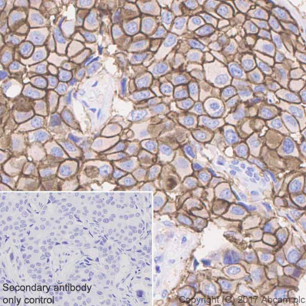
Immunohistochemistry (Formalin/PFA-fixed paraffin-embedded sections) analysis of Human breast carcinoma tissue sections labeling ErbB2 / HER2 with Purified ab134182 at 1 : 1600 dilution (0.68 μg/ml). Heat mediated antigen retrieval was performed using Perform heat mediated antigen retrieval using ab93684 (Tris/EDTA buffer, pH 9.0). Tissue was counterstained with Hematoxylin. ImmunoHistoProbe one step HRP Polymer (ready to use) secondary antibody was used at 1 : 0 dilution. PBS instead of the primary antibody was used as the negative control.

Immunohistochemistry (Formalin/PFA-fixed paraffin-embedded sections) - ErbB2 / HER2 Antibody Panel (EP1045Y, EPR19547-12, SP3, SP101, CAL27) (AB252204)
  • IHC-P

Supplier Data

Immunohistochemistry (Formalin/PFA-fixed paraffin-embedded sections) - ErbB2 / HER2 Antibody Panel (EP1045Y, EPR19547-12, SP3, SP101, CAL27) (AB252204)

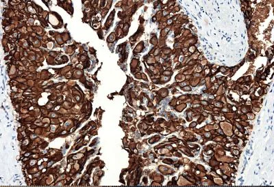
Formalin-fixed, paraffin-embedded human breast carcinoma tissue stained for ErbB2 / HER2 using ab237715 at 0.3 μg/ml in immunohistochemical analysis.

关键信息

反应种属

Human

产品详情

ErbB2 / HER2 Antibody Panel ab252204 contains multiple trial-sized versions of anti-human antibody clones against ErbB2 / HER2, specifically selected for high performance in IHC. This panel contains 5 recombinant rabbit monoclonal antibodies against human ErbB2 / HER2. They are provided in trial sizes to allow you to easily evaluate which is the best ErbB2 / HER2 antibody for your IHC research assay needs.

For guidelines on how to use each antibody within the panel, please consult the individual datasheet for each antibody.

Panel contains:

- Rabbit monoclonal [CAL27] to ErbB2 / HER2 (20 μL) ab237715

- Rabbit monoclonal [EP1045Y] to ErbB2 / HER2 (20 μL) ab134182

- Rabbit monoclonal [EPR19547-12] to ErbB2 / HER2 (20 μL) ab214275

- Rabbit monoclonal [SP101] to ErbB2 / HER2 (20 μL) ab231438

- Rabbit monoclonal [SP3] to ErbB2 / HER2 (20 μL) ab16662

Anti-ErbB2 / HER2 antibody [EPR19547-12] (ab214275) could recognize ErbB2 and weak cross reaction with ErbB4.

Explore our range of antibody sample panels designed to provide you with a variety of trial-size antibodies in a convenient and cost-effective format.

Carrier-free formulations of our recombinant antibodies are also available for easy conjugation to labels of your choice and for multiplex applications. Use our intuitive search and select carrier-free or your label of choice. For bespoke conjugations or large volumes email bespoke@abcam.com.

规格

{ "values": { "1Kit": { "sellingSize": "1 Kit", "publicAssetCode":"ab252204-1Kit", "assetComponentDetails": [ { "size":"2 x 10 µL", "name":"Anti-ErbB 2 antibody [EPR19547-12]", "number":"AB252204-CMP03", "productcode":"AB214275" }, { "size":"2 x 10 µL", "name":"Anti-ErbB 2 antibody [SP101]", "number":"AB252204-CMP01", "productcode":"AB231438" }, { "size":"2 x 10 µL", "name":"Anti-ErbB 2 antibody [EP1045Y]", "number":"AB252204-CMP02", "productcode":"AB134182" }, { "size":"2 x 10 µL", "name":"Anti-ErbB 2 antibody [SP3]", "number":"AB252204-CMP04", "productcode":"AB16662" }, { "size":"2 x 10 µL", "name":"Anti-ErbB 2 antibody [CAL27]", "number":"AB252204-CMP05", "productcode":"AB237715" } ] } } }

性能和储存信息

运输条件
Blue Ice
推荐的短期储存条件
Multi
推荐的长期储存条件
Multi
储存信息
Please refer to protocols

补充信息

This supplementary information is collated from multiple sources and compiled automatically.

The ErbB2 also known as HER2 or HER2 protein is a transmembrane receptor protein with a molecular weight of about 185 kDa. It serves as part of the epidermal growth factor receptor (EGFR) family of receptor tyrosine kinases. The ErbB2 protein is expressed mainly in epithelial tissues including those of the breast and the gastrointestinal tract. It lacks a known ligand-binding domain which sets it apart from other members of its family. Due to its structure ErbB2 dimerizes with other members of the EGFR family to exert its effects in cellular signaling.
Biological function summary

The role of ErbB2 extends beyond a singular function. It becomes an active component when forming heterodimers with other EGFR family members such as ErbB3 to initiate various downstream signaling cascades. The dimerization activates intracellular pathways leading to cell proliferation survival differentiation and migration. Within cells ErbB2 influences processes critical for normal development and tissue homeostasis contributing significantly to signal transduction networks.

Pathways

ErbB2 plays a pivotal role in pathways such as the PI3K/Akt and MAPK/ERK pathways. These pathways are important in mediating cellular responses to growth signals. The PI3K/Akt pathway activated by HER2 signaling regulates cell growth and survival while the MAPK/ERK pathway contributes to cell differentiation and proliferation. ErbB2's interaction with proteins like ErbB3 is fundamental in these pathways increasing the amplitude and diversity of downstream signals.

ErbB2 is significantly associated with breast cancer and gastric cancer. The overexpression or gene amplification of HER2 is observed in approximately 20% of breast cancer cases correlating with aggressive tumor growth and poor prognosis. ErbB2-related signaling contributes to oncogenic processes by promoting excessive cell proliferation. Targeting ErbB2 in these cancers is common using therapies such as monoclonal antibodies like trastuzumab. In the context of gastric cancer the role of ErbB2 mirrors its function in breast cancer and targeting HER2 holds therapeutic potential.

产品实验方案

靶点信息

文献 (1)

Recent publications for all applications. Explore the full list and refine your search

NPJ digital medicine 6:48 PubMed36959234

2023

Weakly supervised deep learning to predict recurrence in low-grade endometrial cancer from multiplexed immunofluorescence images.

Applications

Unspecified application

Species

Unspecified reactive species

Daniel Jiménez-Sánchez,Álvaro López-Janeiro,María Villalba-Esparza,Mikel Ariz,Ece Kadioglu,Ivan Masetto,Virginie Goubert,Maria D Lozano,Ignacio Melero,David Hardisson,Carlos Ortiz-de-Solórzano,Carlos E de Andrea
View all publications

Abcam Product Promise

我们致力于为您的研究提供高质量的试剂,为您科研的每一步提供支持。若我们的产品未能达到预期性能,我们向您提供 Abcam Product Promise 保障。
详情请参阅我们的条款与条件。

Please note: All products are 'FOR RESEARCH USE ONLY. NOT FOR USE IN DIAGNOSTIC OR THERAPEUTIC PROCEDURES'.

For licensing inquiries, please contact partnerships@abcam.com